안녕하세요~
전남광주 임플란트 치과
서울우리아이치과
조원빈 대표원장입니다.
전남광주 임플란트는
붓기, 통증, 출혈을 줄인
구강외과 전문의의
디지털가이드 임플란트로

전남광주 임플란트치과에서는
경험많은 구강외과 전문의 진료로
붓기, 통증, 출혈을 줄인
디지털가이드 임플란트 수술을
진행하고 있습니다.
자동차가 네비게이션을 따라
정확한 목적지에 도착하듯,
디지털 가이드 임플란트를 통해
미리 가이드를 제작하기 때문에
정확한 위치에 정확한 깊이로
전남광주 임플란트를 식립할 수 있습니다.
![]() | ![]() |
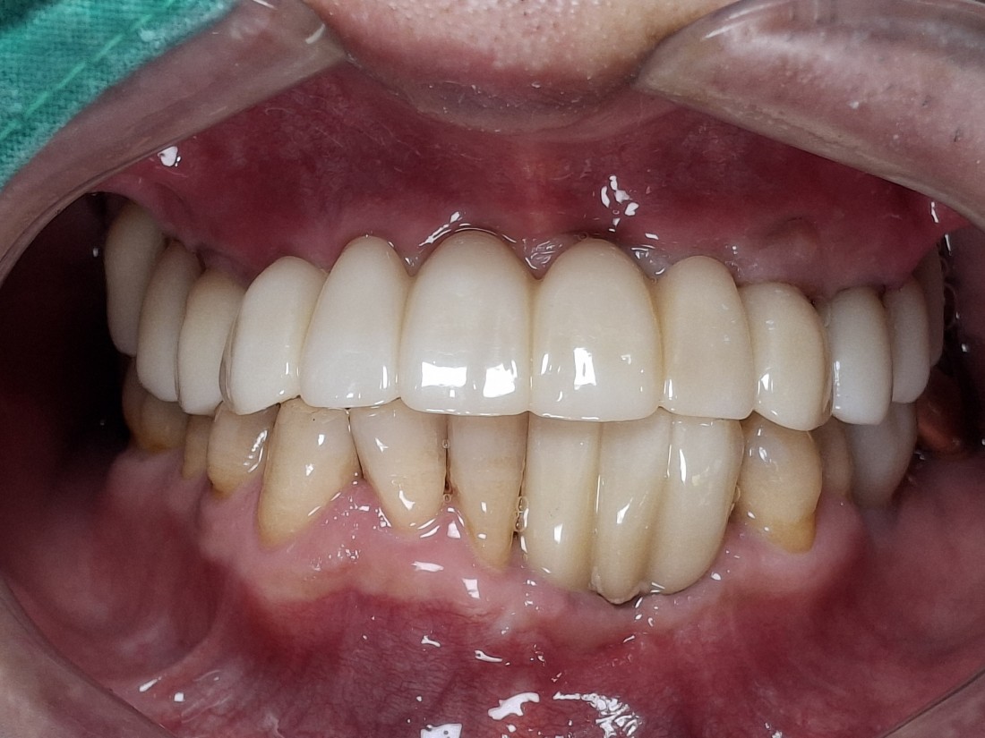
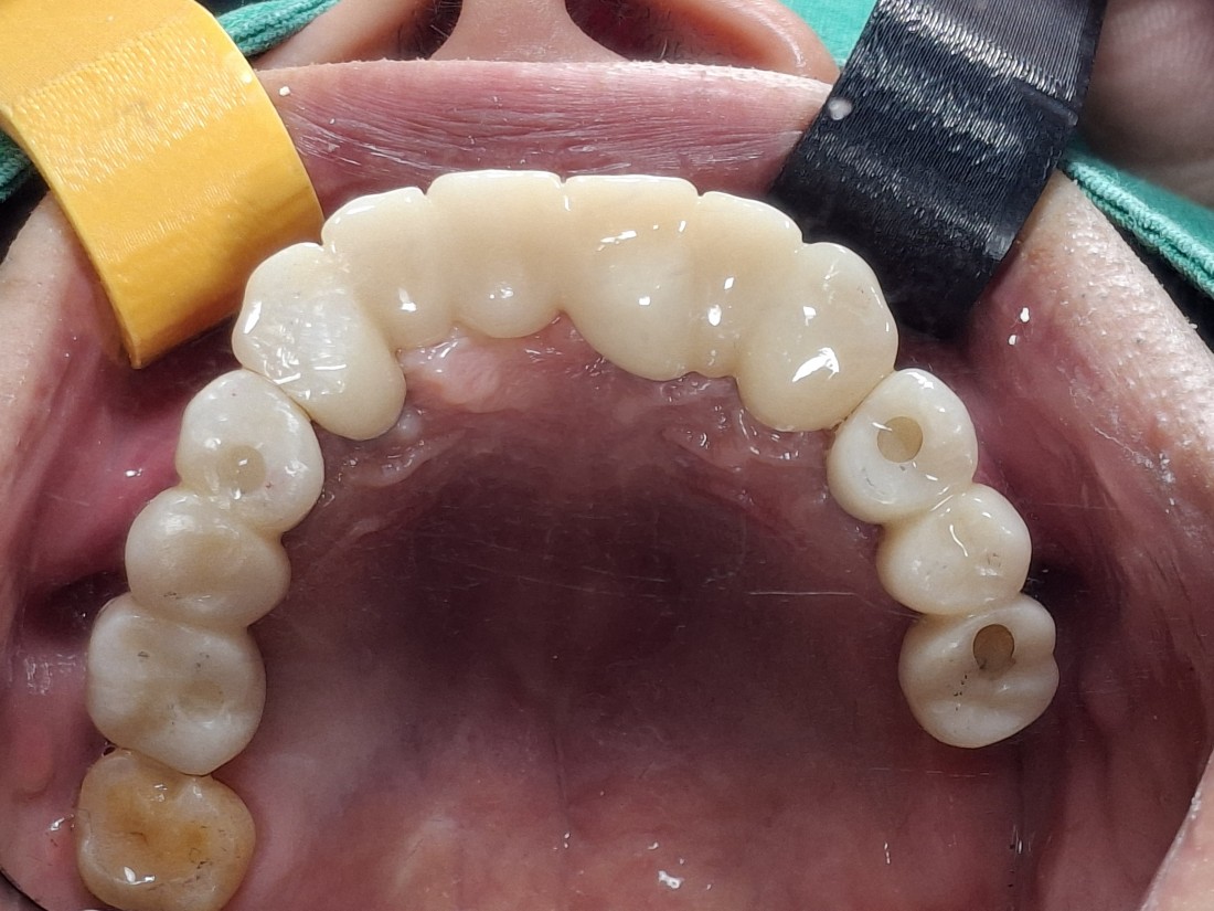
전남광주 임플란트 치과에서는
디지털가이드 임플란트 수술방법으로
한 번에 8개 이상의 임플란트를
심을 수 있습니다.
위, 아래 전체 임플란트를
단 두 번의 수술만으로 완성할 수 있어
임플란트 치과에 자주 내원하지 않으셔도 되고,
붓기 / 출혈 / 통증도 적기 때문에
빠른 회복을 기대할 수 있습니다.
![]() | ![]() |
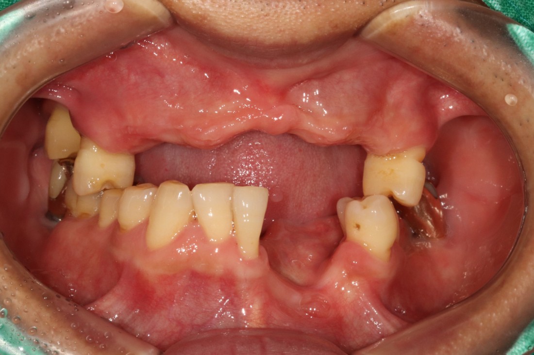
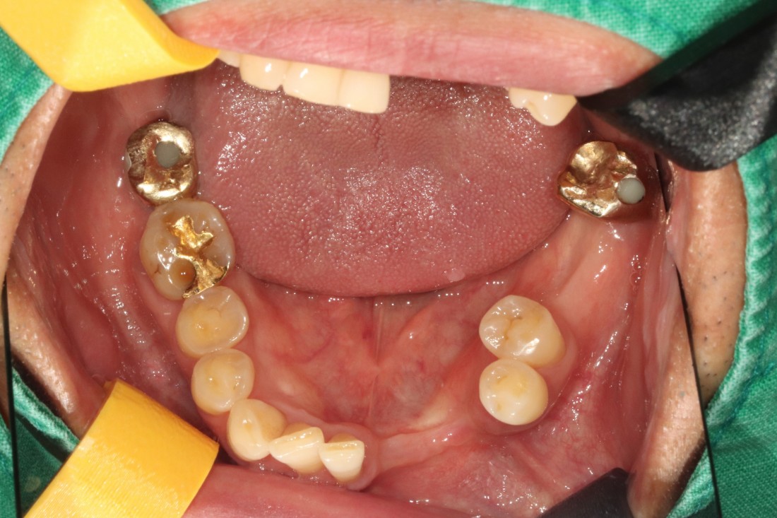
임플란트 수술 후에 통증이 매우 심한 경우는
잇몸절개를 많이 했을 확률이 높습니다.
전남광주 임플란트치과에서는
잇몸절개를 하지 않고 무절개로 하거나,
최소한으로만 절개하는
디지털 가이드 임플란트 수술을 하기 때문에
임플란트 수술 후에
붓기, 출혈, 통증이 매우 적습니다.
![]() | ![]() |
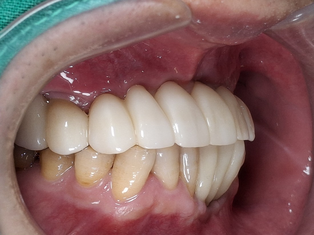
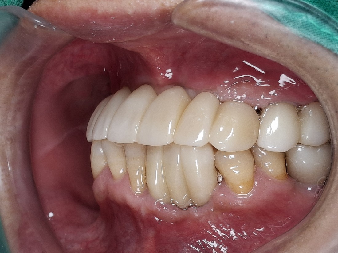
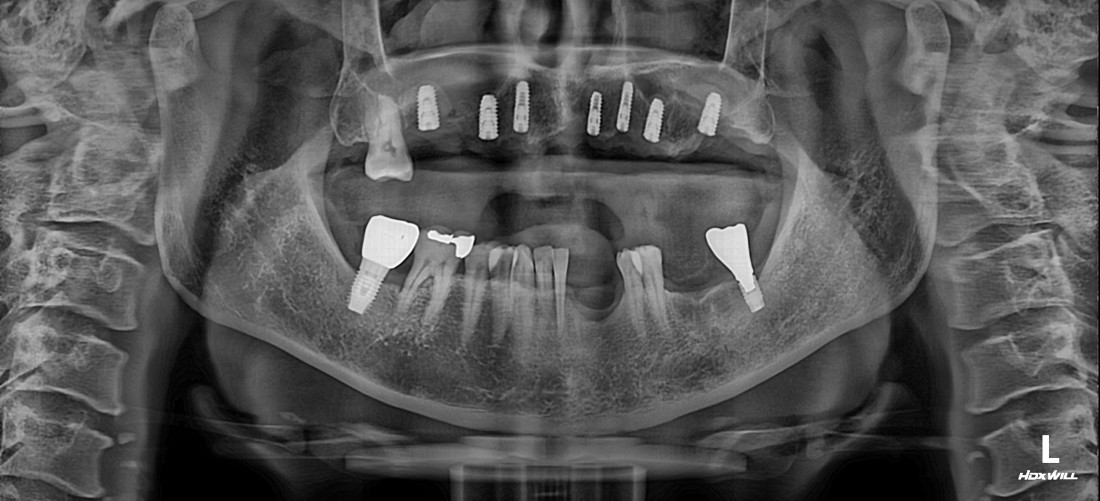
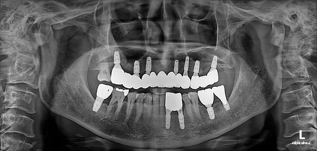
잇몸절개를 최소화 할수록
회복에 걸리는 시간도 매우 적기 때문에
고혈압/ 당뇨 등 기저질환이 있는 분들이나
70대가 넘는 고령의 고객분들도
빠른 회복을 기대할 수 있는
전남광주 임플란트 치과입니다.
![]() | ![]() |
전남광주 임플란트치과는
광주kbc 전속자문치과,
mbc 1분건강정보 자문치과의사로
활동하고 있습니다.
다양한 치아건강 상식을 알려드리고
과잉진료 없이 꼭 필요한 진료만을
양심적으로 추천드리고 있습니다.
![]() | ![]() |
전남광주 임플란트치과는
분과별 전문의 5인 대표원장의
협진시스템으로 운영되며,
디지털가이드 임플란트 식립 경험이 풍부한
구강외과 전문의 진료로
성공적인 전남광주 임플란트 진료를
약속드립니다.
![]() | ![]() |
![]() | ![]() |
치과를 방문하게 될 때
주차 스트레스를 받으면
가기 전부터 힘드실텐데요.
전남광주 임플란트 치과에서는
모든 내원객 분들에게
백화점 VIP급 무료 발렛주차 서비스를
제공하고 있습니다.
진료 후에는 출차까지 미리 해드리니
주차/ 출차 걱정 없이
편하게 전남광주 임플란트 치과에
방문해주세요!













