toggle navigation
새로네이트
임플란트
치료전-후
치아교정
홈페이지 바로가기
로그인
회원가입
홈
치아교정
2026-01-12 09:54:32
|
서울우리아이치과
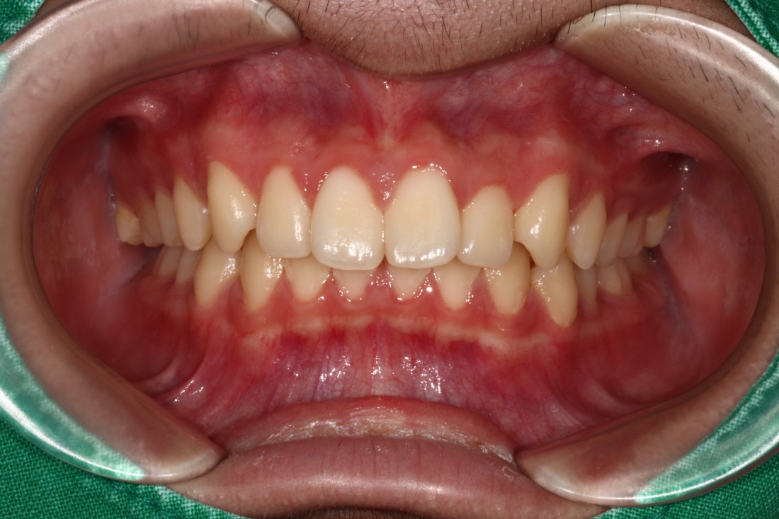
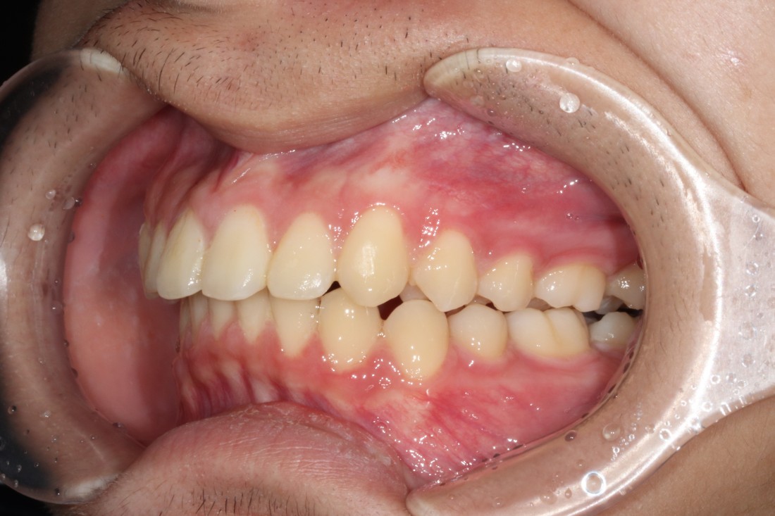
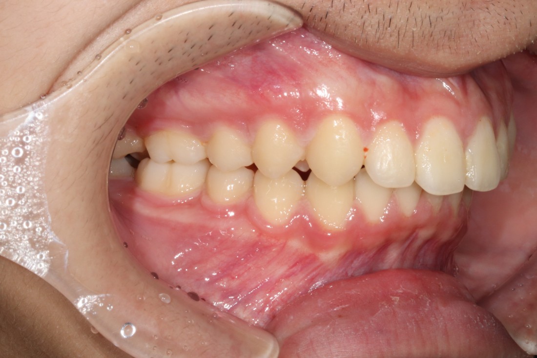
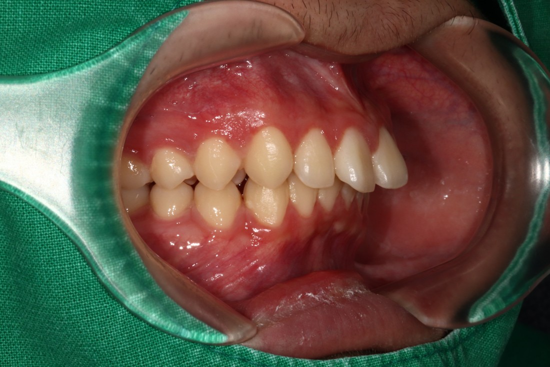
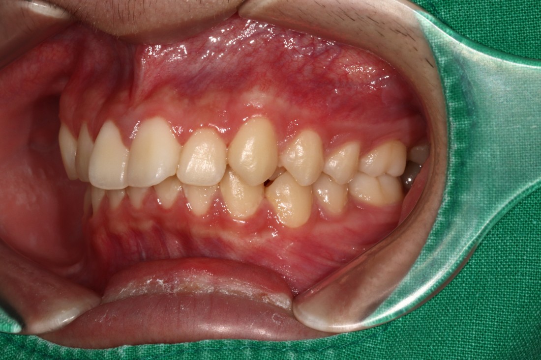
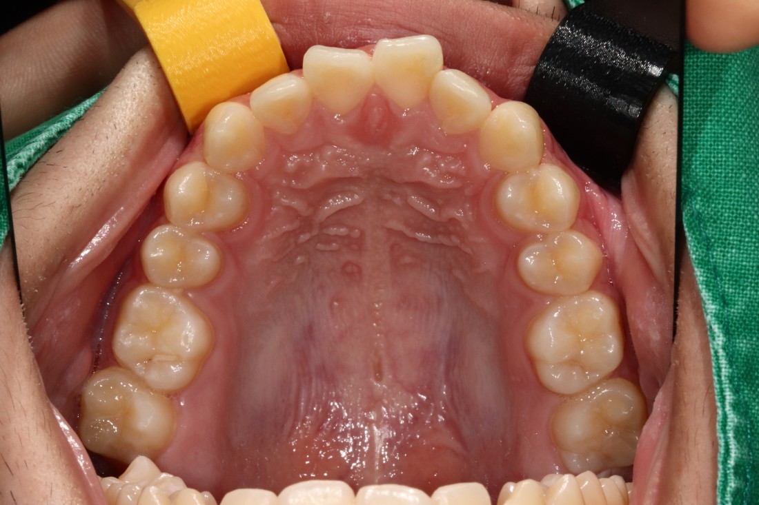
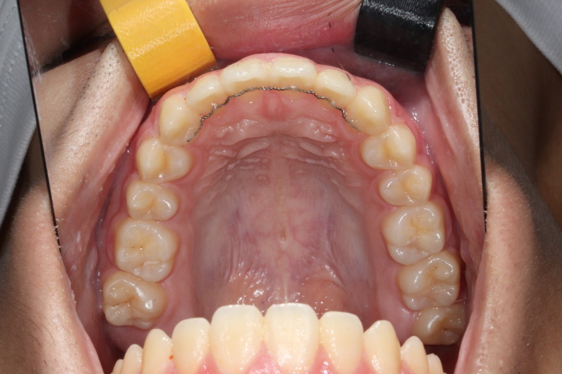
수완지구교정치과에서 튀어나온 앞니를 가지런히 배열하는 방법이 궁금하다면
이전글
광주청소년교정치과에서 교정전문의 교정진료를 시작해야하는 이유가 궁금하다면
2026-01-07
다음글
광주 교정치과 20년 경력의 조선대학교 임상교수출신 교정전문의 진료가 받고싶다면
2026-01-14
목록보기
빠른상담 문의
빠른 상담신청
카카오톡 채널 추가
카톡 상담
네이버 예약
전화예약
062-710-2870
광주광역시 광산구
임방울대로 321, 5층
채팅
예약