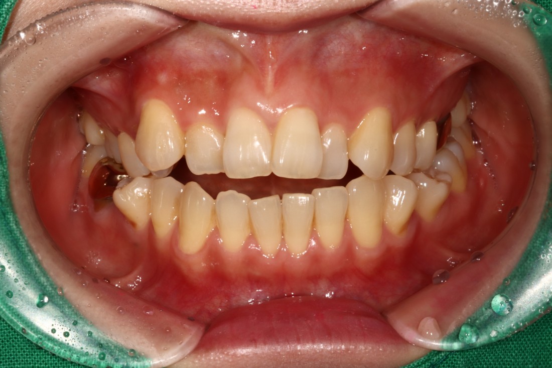
개방교합 이란?
오픈 바이트라고 불리는
개방교합은
어금니를 맞닿게 하였을 때
앞니가 서로 맞물리지 못하고
틈이 생기는 부정교합의 종류입니다.

위와 같이 어금니를 맞물렸을 때
위, 아래 앞니가 서로 맞닿지 못하는 것이
보이시나요?
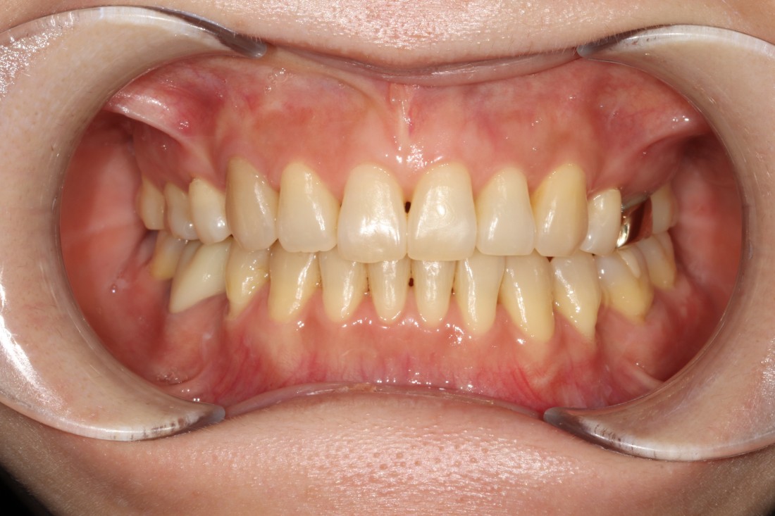
이런 개방교합의 경우
무엇보다도 앞니로 음식을 끊어먹기가
매우 힘들기 때문에,
국수 같이 부드러운 음식도
모두 어금니로 돌려서 씹어야하는
불편함이 있습니다.
![]() | ![]() |
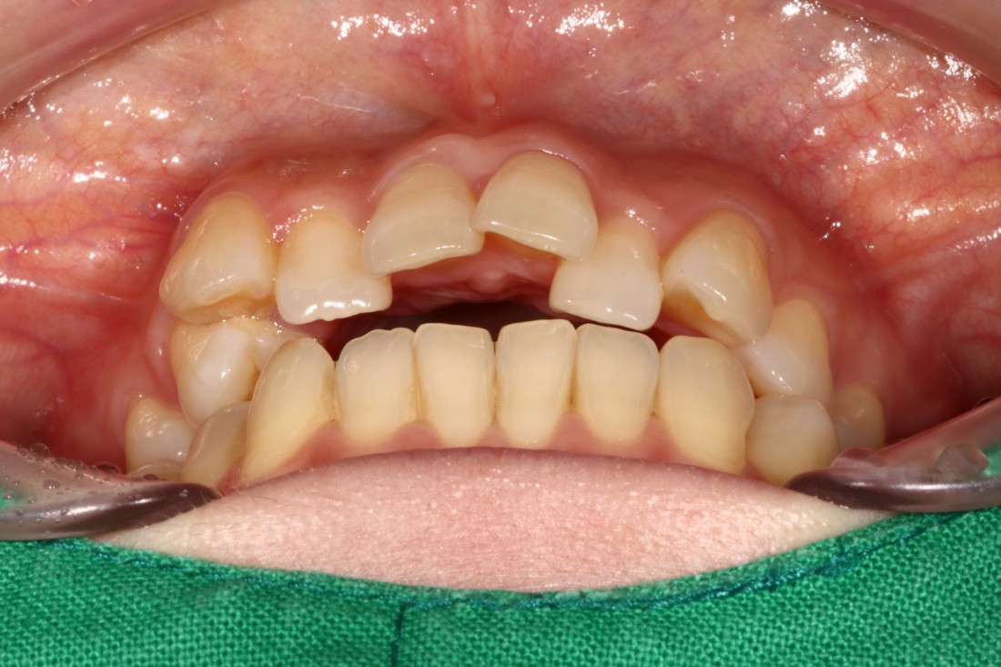
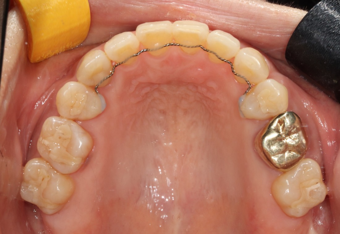
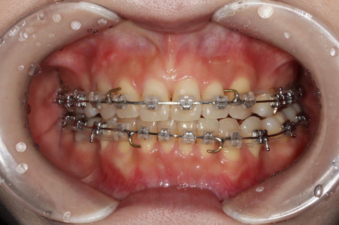
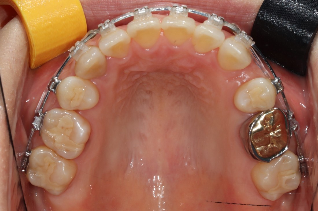
개방교합은
재발률이 비교적 높기 때문에
교정진료 후에도
유지장치 및 정기검진을
꾸준하게 받는 것이 중요합니다.
![]() | ![]() |
수완지구 교정치과에서는
조선대학교 임상교수 출신의
20년 넘게 교정진료만을 담당해오신
교정전문의 대표원장님 진료로
성공적인 개방교합 교정을 완성합니다.
![]() | ![]() |
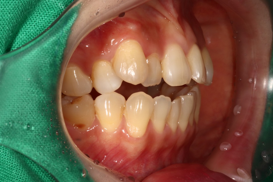
개방교합의 경우에는
습관적 요인 등으로
재발률이 높은 부정교합이기 때문에,
교정진료가 마무리된 후에도
꾸준하게 유지장치 착용 및
교정전문의 정기검진으로 관리해주시는 것이
정말 중요합니다.
![]() | ![]() |
수완지구 교정치과에서는
발치가 필요한 발치교정의 경우에도
전문의 발치를 통하여
섬세한 교정진료를 약속드립니다.
![]() | ![]() |
수완지구 교정치과는
오직 단 한 분만을 위해 준비된
1인 룸 진료실을 운영합니다.
나만을 위한 진료실에서
프라이빗 고품격 교정진료를
받으실 수 있으며,
교정진료만을 담당하는
교정전담 의료진이 상주하고 있어
언제라도 불편함이 생기시면
바로 적절한 조치를 받으실 수 있는
수완지구 교정치과입니다.
![]() | ![]() |
치아교정은 1회성 진료가 아니라
매 달 정기진료가 필요하며
2년 가까이 긴 시간을
교정치과에 방문하셔야 하는데요.
교정진료 기간은
개인마다 치아 이동속도에 차이가 있어
예상보다 더 늦어질 수도 있습니다.
그럴 때마다 3만원 ~ 5만원 사이의
월 진료비용이 발생하게 되면
수 십만원의 금액으로 꽤 부담스러워지는데요.
수완지구 교정치과에서는
교정진료에 필요한 모든 비용을 포함하여
교정 전 3차원 105항목 정밀검사 비용
발치비용 (필요시)
교정장치 비용
월 진료비용
유지장치 비용
등 세부적인 모든 사항을 포함한 금액으로
추가결제 없이 합리적인 교정가격을 제공합니다.
![]() ![]() | ![]() |
수완지구 교정치과는
20년 이상 교정진료만을 담당해오신
교정전문의 대표원장님께서
교정진료 중간에 의사가 바뀔 염려 없이,
교정 완료 후에도 꼼꼼한 관리를 해주시는데요.
월요일, 수요일은 야간진료
토요일 오후4시까지 진료로
평일에 시간이 바쁘신 분들도
야간진료나 토요일진료를 이용하여
수완지구 교정치과에서
교정전문의 진료를 받으실 수 있습니다.














