서울우리아이치과는
수완동 '우리가족' 모두의
치과입니다.
성인진료 가능하며,
구강외과 전문의 진료로
아프지 않은 임플란트를
완성하고 있습니다.
수완동 임플란트 치과를 선택할 때에
가격보다 더 중요하게 생각해야하는
사항들이 있습니다.
수완동 임플란트 치과에서는
자연치아를 살리기 위해
다양한 최첨단 장비를 갖추고 있으며,
아프지 않은 임플란트 식립을 위한
노하우도 가지고 있습니다.

임플란트는 자연치아 대신에
반영구적으로 오래 사용해야하기 때문에
가장 먼저,
자연치아를 최우선으로 살리려고
노력하는 치과를 찾으셔야합니다.
그리고 자연치아를 더 이상 사용할 수 없을 때는
아프지 않게, 예쁘게, 잘 씹어지게
임플란트를 완성하는
수완동 임플란트 치과를 가셔야합니다.
![]() | ![]() |
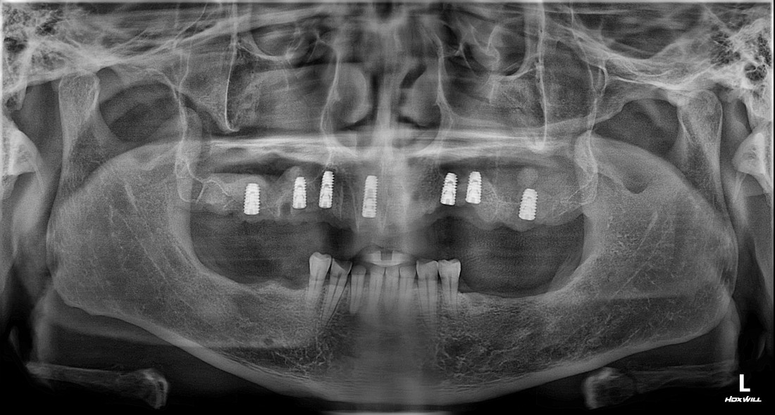
수완동 임플란트 치과에서는
디지털 가이드 임플란트를 통해
자동차가 네비게이션을 따라
정확한 목적지에 도착하듯,
가이드 임플란트를 제작하여
미리 컴퓨터로 모의시술을 진행하고
정확한 위치에 정확한 깊이로
임플란트를 식립하고 있습니다.
![]() | ![]() |
모든 치과에서 가이드 임플란트가
가능한 장비가 갖춰져있는 것이 아니고,
또 치과의사마다 가이드 임플란트 시술경험이
모두 다르기 때문에,
디지털 가이드 임플란트 식립 경험이 풍부한
수완동 임플란트 치과의
구강외과 전문의 대표원장 진료로
성공적인 임플란트를 완성합니다.
![]() | ![]() |
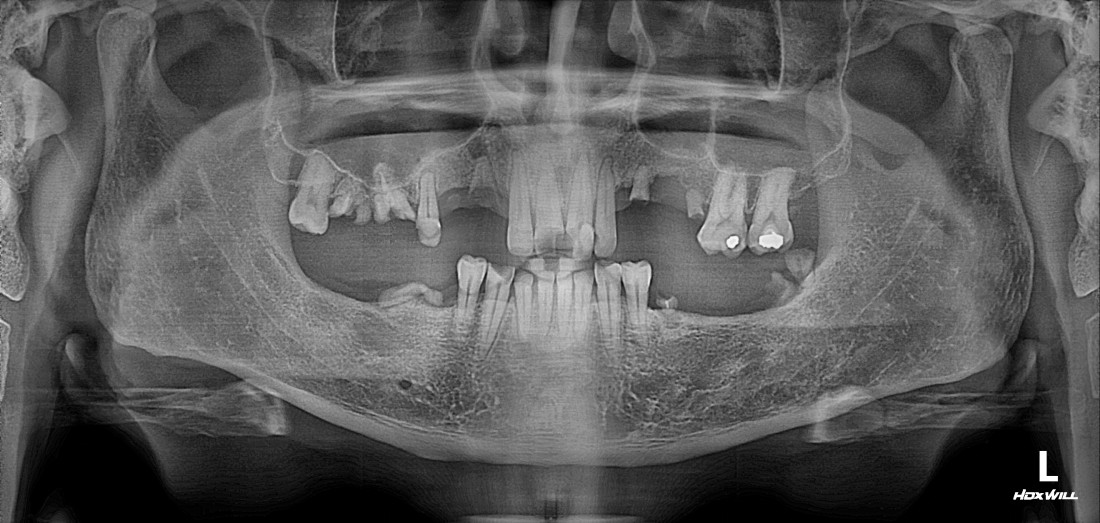
수완동 임플란트 치과에서는
임플란트 수술을 하기 전에
자연치아를 최대한 살려서
오래 사용하실 수 있도록
여러 진료를 추천해드리는데요.
그 중 하나인 잇몸치료는
보험이 적용되어
한 회당 2만원 대의 금액으로
2회 정도 수완동 치과에 내원하시면
잇몸염증을 해결하고
자연치아를 오래 사용할 수 있는
지름길이 되는 진료입니다.
수완동 임플란트 치과는
자연치아를 살릴 수 있는
최첨단 신경치료 기기를 도입하여
최소 통증의 치주치료가 가능합니다.
분과별 전문의 5인 대표원장의
협진 시스템으로
단 한 개의 치아라도 더 살리기 위해
최선을 다하고 있으며,
임플란트 수술이 필요한 경우에도
최소한의 개수만 식립하여
최대 효율을 얻을 수 있도록
진료시스템을 갖추고 있습니다.
![]() | ![]() |
수완동 임플란트 치과에서는
보험 임플란트를 비롯하여
다양한 임플란트 케이스를
다 진료할 수 있는
경험많은 구강외과 전문의 진료가 가능합니다.
디지털 가이드 임플란트를 이용하여
잇몸절개를 최소화하기 때문에
붓기, 출혈, 통증이 현저히 적으며
수술 시간 역시 짧습니다.
![]() | ![]() |
수완동 임플란트 치과 중에서
VIP 1인 임플란트 진료실을
운영하고 있는 치과는 많지 않습니다.
오직 단 한 분만을 위해 준비된
1인 룸 진료실에서
프라이빗하게 임플란트 진료를
받으실 수 있기 때문에
치과 공포증이 심한 분들에게도
편한 진료 분위기를 드리고 있습니다.
수완동 임플란트 치과는
다양한 최첨단 무통마취 시스템을
도입하였습니다.
가장 대표적으로
프랑스에서 제조, 수입되는 장비인
최첨단 무통마취기 '퀵슬리퍼5'는
기존의 치과 마취 주사에도
잘 마취가 되지 않았던 분들에게도
효과가 좋은 마취기입니다.
마취액을 직접 잇몸뼈 근처에
특수 바늘을 이용하여 주입하기 때문에
마취주사가 들어갈 때의 따끔한 느낌도 없으며,
마취액이 들어갈 때의 뻐근한 통증도 없다는
큰 장점이 있습니다.
![]() | ![]() |
![]() | ![]() |
수완동 임플란트 치과는
자체 치아기공소를 운영하고 있습니다.
대표원장인 제가 직접
치아기공소의 보철물 퀄리티를
관리하고 있기 때문에,
무엇보다도
< 예쁘게, 잘 씹어지는 >
수완동 임플란트를 약속드릴 수 있습니다.
잘 관리하면 반영구적으로 사용할 수 있는
임플란트이기 때문에
특히 자연치아보다 더 자연스러운
아름다운 임플란트를 완성하는
수완동 임플란트 치과입니다.
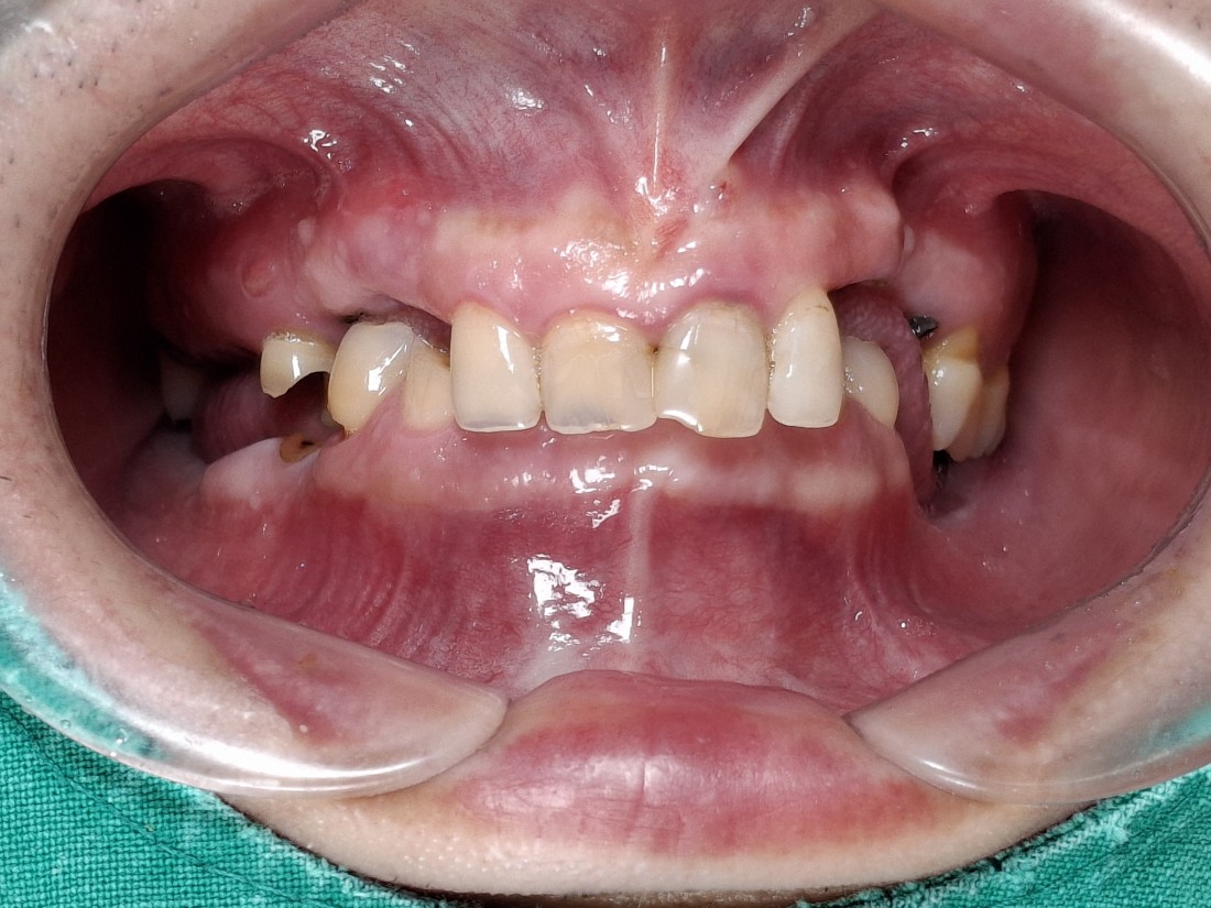
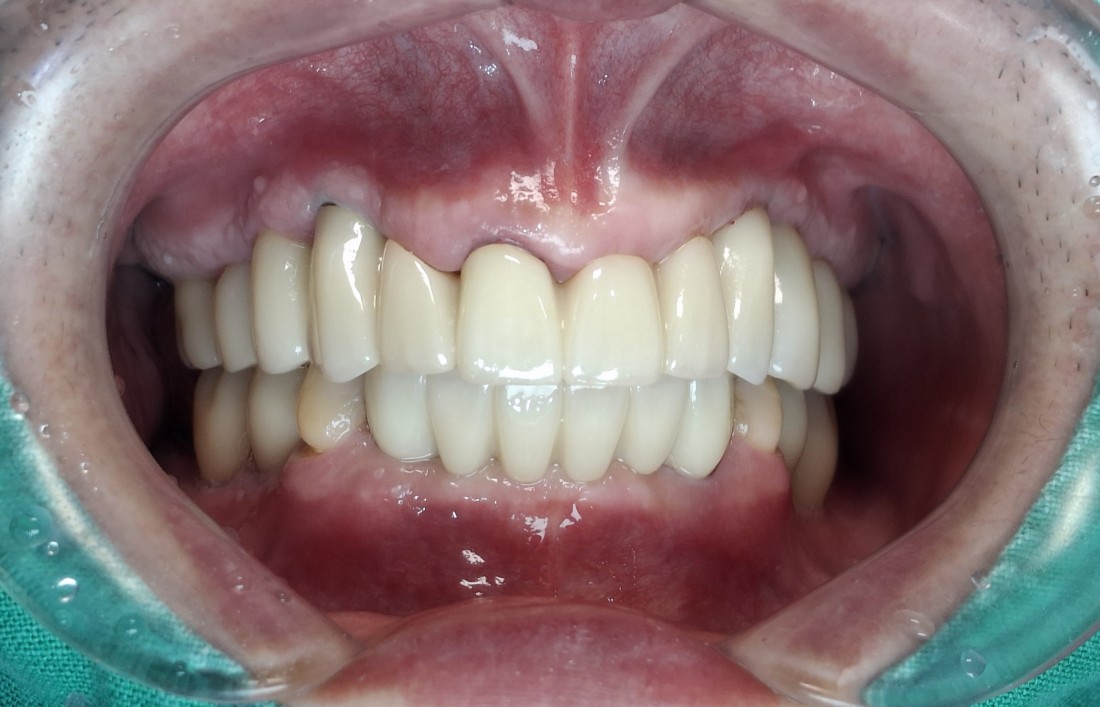
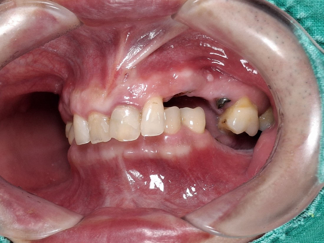
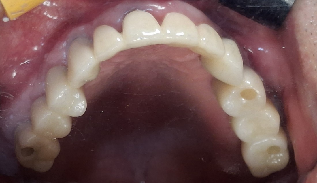
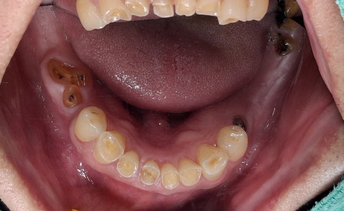
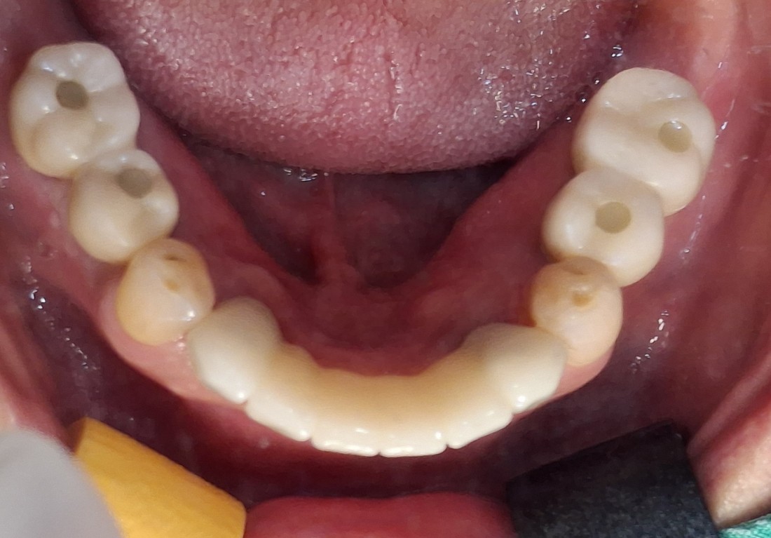
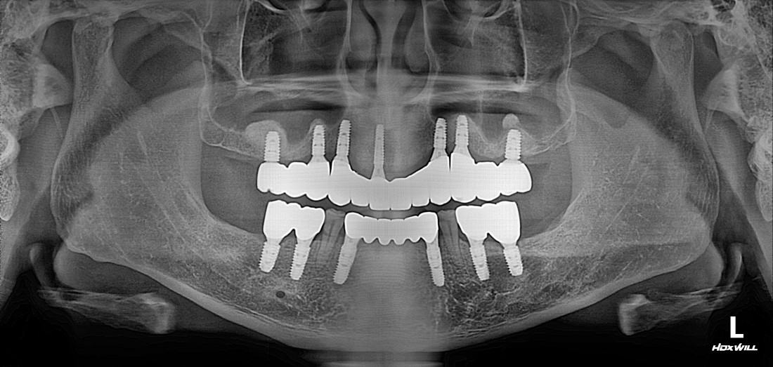
수완동 임플란트 치과는
수 백개의 임플란트 전/후 케이스 사진을
홈페이지에 공유하고 있습니다.
전체 임플란트부터
신경쓰이는 앞니 임플란트,
20대 / 30대 임플란트 케이스부터
80대가 넘는 분들의 케이스까지
정말 다양한 모든 케이스를 보유하고 있습니다.
다양한 각도의 임플란트 식립 전/후 사진으로
실력에 자신있는
수완동 임플란트 치과입니다.













