수완동 교정치과,
교정전문의 대표원장 진료
확인하셨나요?

수완동 교정치과를 선택할 때는
경험많은 교정전문의 대표원장이
세밀한 상담부터 치료계획,
월 정기진료 및 교정 후 관리까지
꼼꼼하게 책임지고 관리하는
교정치과인지 확인하는 것이
가장 중요합니다.
서울우리아이치과는
4층 교정진료센터에서
교정진료만을 전담으로 맡아서 하는
교정전담팀이 상주하고 있습니다.
오직 단 한 분만을 위해 운영되는
1인 교정 룸 진료실에서
프라이빗하게 수완동 치아교정을
받으실 수 있습니다.
![]() | ![]() |
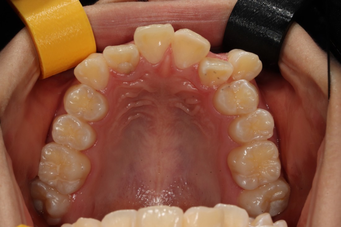
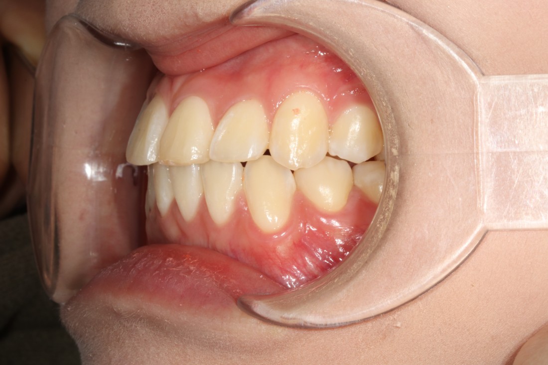
수완동 교정치과에서는
교정 진료에 필요한
모든 비용을 포함한 금액으로
치아교정을 진행합니다.
교정 전 3차원 105항목 정밀검사 비용,
교정장치 (100% 정품 클리피씨) 비용,
전문의 발치비용,
월 진료비용,
교정 후 유지장치 비용 등
다양한 항목의 교정진료 항목 비용을
모두 포함한 금액으로
합리적인 가격의 수완동 교정진료를
진행하고 있습니다.
![]() | ![]() |
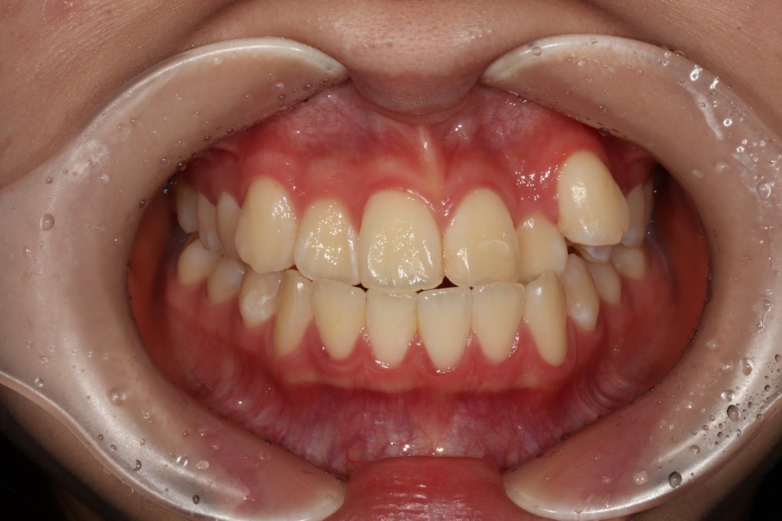
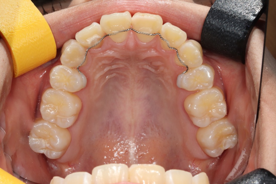
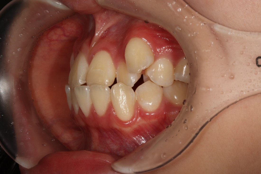
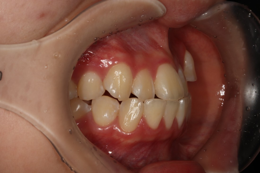
수완동 치아교정 기간은
치아의 이동속도에 따라
예상기간보다 짧아질 수도,
혹은 길어질 수도 있는데요.
월 3만원~5만원 사이의
월 진료비용이 발생하게 되면
몇 개월만 기간이 길어져도
수 십만원의 비용부담으로 다가오기 때문에
수완동 교정치과에서는
월 진료비를 포함하여
추가 금액 결제 없이
합리적인 가격으로
수완동 치아교정을 진행하고 있습니다.
![]() | ![]() |
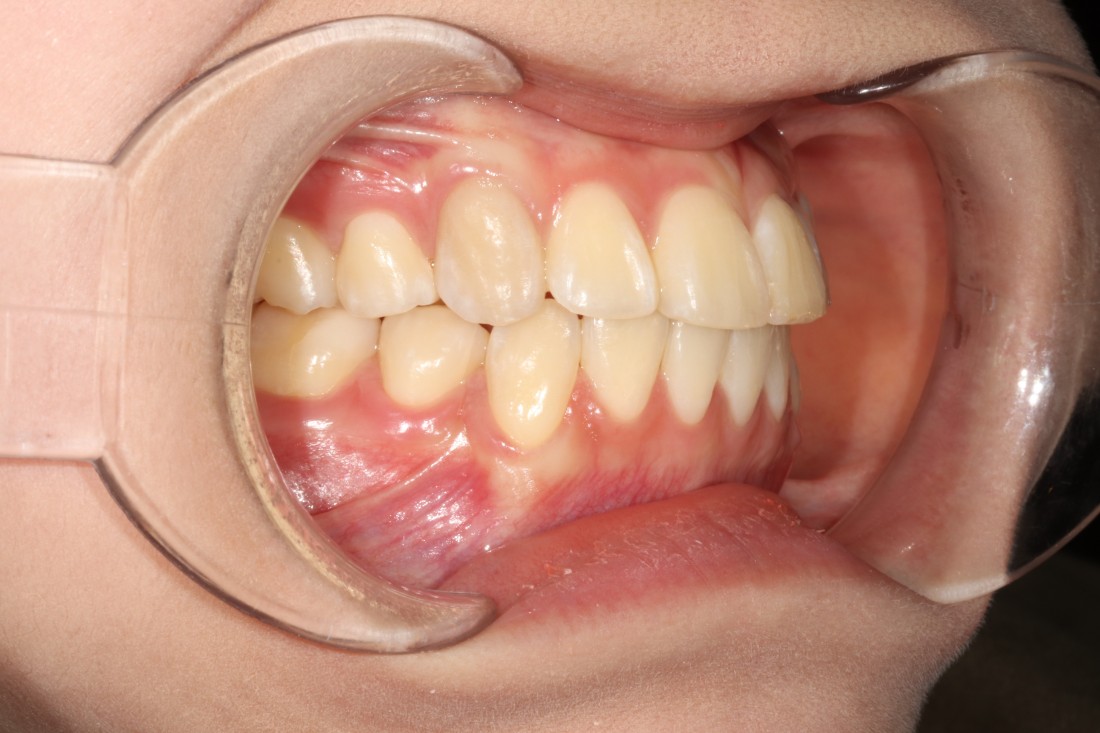
수완동 교정치과를 선택할 때는
교정전문의가 경험이 풍부한지,
교정전문의가 상담부터 진료 후 관리까지
책임지고 진료하는 곳인지
꼼꼼하게 따져보는 것이 중요합니다.
서울우리아이치과는
20년 이상 교정진료만을 담당해오신
교정전문의 대표원장님께서
교정진료의 시작부터 끝까지
1:1 책임진료를 통하여
성공적인 치아교정을 완성하고 있습니다.
![]() | ![]() |
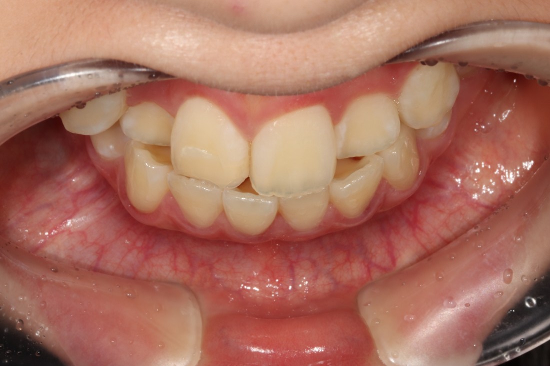
수완동 교정치과 중에서
임플란트와 치아교정 진료를
동시에 진행하여
최고의 치료효율을 낼 수 있는 치과는
서울우리아이치과 입니다.
교정전문의 한 명만 있는 것이 아닌,
분과별 전문의 진료를
함께 하고 있기 때문에
치아교정 + 임플란트
치아교정 + 라미네이트
치아교정 + 턱관절질환
다양한 전문의 조합으로
최상의 치료효율을 낼 수 있습니다.
![]() | ![]() |
전문의 5인 대표원장의 협진 시스템으로
교정과전문의 치아교정과
구강외과전문의 임플란트를
동시에 진료하기 때문에
적절한 시기에 최상의 치료효과로
교정기간은 단축하고,
성공적인 임플란트 식립까지
가능한 수완동 교정치과입니다.
수완동 교정치과,
저희가 책임집니다.
- 1인 룸 교정진료실
- 교정전담 의료진
- 추가비용 없이 모든 금액 포함
- 무료 발렛 주차
- 월/ 수 야간진료,
토요일 오후4시까지 진료









