2026-02-25 10:02:01 | 서울우리아이치과
광주 치아미백 치아시림 증상을 최소화하는 전문가용 치아미백 이벤트
안녕하세요~
광주 치아미백 치과
서울우리아이치과
조원빈 대표원장입니다.
치아가 시릴 걱정이 적은
광주 전문가 치아미백은
서울우리아이치과의
목, 금 미백DAY! 혜택으로

요즘은 홈케어 제품들이 많이 나와서
굳이 피부과, 치과를 가지 않고도
집에서 셀프케어를 많이 하시는데요.
그러나 치아미백을 치과에서
전문가용 치아미백을 받으시는 것을
추천하는 이유는 바로
'치아시림' 즉, 지각과민증에 대한
예방 때문입니다.

치아가 하얗게 되는 미백만큼
중요한 것은 바로,
자연치아, 잇몸을 보호하는 것입니다.

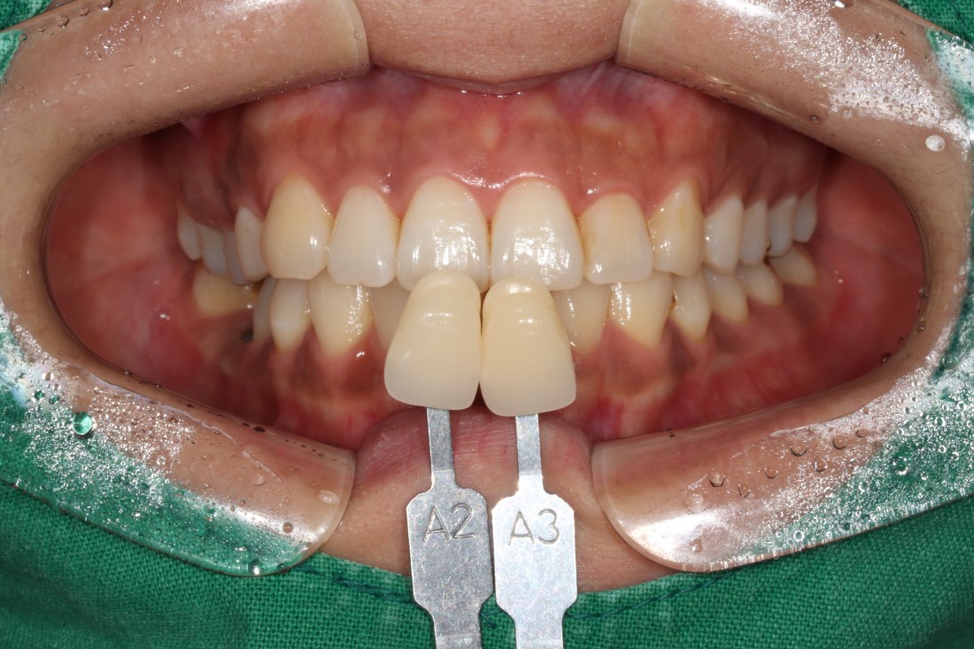
광주 치아미백 치과에서
전문가용 치아미백을
받아보신 분들은 아시겠지만,
치아미백제를 바르기 전에
잇몸 보호제를 정말 꼼꼼하게
담당 치위생사 선생님이 발라주시는데요.
집에서 셀프케어를 할 때는
잇몸보호제를 바르는 과정이 생략되거나,
꼼꼼하게 발라지지 못하기 때문에
셀프 치아미백제를 오랜기간 사용한 분들이
치아가 시린 증상으로
치과에 정말 많이 내원하시게 됩니다.
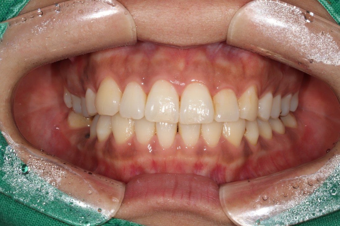
![]() | ![]() |
광주 치아미백 치과에서는
치과 업계에서 가장 유명한 브랜드인
오스템 회사의
'오스템 뷰티스 치아미백제'를
사용하고 있습니다.

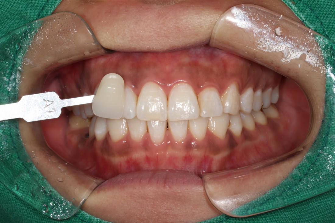
집에서 하는 홈케어 제품보다
전문가용 치아미백제는
농도가 더욱 높기 때문에
치아미백 효과를 더욱 기대할 수 있으며,
광주 치아미백치과의
전문가용 광조사기를 이용해
치아미백 효과를 극대화할 수 있습니다.

광주 치아미백 치과에서 준비한
매주 목, 금 치아미백 DAY!
특별한 가격혜택 및
치아미백효과를 높여주고
치아시림 증상을 줄여주는
불소도포 혜택까지
모두 확인해보세요!


