광주 교정치과 선택할 때
비교해야 할 사항은?
1. 교정전문의가 진료하는지
2. 경험많은 교정전문의인지
3. 발치, 충치치료를
동시에 할 수 있는지
4. 월 진료비등 교정가격이
합리적인지
5. 교정 전담 의료진이
상주하고 있는지

광주 교정치과
서울우리아이치과는
교정진료만을 20년 넘게 해오신
교정전문의 대표원장님 진료로
교정 진료 중간에 담당의사가
바뀔 염려 없이
나의 치아를 가장 잘 아는
교정전문의 진료로
교정치료를 마무리할 수 있습니다.
![]() | ![]() |
교정 치료 할 때
발치, 충치치료를
다른 치과가서 하고 와야 한다면?
서울우리아이치과는
전문의 대표원장 5인
협진시스템으로
모든 진료를 전문의에게
동시에 가능합니다!
![]() | ![]() |
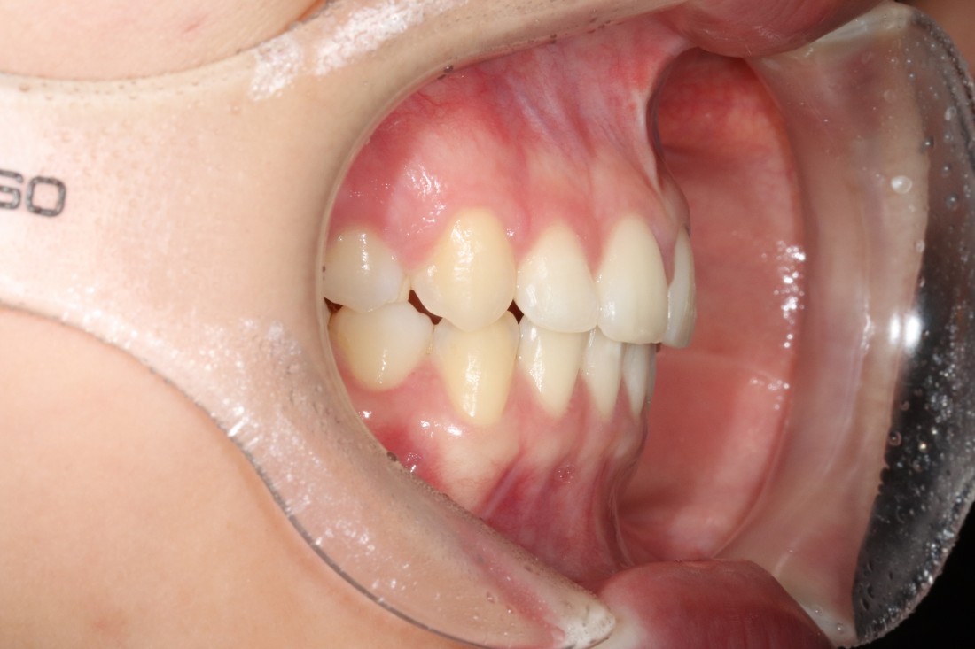
특히 교정진료를 받을 때는
치아를 발치해야 하는 경우도 있고,
충치치료를 동시에 진행해야 하는
케이스도 많은데요.
광주 교정치과 중에서는
발치나 충치치료를
다른 치과에서 받고 와야하는
경우도 있다고 합니다.
그러나 서울우리아이치과는
치아교정 전문의 진료부터
구강외과 전문의, 구강내과 전문의 등
다양한 분과별 전문의 진료가
동시에 가능하기 때문에
편하게 광주 교정치과 진료를
받으실 수 있습니다.
![]() | ![]() |
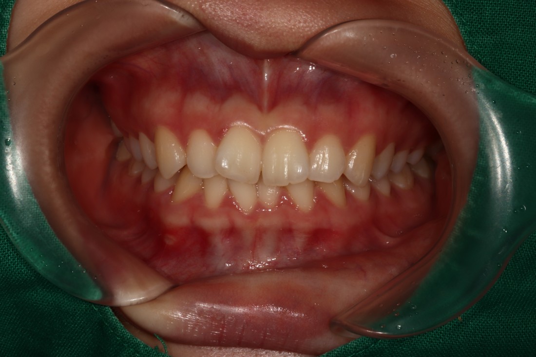
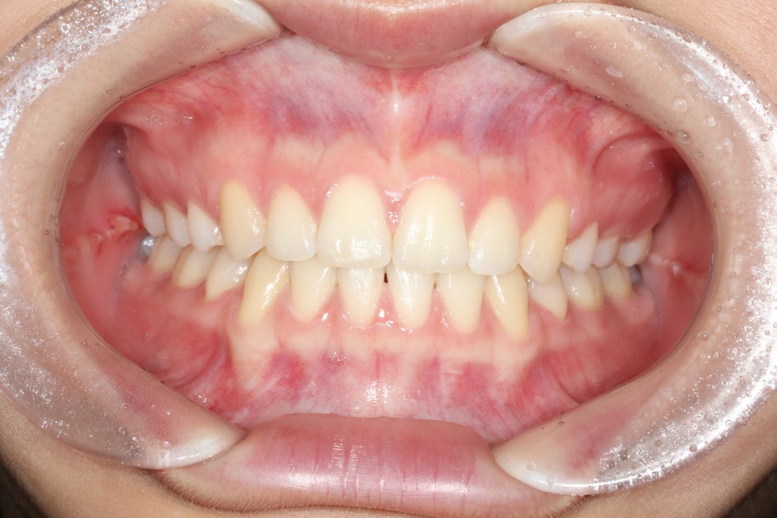
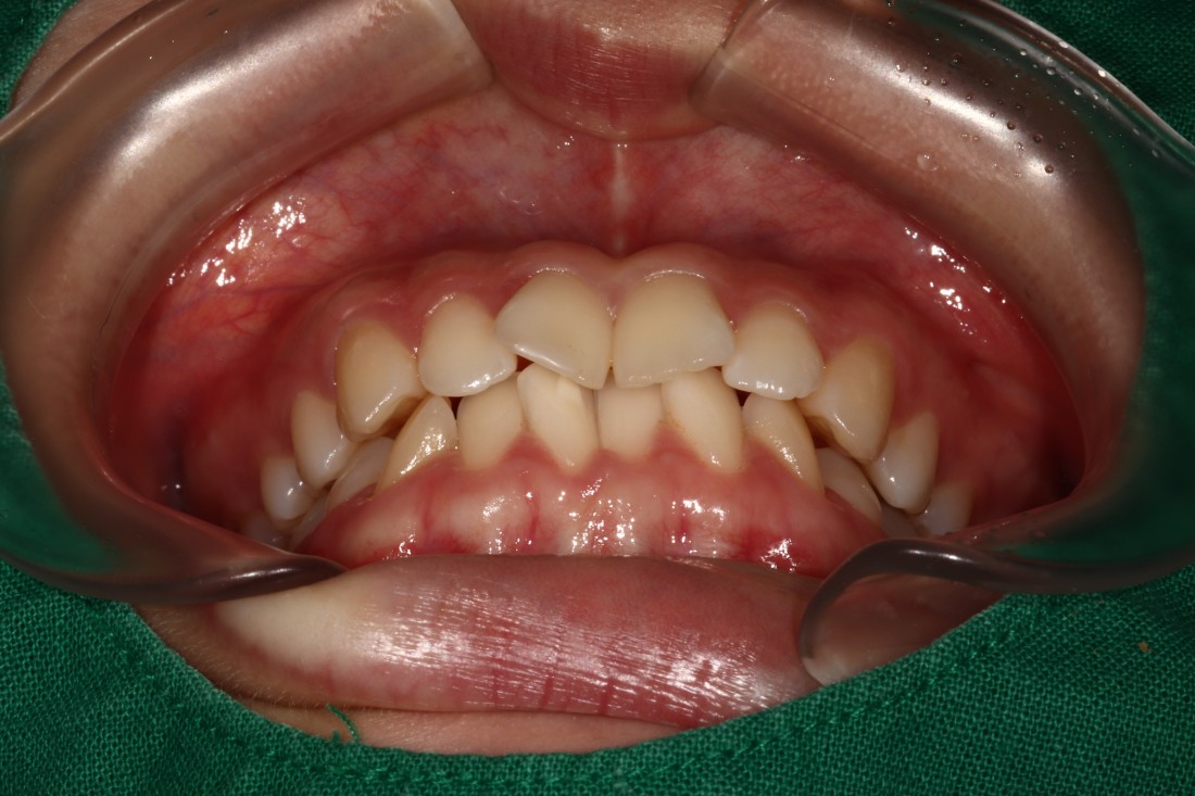
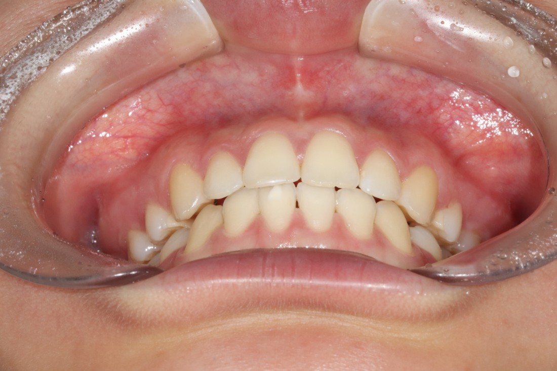
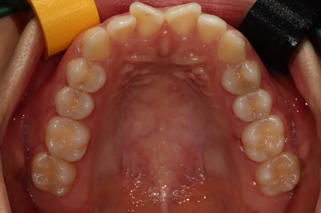
광주 교정치과에서는
발치교정 역시
전문의 치아발치를 통하여
전문적인 교정진료를
제공하고 있습니다.
발치교정, 비발치교정을 결정하는 것은
교정 전 3차원 105항목 정밀검사를 통해
교정전문의 대표원장님과의
세심한 상담을 통해 정하게 됩니다.
무조건 비발치 교정만이 좋은 것은 아니며,
개인차에 의해 발치교정이 필요한 경우에는
발치교정을 통해 원하는 교정치료 결과를
얻을 수 있습니다.
![]() | ![]() |
광주 교정치과에서는
교정 전 정밀검사 비용,
발치비용,
교정장치 (클리피씨) 비용,
월 진료비용,
유지장치 비용 등
교정진료에 필요한
모든 비용을 포함하여
추가금이 발생하지 않도록
합리적인 교정가격으로
진료하고 있습니다.
교정 진료 기간은
개인별로 치아 이동속도의 차이 때문에
예상기간보다 늘어날 수 있어서
월 3만원~5만원 사이의
월 진료비용이 발생하게 되면
금방 수십만원의 비용부담이 될 수 있기 때문에
광주 교정치과에서는
월 진료비용을 받지 않고 있으며
정기검진을 편한 마음으로
예약 시간에 맞추어 오시면 됩니다.
![]() | ![]() |
광주 교정치과의
교정전문의 대표원장님은
20년 넘게 치아교정 진료만을
담당해오고 계신데요.
조선대학교 임상교수 출신으로
다수의 우수논문상 수상으로
실력을 입증받은 분입니다.
발치교정, 비발치교정
모두 자신있기 때문에
교정학적으로 완성도 높은
치아교정 진료를 받아보실 수 있습니다.
![]() | ![]() |
광주 교정치과는
200케이스 넘는 교정사례를
상세하게 공유해드리고 있기 때문에
실력을 믿고 맡기셔도 좋습니다.
더 다양한 교정 전/후 사례는
위의 사진을 클릭하시면
확인하실 수 있습니다.











