안녕하세요~
광주 교정치과
서울우리아이치과
조원빈 대표원장입니다.
교정비용,
세부적으로 어떤 항목이
비용이 발생하나요?

광주 치아교정비를 생각하면
여러 항목의 세부 비용항목을
확인하실 수 있는데요.
광주 치아교정비 항목
1. 교정 전 정밀검사비용
2. (필요시) 발치비용
3. 교정장치 비용
4. 월 정기검진 진료비용
5. 유지장치 비용
크게 다섯가지의 세부 항목에서
광주 치아교정비용을 내게 됩니다.
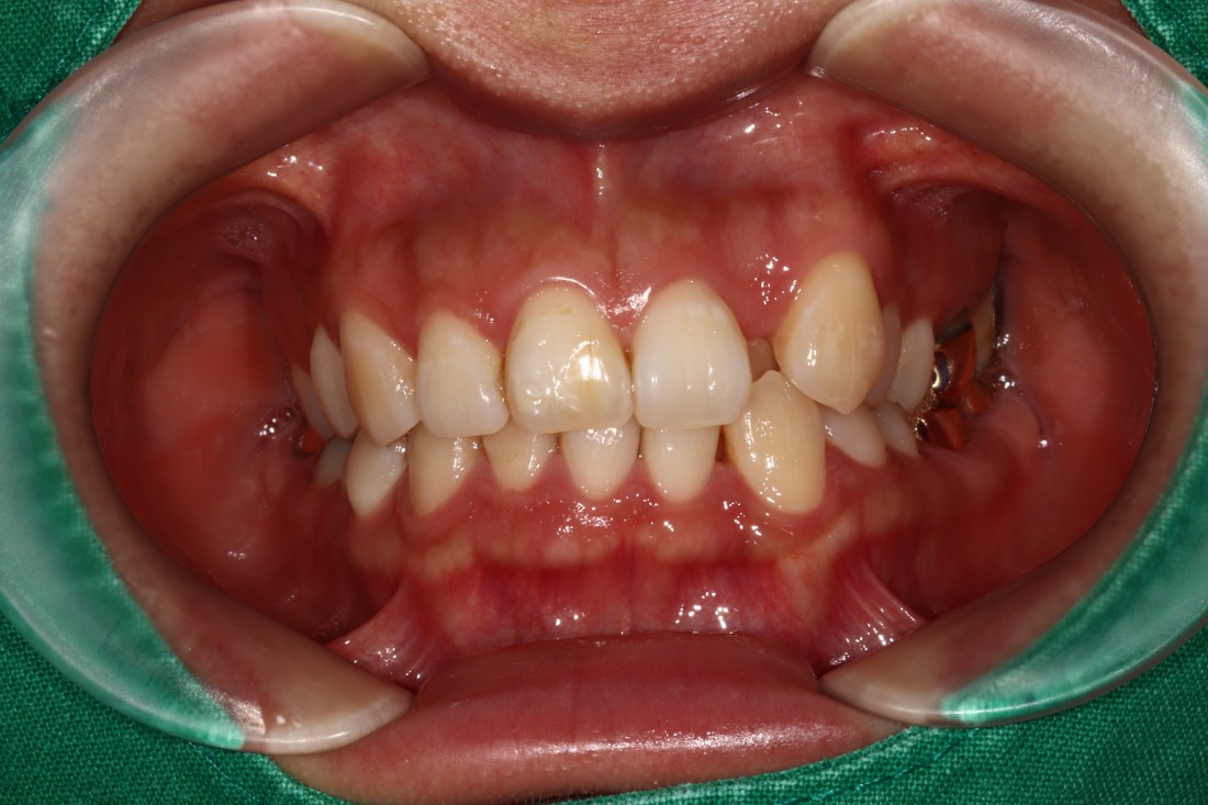
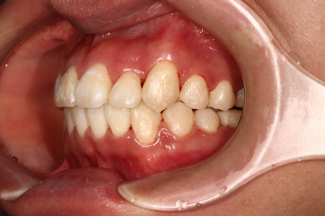
![]() | ![]() |
광주 치아교정비용
모든 비용을 포함한 금액으로
추가비용이 없는 치과에서!
광주 치아교정비에
모든 교정진료 관련 항목을 포함하여
추가금액 결제가 없는
서울우리아이치과에서 치아교정을
시작해보세요.
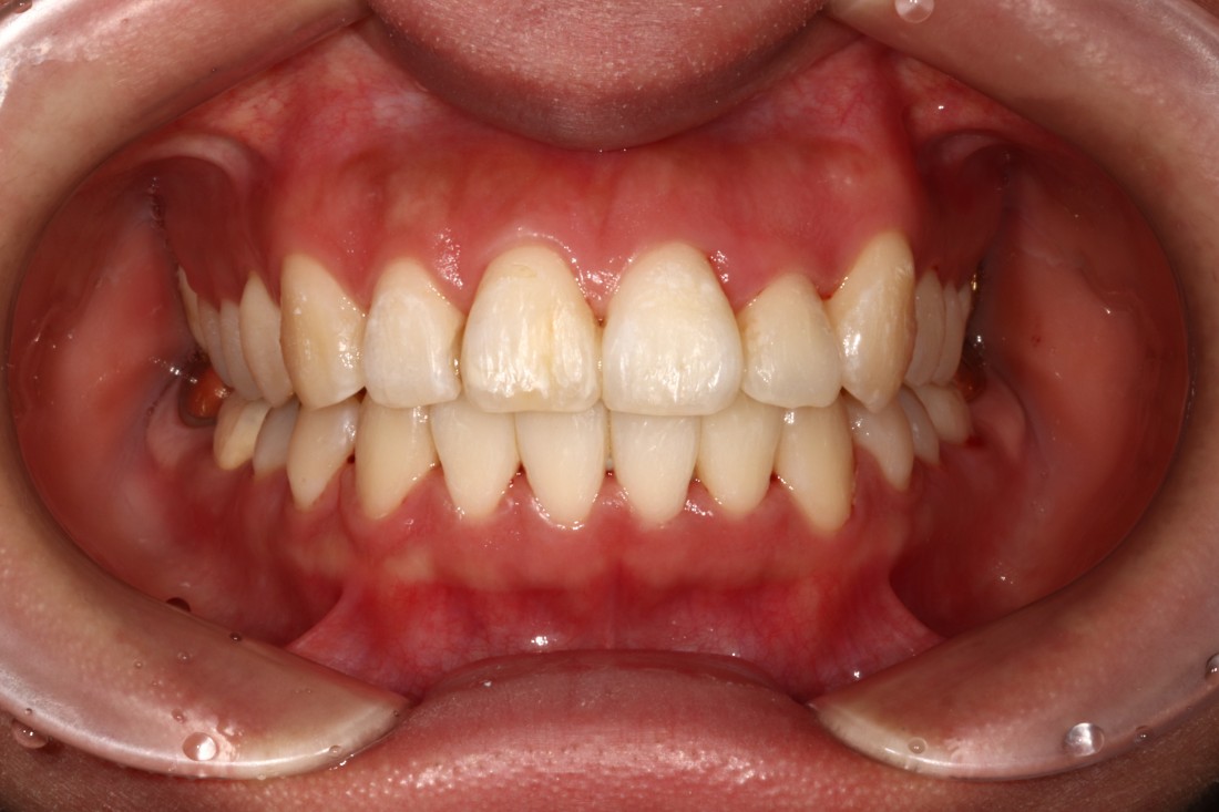
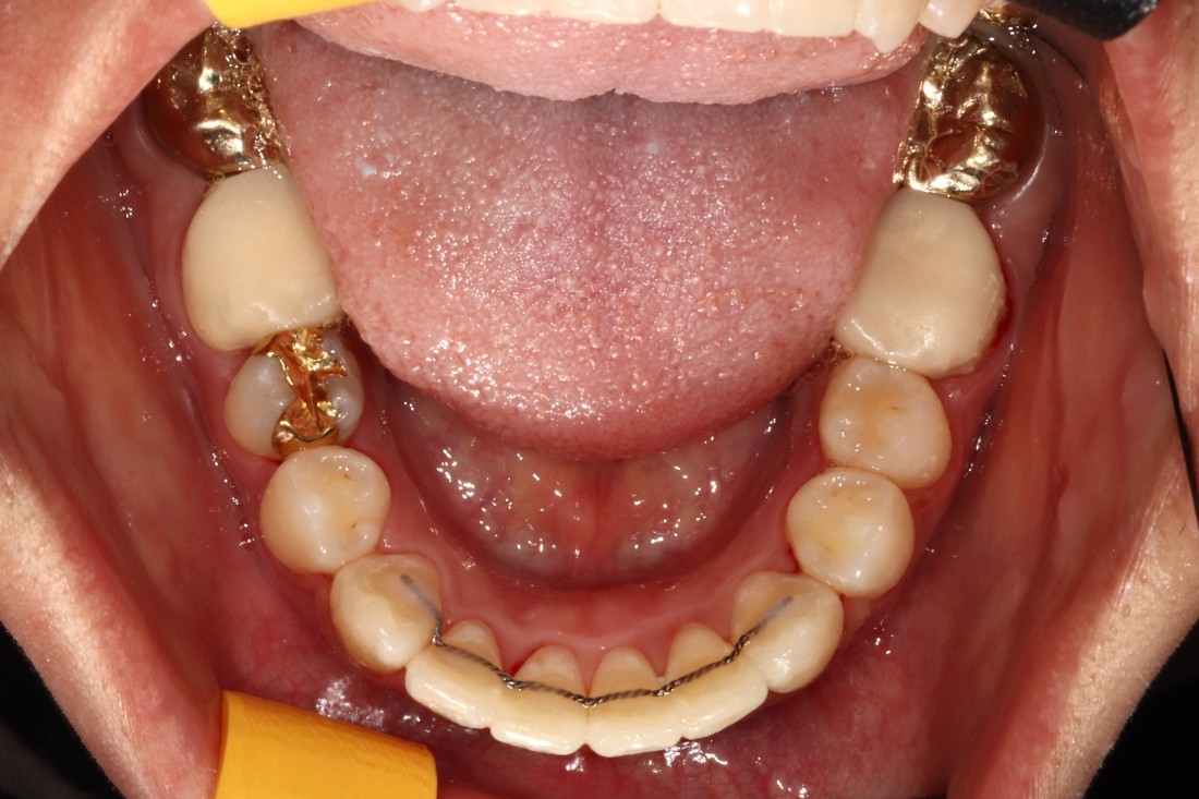
교정 전 3차원 105항목 정밀검사비용,
발치비용,
교정장치 (100% 정품 클리피씨) 비용,
월 진료비용,
유지장치 비용 등
교정진료에 필요한 모든 항목을 포함해
합리적인 금액의 교정진료를
받으실 수 있습니다.
![]() | ![]() |
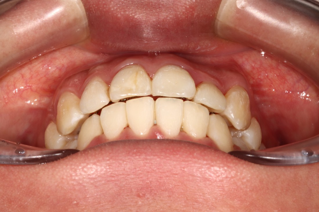
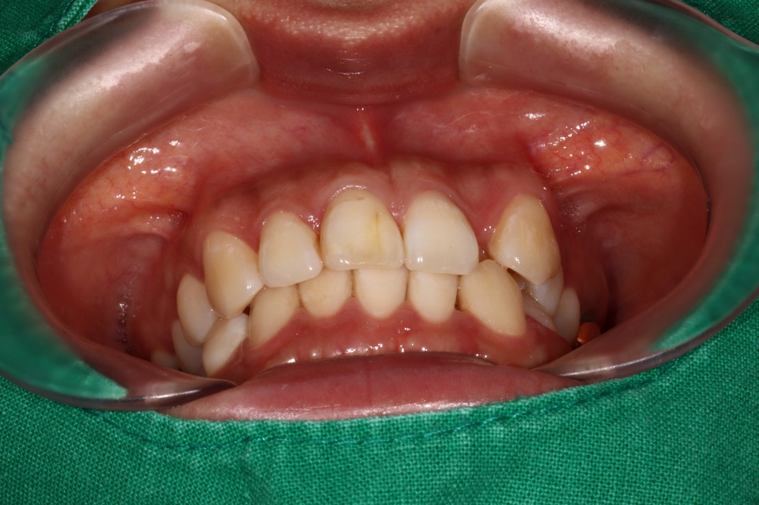
광주 교정치과에서는
합리적인 치아교정비 뿐만 아니라,
교정진료 경력만 20년 이상인
실력이 검증된 교정전문의 대표원장님 진료로
성공적인 치아교정을 보장합니다.
치아교정 진료는
한 번의 진료만으로 끝나지 않고,
1년~2년 사이 오랜 기간동안
담당 교정전문의와 함께
호흡을 맞춰가는 마라톤과 같은
긴 여정인데요.
교정진료 중간에 교정전문의가
바뀔 염려 없는 광주교정치과를
선택하는 것이 그래서 정말 중요합니다.
![]() | ![]() |
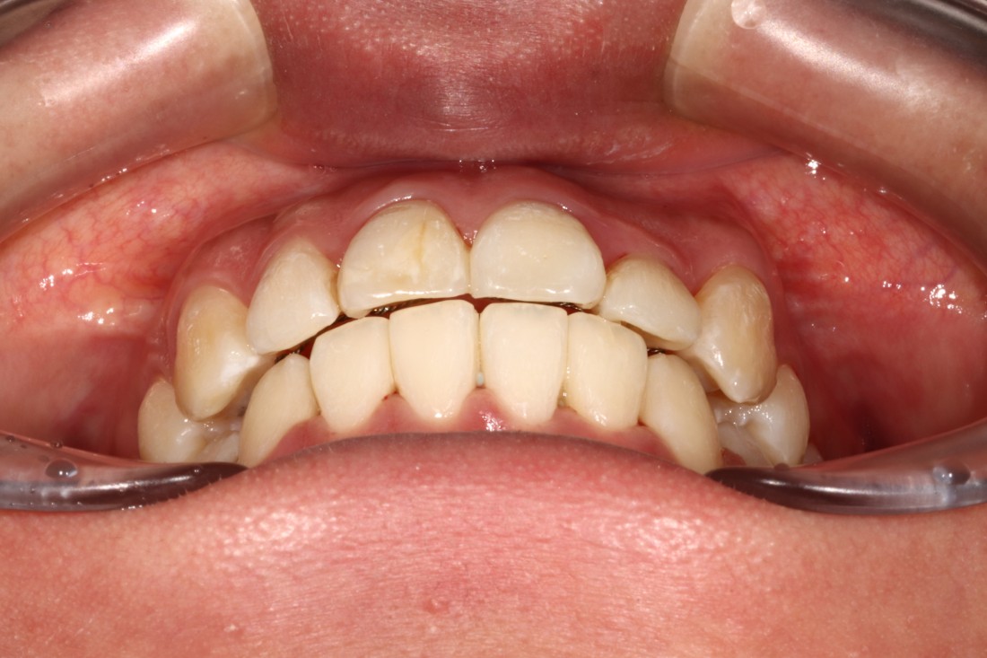
광주 교정치과에서는
오직 단 한 분만을 위해
VIP 1인 룸 교정진료실을
운영하고 있습니다.
교정 진료만을 담당하는
교정전담 의료진이 상주하고 있어
전문적인 교정진료를 제공하며,
월요일 야간진료 /
수요일 야간진료 /
토요일 오후4시까지
교정전문의 진료가 가능하기 때문에
평일에 시간이 나지 않아도
야간진료나 토요일 오후진료 시간을 이용해
충분히 편하게 광주 교정치과에
방문하실 수 있습니다.
![]() | ![]() |
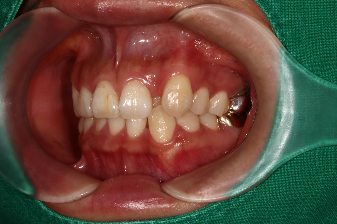
광주 치아교정비에는
발치비용 항목도 있는데요.
발치 / 비발치 여부는
교정 전 정밀검사를 통해서
개인별로 최적의 치료계획을 세워
안내해드리고 있습니다.
광주 교정치과에서는
발치 역시 보건복지부 인증을 받은
전문의 대표원장이 담당하고 있으며,
교정전문의 진료 뿐만 아니라
구강외과 전문의 / 구강내과 전문의 등
각 분과별 전문의 진료를 함께 받을 수 있어
최상의 치료효율을 얻을 수 있습니다.
![]() | ![]() |
광주 치아교정비 뿐만 아니라
주차가 편한 치과 역시
많은 분들이 선호하시는데요.
수완지구 교정치과를 방문할 때
주차가 불편한 교정치과는
가기 전부터 주차 스트레스 때문에
차를 가져가야하나 말아야하나
고민스러울 때가 많으실겁니다.
광주 교정치과에서는
모든 내원객분들에게
무료 발렛 주차를 제공하며,
진료가 끝나시면 미리 출차까지 도와드리는
백화점급 VIP 주차서비스를 제공합니다.









