광주 전체 임플란트
안아프게, 예쁘게, 잘 씹어지게
MBC KBC 전속자문치과에서
광주 전체임플란트 치과
서울우리아이치과는
광주 mbc, kbc 전속자문치과로
믿을 수 있는 진료만을 약속드립니다.
특히 경험많은 구강외과 전문의 진료로
아프지 않게, 예쁘게, 잘 씹어지게
3가지 임플란트 원칙을 가지고 진료합니다.

광주 전체임플란트
치료 케이스가 많은 치과가
잘하는 치과입니다.
광주 전체임플란트 케이스만
수 백가지로 정리하여
위의 홈페이지에 올려드리고 있는데요.
치과의사도 경험이 풍부한 사람이
여러 케이스를 다 다뤄보았기 때문에
좋은 임플란트 실력을 믿을 수 있습니다.
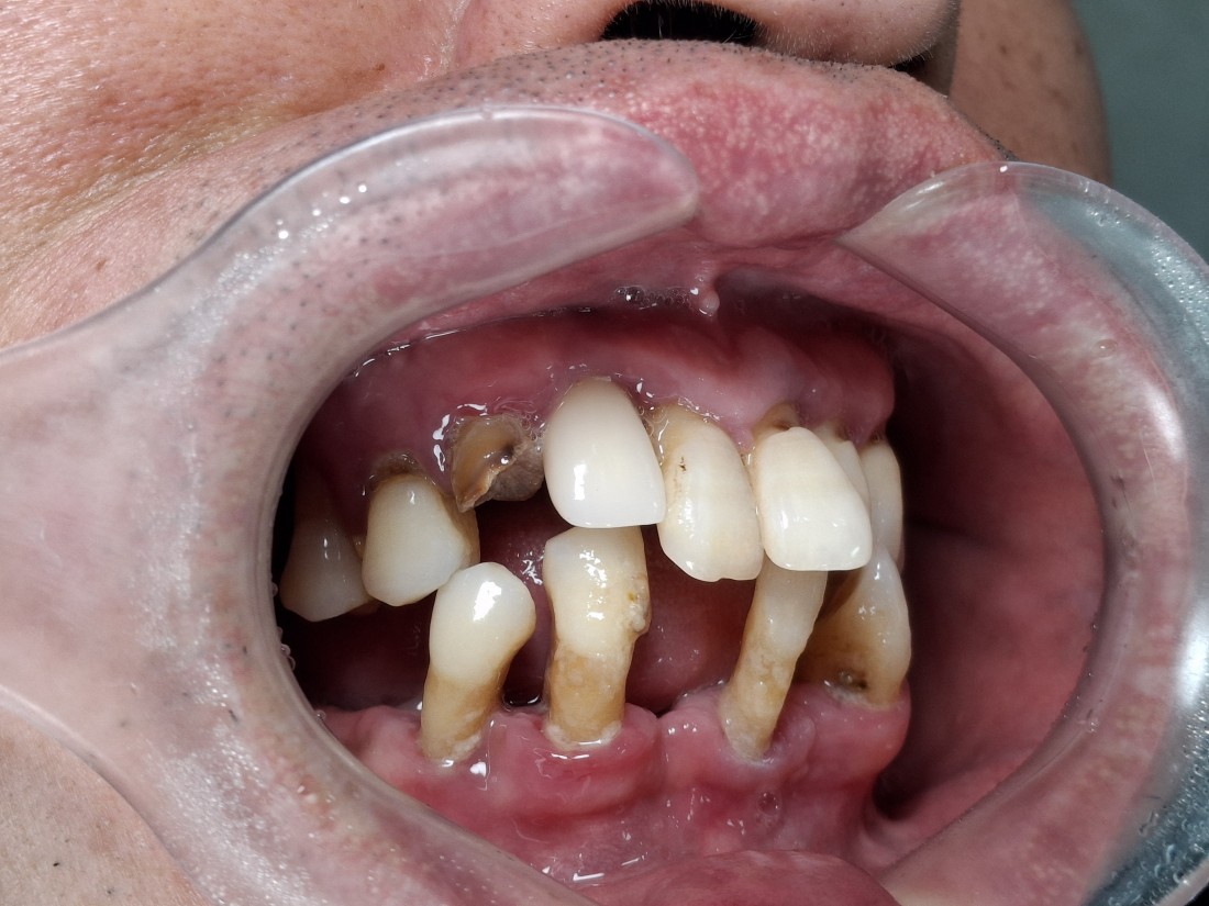
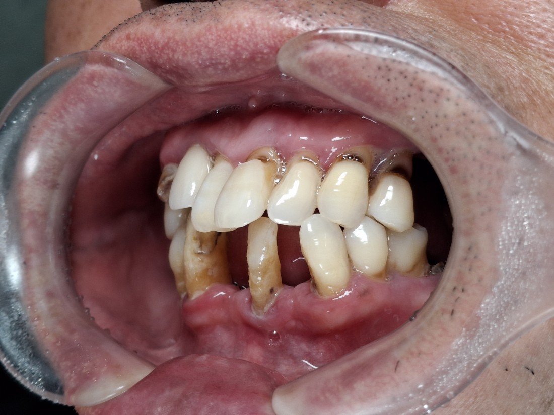
광주 전체임플란트 치과는
디지털가이드 임플란트 방식으로
한 번에 8개 이상의 임플란트를
동시에 식립할 수 있어
단 두 번의 수술만으로 전체임플란트를 완성합니다.
![]() | ![]() |
광주 전체임플란트 치과의 약속
1. 안아프게
2. 예쁘게
3. 잘 씹어지게
광주 전체임플란트를 생각할 때
임플란트 하나당 가격만 생각하시나요?
저렴한 개당 가격이 중요한 것이 아니고,
최소한의 개수를 식립하여 최대의 효과를 낼 수 있다면
전체 견적이 훨씬 줄어드는 효과가 있습니다.
광주 전체임플란트치과는
대학병원급 최첨단 장비를 갖추고 있으며
디지털 구강스캐너를 활용하여
치아 잇본뜨는 과정을 빠르고 정확하게 합니다.
뿐만 아니라, 자체 치아기공소를 운영하여
개인별 1:1 맞춤 최적의 보철물 제작으로
예쁘고 잘 씹어지는 임플란트를 완성합니다.
![]() | ![]() |
단 두 번의 수술만으로
광주 전체임플란트
완성할 수 있는 비결은
광주 전체임플란트 치과에서는
단 두 번의 수술만으로
전체임플란트를 완성하고 있습니다.
자동차가 네비게이션을 따라
정확한 목적지에 도착하듯,
디지털가이드 임플란트를 활용하여
미리 임플란트를 3D 가이드로 제작하기 때문에
정확한 깊이, 정확한 위치에
임플란트 식립이 가능합니다.
광주 전체임플란트를 디지털가이드 임플란트로
완성하고 있기 때문에
잇몸절개를 하지 않거나 (무절개) 혹은
최소한으로만 절개하고 있어서
임플란트 수술 시간이 짧으며,
붓기 / 출혈 / 통증이 매우 줄어듭니다.
![]() | ![]() |
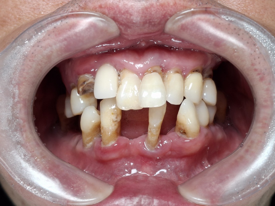
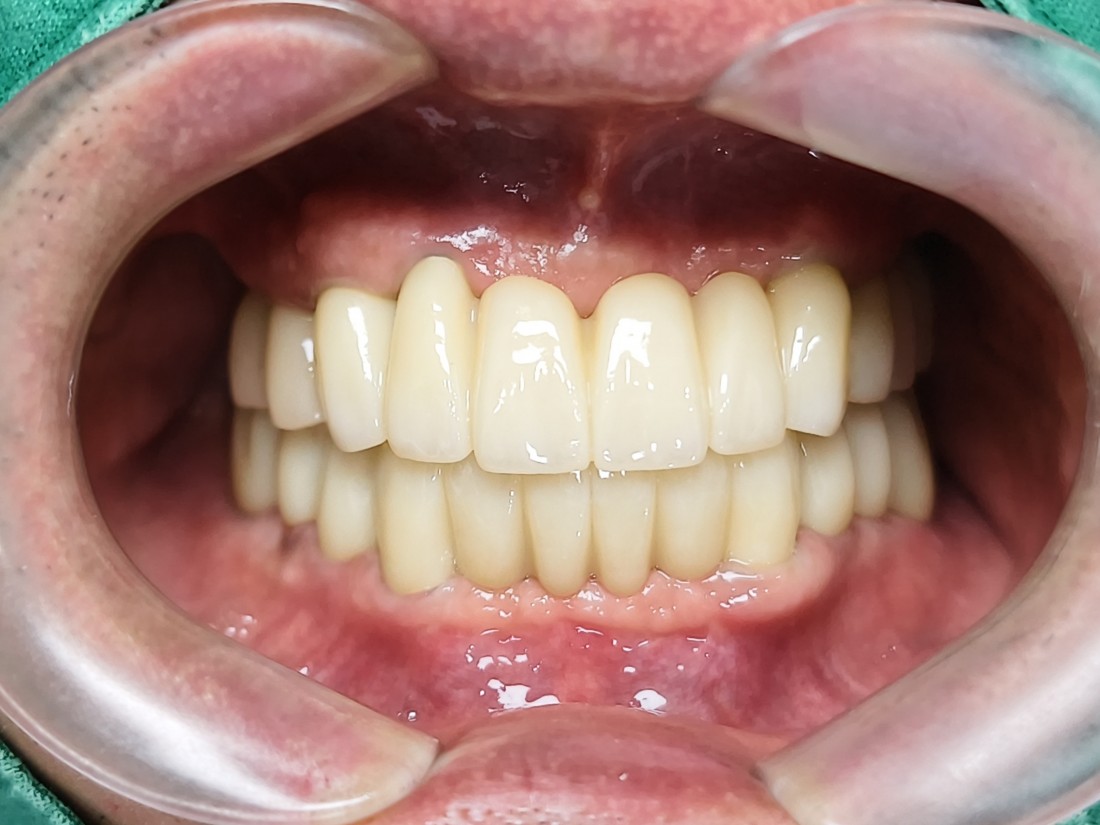
광주 전체임플란트에서는
신경쓰이는 앞니 임플란트도
예쁘게 제작합니다
무엇보다도 전체임플란트 중에서
특히 앞니임플란트가
자연스럽고 예쁘게 완성이 되는지
많이 걱정하실텐데요.
광주 전체 임플란트 치과는
4층 자체 치아기공소를 운영하여
보철물 퀄리티를 최상으로 유지합니다.
자연치아보다 더 자연스럽게,
더 잘 씹어질 수 있도록
심미적인 요소와 기능적 요소를
모두 고려하여 제작하고 있으며
불편함이 생기시면 바로 수정이 가능하기 때문에
번거로움 없이 광주 전체임플란트를
완성할 수 있습니다.
![]() | ![]() |
광주 전체임플란트
아프지 않은 마취 시스템
광주 전체임플란트 치과는
무통마취기기에도 많은 투자를 했습니다.
잇몸 뿌리에 직접 특수 바늘로
마취약을 주입하기 때문에
효과가 좋으며, 빠른 마취가 가능한
퀵슬리퍼5 장치를 도입하였는데요.
프랑스에서 제조되어 수입되는 기기라서
고가의 장비이지만,
그동안 치과 마취주사에 효과가 없으셨던 분들도
마취가 잘 되는 큰 장점이 있기 때문에
광주 전체임플란트치과에서 만나실 수 있습니다.
![]() | ![]() |
광주 전체임플란트치과의
VIP 1인 룸 진료실에서
프라이빗한 임플란트로
광주 전체임플란트 치과는
모든 진료실을 1인 룸 진료실로 운영합니다.
오직 단 한 분만을 위해 준비된
VIP 1인 룸 임플란트 진료실에서
임플란트 진료만을 담당하는 의료진의
세심한 케어를 직접 경험해보세요.
디지털가이드를 이용한
광주 전체임플란트를
아프지 않게, 예쁘게, 잘 씹어지게
완성해드리겠습니다.
![]() | ![]() |
광주 전체임플란트치과
무료 발렛 주차 서비스
치과에 방문하기 전에
주차가 편한 곳인지
미리 찾아보시는 분들 많으실텐데요.
광주 전체임플란트치과는
내원객 여러분들의 편안한 진료를 위하여
무료 발렛 주차 서비스를 제공합니다.
백화점 VIP 발렛요원 경험자로 구성된
발렛요원의 무료 주차, 출차 서비스로
편하게 진료받으세요.











