안녕하세요~
광주 상악임플란트 치과
서울우리아이치과
조원빈 대표원장입니다.
구강악안면외과 전문의는
임플란트, 사랑니 발치 등
치과 진료의 외과적인 진료를
담당합니다.

광주 상악임플란트 치과의
구강악안면외과 전문의 대표원장님은
오랜기간 구강외과 진료와 관련하여
교육받고 수련받으신 후에
수많은 경험을 쌓아오신 분입니다.
고난이도 사랑니 발치부터
붓기 / 출혈 / 통증을 최소화하는
디지털 가이드 임플란트 수술까지
저도 제 부모님의 수술을 부탁드릴 정도로
실력있는 구강외과 전문의입니다.
![]() | ![]() |
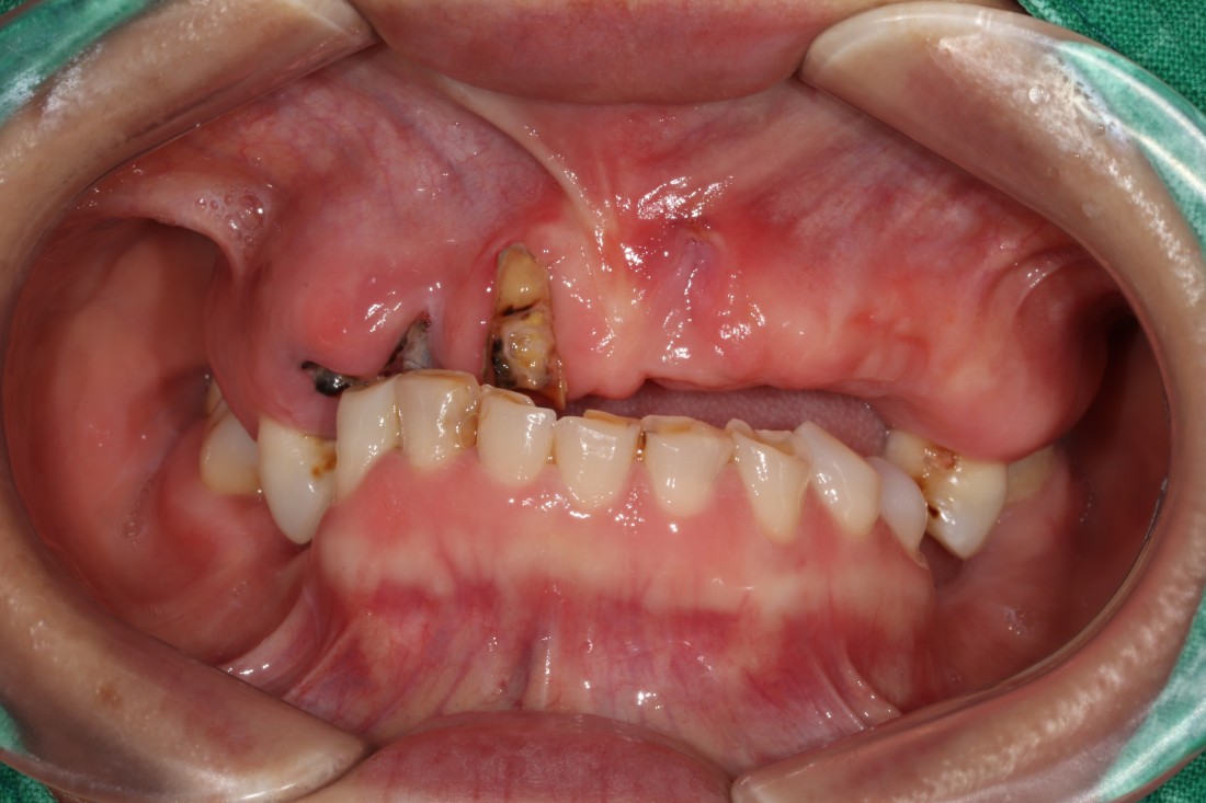
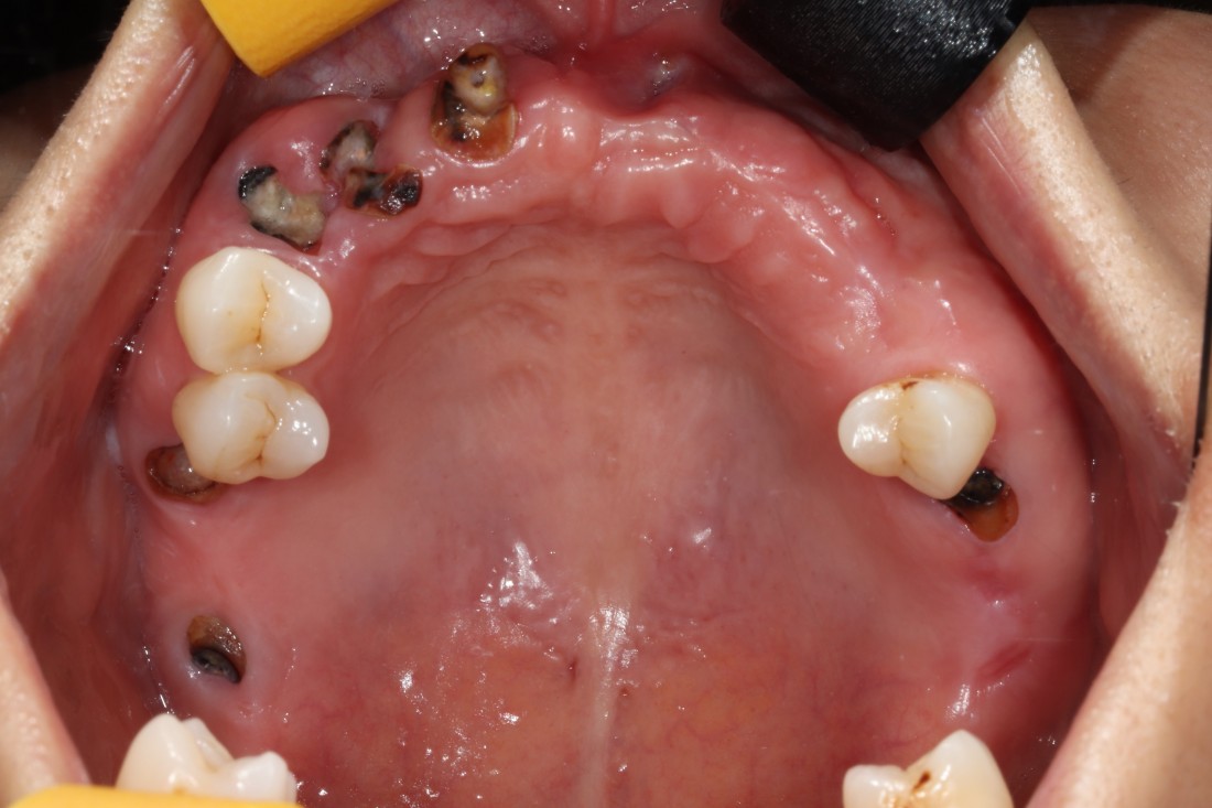
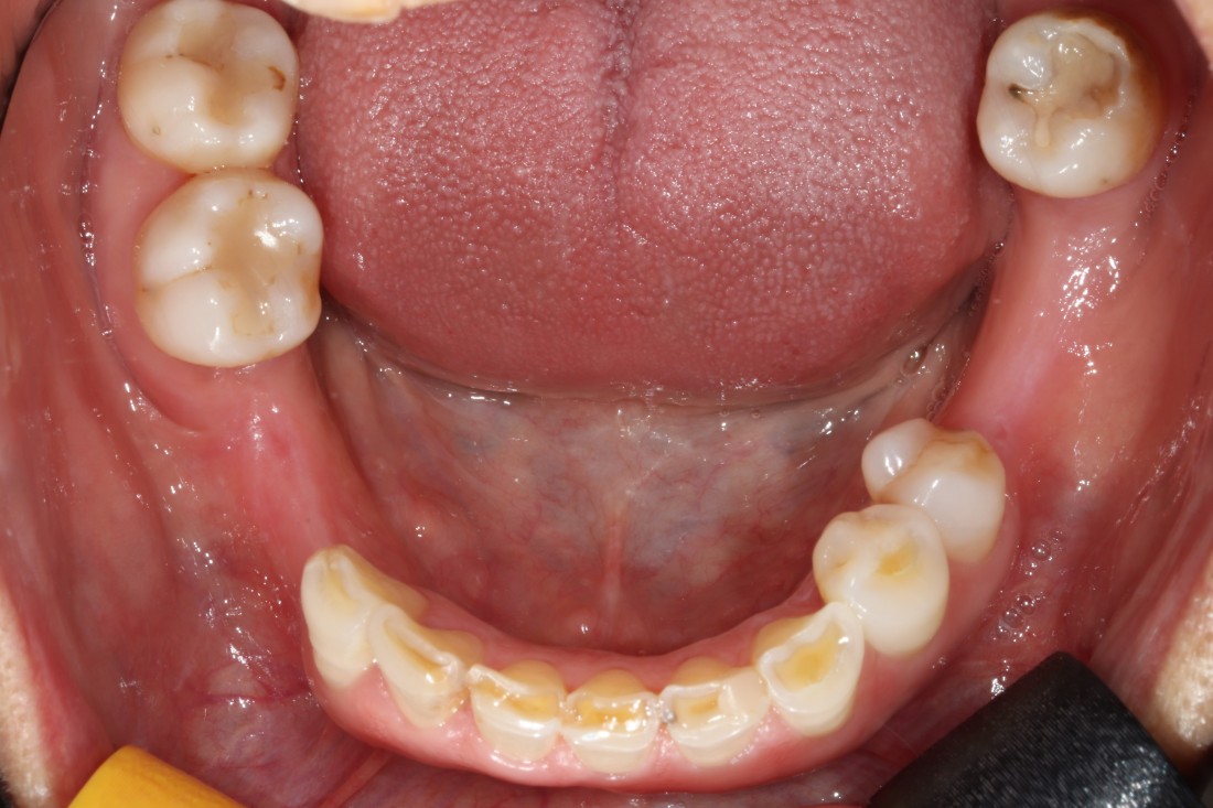
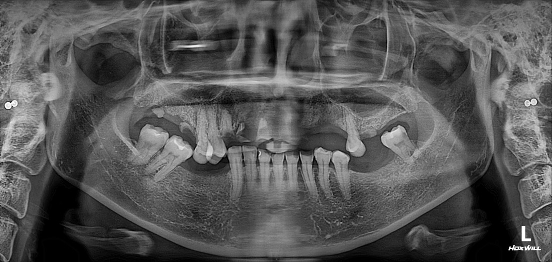
광주 상악임플란트 치과는
전체 임플란트 수술도
단 2번의 수술만으로
완성합니다.
우리가 치아를 나눌 때에
윗니 (상악) / 아랫니 (하악) 이렇게
간단하게 구분을 하는데요.
일반적으로 상악임플란트는
하악에 비해 잇몸뼈가 얇은 경우가 많고
예뻐야 하는 심미적인 부분도
담당하기 때문에
특별히 신경써서 상악임플란트 수술경험이
풍부한 구강외과 전문의에게
진료받는 것을 추천드립니다.
광주 상악임플란트 치과에서는
위 / 아래 전체 임플란트를
붓기, 출혈, 통증을 최소화할 수 있는
디지털 가이드 임플란트 수술방법으로
단 2번의 수술만으로 완성하고 있습니다.
(위의 링크를 클릭하시면
단 두 번의 수술만으로 완성하는
광주 전체임플란트를 확인하실 수 있습니다.)
![]() | ![]() |
광주 상악임플란트 치과에서는
아프지 않은 마취를 위하여
프랑스에서 제조되어 수입되는
최첨단 무통마취기
'퀵슬리퍼5'를 도입하였습니다.
특수바늘을 이용하여
잇몸뼈 부근에 직접 마취액을
주입하여 마취하기 때문에
바늘이 들어갈 때의 통증을 느끼지 않고,
그동안 치과마취가 잘 되지 않으셨던
특이체질인 분들에게도
효과적으로 무통마취가 가능한 기기입니다.
![]() | ![]() |
간혹 치과 마취주사 바늘을 보는 것 조차
무서워하시는 치과공포증 환자분들도
생각보다 많으신데요.
광주 상악임플란트 치과에서는
어린 아이들도 무서워하지 않고
잘 맞는 마취주사인
' 바늘이 없는 마취주사 '를
도입하였습니다.
주사바늘이 없이 압력에 의한 마취액 분사로
피부 표면에 고르게 마취액을 도포하여
효과는 빠르고 마취 정확도는 높인
바늘주사 없는 마취 시스템까지
준비되어 있는
아프지 않은 광주 상악임플란트 치과입니다.
![]() | ![]() |
광주 상악임플란트를 해야하는 때가 오면
무엇보다도 '예쁘고 잘 씹어지게'
임플란트 진료를 받고싶으실텐데요.
광주 상악임플란트 치과는
4층 자체 치아기공소를 운영하고 있으며
보철물 디자인 퀄리티를
굉장히 중요하게 생각하고 진료하기 때문에
자연치아만큼 예쁘면서도
잘 씹어지는 광주 상악임플란트 진료를
보장할 수 있습니다.
만약 불편한 점이 생기셔도
자체 치아기공소에 바로 수정이 가능하여
빠르고 예쁘게, 잘 씹어지는
광주 상악임플란트를
완성하고 있습니다.
![]() | ![]() |
광주 상악임플란트 치과는
아이들 진료만을 위한 치과가 아닌,
분과별 전문의 5인 대표원장의
협진시스템으로 운영되는
우리가족 모두의 치과입니다.
개원 초기에는 치과 상호명 때문에
많은 분들이 아이 진료만 가능한지
많이 물어보셨는데요.
이제는 광주 상악임플란트 치과의
아프지 않고, 예쁘고, 잘 씹어지는
구강외과 전문의의 디지털가이드 임플란트
입소문이 정말 많이 퍼져서
주변 지인추천으로 방문하시는
임플란트 고객님들의 비율이 매우 높습니다.
![]() | ![]() |
![]() | ![]() |
광주 상악임플란트 진료를 위해
치과를 방문해야 할 때,
주차 스트레스 때문에 힘드셨던 적
있으신가요?
수완지구 운재빌딩 뒷편으로 오시면
발렛요원이 상시대기하고 있으며,
무료로 편하게 주차를 맡기시고
진료 후에는 미리 출차를 도와드립니다.













