광주 어린이교정시기에 대하여
궁금해하는 분들이 많으신데요.
조선대학교 임상교수 출신의
20년 넘는 경력을 가진
교정전문의 대표원장님과
3차원 105항목 교정 전 정밀검사를 통해
세심하게 치료계획을 세운다면
우리아이에게 맞는 최적의 교정시기를
선택하여 교정치료를 시작할 수 있습니다.

광주 어린이교정에서 알려드리는
1차교정과 2차교정의 차이는?
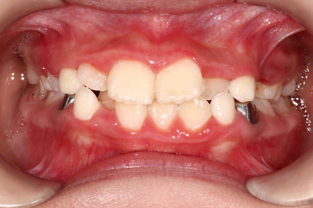
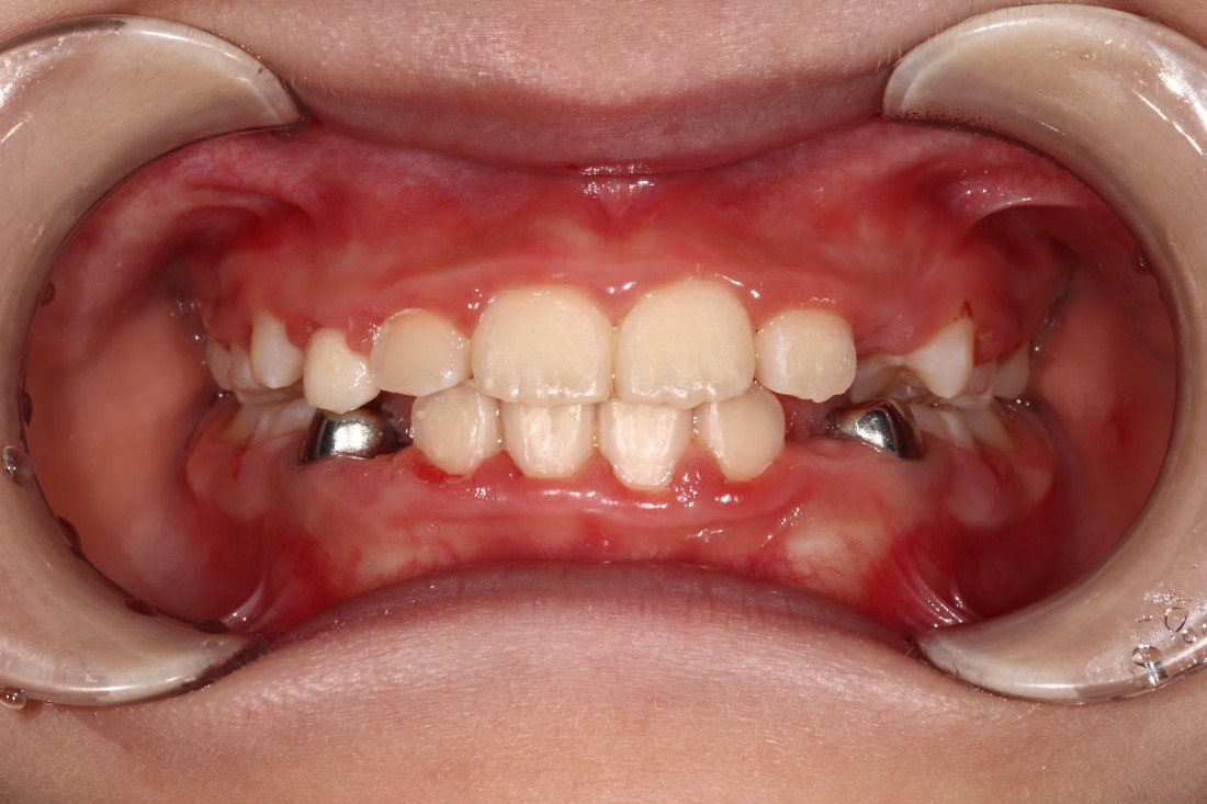
1차교정 : 예비 교정이라고 불리며,
턱 성장 조절을 통하여
발치 가능성을 줄이고,
2차 교정 시 기간과 난이도를
많이 줄여줄 수 있습니다.
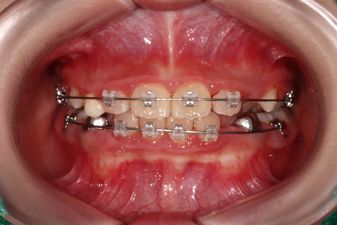
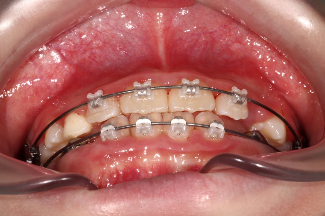
2차교정 : 본 교정이라고 불리며,
만13세 이후 영구치가 모두 난 후에
치아에 브라켓을 부착하여
전체적인 치열의 이동을 통해
치아 교합을 완성하는 단계입니다.
![]() | ![]() |
광주 어린이교정치과에서는
20년 경력의 교정진료만을 담당해온
교정전문의 대표원장이
직접 책임지고 1:1 맞춤 교정진료로
고른 치열을 완성합니다.
모든 진료실을 1인 룸 진료실로 운영하여
오직 단 한 분만을 위한
프라이빗 교정진료가 가능하며,
교정 진료만을 담당하는
교정 전담 의료진이 상주하고 있어
교정 진료 중 언제라도 불편한 점이 생기면
교정 전담 의료진의 세심한 케어로
필요한 진료를 바로 받으실 수 있습니다.
![]() | ![]() |
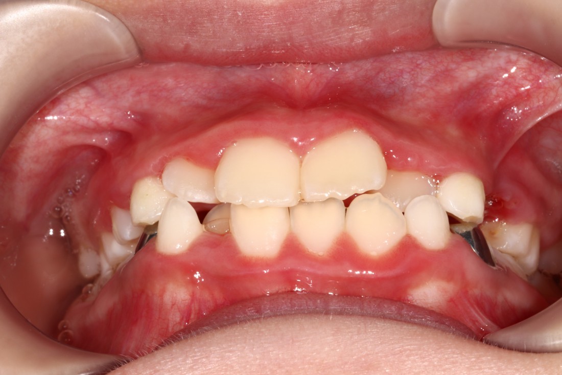
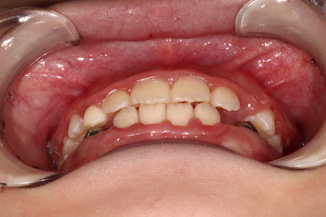
광주 어린이교정치과는 1차 교정장치로
일본의 교정전문의가 개발한
'프리올소' 교정장치도 사용하고 있는데요.
광주/ 전남에서 프리올소 사용량이
가장 많은 1위 치과로,
수많은 경험에 기반한 데이터가 축적되어
우리아이에게 가장 최적의 치료계획을 세워
성공적인 광주 어린이치아교정이 가능합니다.
![]() | ![]() |
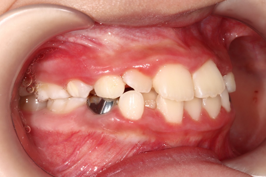
광주 어린이교정 진료를 위해
교정전문의 한 명만 있는 치과면
충분하다고 생각하시나요?
교정진료를 시작하게 되면
더욱 충치관리 등 구강건강 관리에
신경을 많이 써주셔야 하고,
교정 진료와 함께 충치치료도
필요한 경우가 많습니다.
무엇보다도, 어린이치아교정만으로
교합이 잘 맞으면 좋겠지만
간혹 1차교정 외에도
성장 정도에 따라서
2차교정이 필요한 경우도 생기는데요.
그럴때 적절하게 필요한 진료를
제 시기에 맞추어 제공할 수 있는
광주 어린이교정치과를 선택하시는 것이
앞으로의 성공적인 치아관리에 도움이 됩니다.
![]() | ![]() |
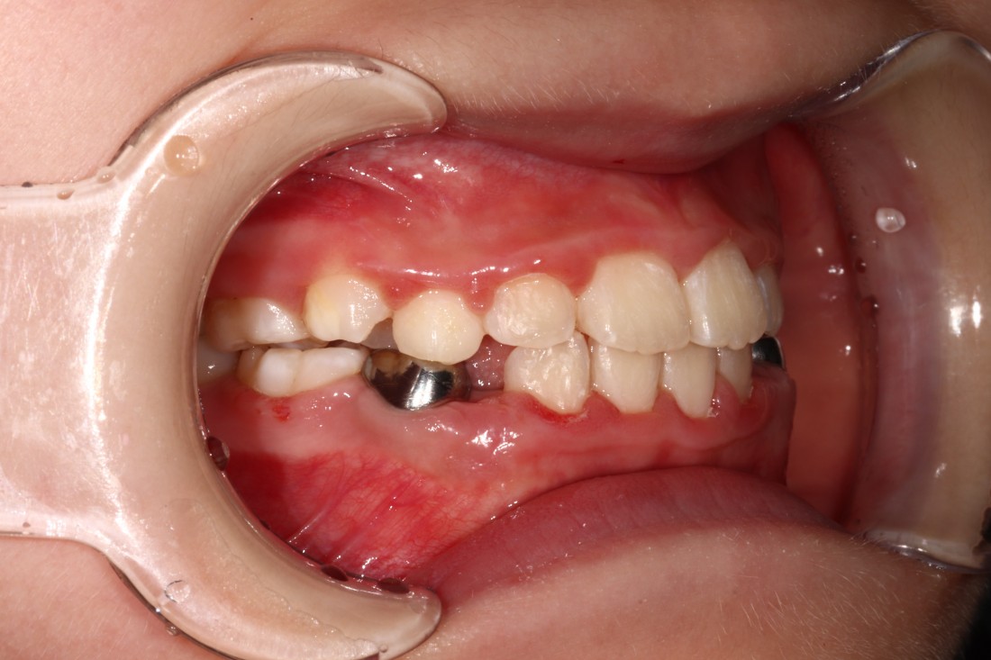
광주 어린이교정치과에서는
프리올소 교정을 비롯하여
모든 치아교정 진료에
월 진료비를 따로 받지 않습니다.
모든 비용을 포함한 금액으로
교정진료를 진행하고 있기 때문에,
혹시나 치아 이동 속도가 더뎌서
치아 교정 기간이 길어지더라도
부담없이 광주 어린이교정치과에
정기검진을 꾸준히 와주시면
성공적인 치아교정을 완성할 수 있습니다.
![]() | ![]() |
광주 어린이교정치과는
홈페이지에 200 케이스가 넘는
다양한 교정 전/후 사진을
공유하고 있습니다.
그만큼 광주 어린이치아교정 케이스가
정말 많이 축적되어 있고,
어린이 치아교정 노하우를
따라올 수 없을 정도로
많이 보유하고 있기 때문에
교정전문의 진료를 믿고 맡기셔도 좋습니다.
우리아이 성장 속도에 맞게
최적의 교정시기를 결정하여
1차교정, 2차교정 모두
비용과 난이도를 줄일 수 있도록
진료시스템을 갖추고 있는
광주 어린이교정치과 입니다.









