우리아이가
윗니보다 아랫니가
더 앞으로 나오면서
거꾸로 맞물리는 것을
그냥 방치한다면...
주걱턱이 심해져서
성인이 된후에
치료하기엔 늦습니다.

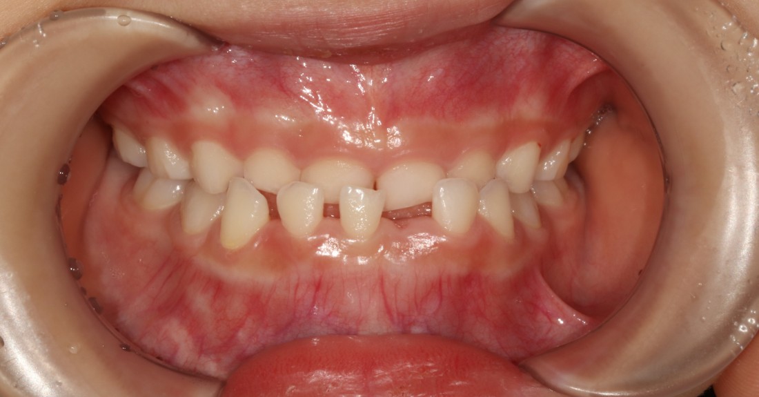
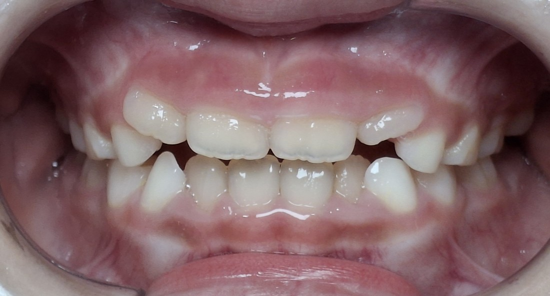
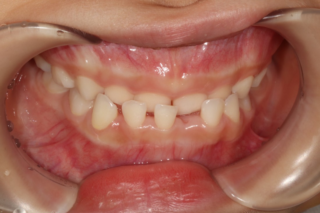
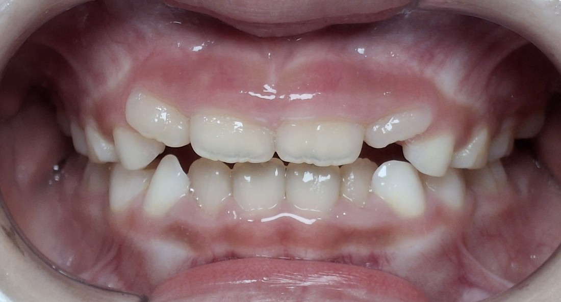
혹시 우리아이 치아가
이렇게 윗니보다 아랫니가 앞으로 나오며
맞물리고 있는 반대교합처럼 보이시나요?
시간이 가서 아이가 잘 씹게 되면
괜찮아지겠지.. 하며 방치하게 되면
오히려 주걱턱이 더욱 심해지고
성인이 된 후에 이것을 교정하려면
양악수술 등을 동반하여야 하는
큰 숙제처럼 남게 됩니다.
![]() | ![]() |
광주 어린이교정치과에
방문해주시는 부모님들도
반대교합의 경우에는
관찰이 쉬운 부분이기 때문에
조기에 많이 교정상담을 위해
방문해주시는 편인데요.
실제로 대한치과교정학회 치료지침 상
어린이 부정교합의 경우
턱 성장과 밀접한 관련이 있기 때문에
혼합치열기 (만5세~12세) 사이에
골든타임을 지켜
조기에 치료를 시작하는 것을
적극적으로 권장합니다.
![]() | ![]() |
광주 어린이교정치과에서
어린이부정교합을 개선하기 위해
가장 많이 사용하고 있는 교정장치는
'프리올소' 교정장치입니다.
일본의 교정전문의가 개발한
프리올소 교정장치는
페이스마스크, 프랑켈 등의
1차 교정장치에 비해
부피감이 작고 말랑한 재질이라
아이들이 적응하기에 더욱 편한데요.
어린이부정교합의 케이스로
반대교합 / 과개교합 / 개방교합 정도로
크게 세 가지 유형으로 나누어서
각 케이스에 맞는 프리올소 교정장치 타입을
추천해드리고 있습니다.
![]() | ![]() |
광주 어린이교정치과는
광주/전남에서 프리올소 사용량이
가장 많은 1위 치과입니다.
그만큼 오랜 기간
프리올소 사용 경험과 노하우를
축적해왔기 때문에
우리아이에게 맞는 최적의 교정계획을 세워
최상의 치료효과를 위해 노력합니다.
모든 소아 진료실은
1인 룸 진료실로 운영되고 있으며,
소아 진료만을 전담으로 하는
소아 전담 치위생사 선생님과 함께
프리올소 사용방법을 익히고
착용일지를 작성하고 있기 때문에
더욱 치료효과가 좋습니다.
![]() | ![]() |
광주 어린이교정치과는
어린이치아교정 뿐만 아니라,
치아교정과 / 구강외과 / 구강내과 등
다양한 분과별 전문의 대표원장의
협진 시스템으로 운영하고 있습니다.
그렇기 때문에 우리아이 1차 치아교정 후에
나중에 2차 교정이 필요한 경우,
혹은 사랑니 발치나 충치치료 등
다양한 전문의 치과진료를
모두 받으실 수 있기 때문에
더욱 편리한 광주 어린이교정치과입니다.







