신경쓰이는 앞니 임플란트를
예쁘게 완성하는
광주 앞니임플란트 치과에서
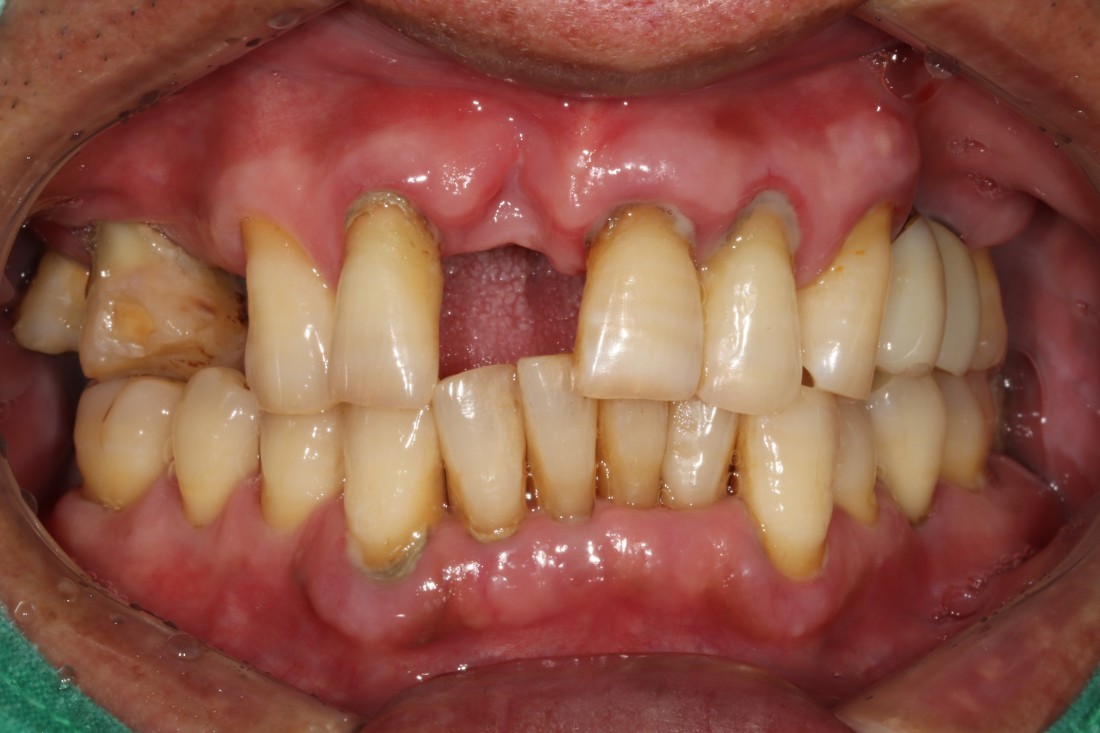
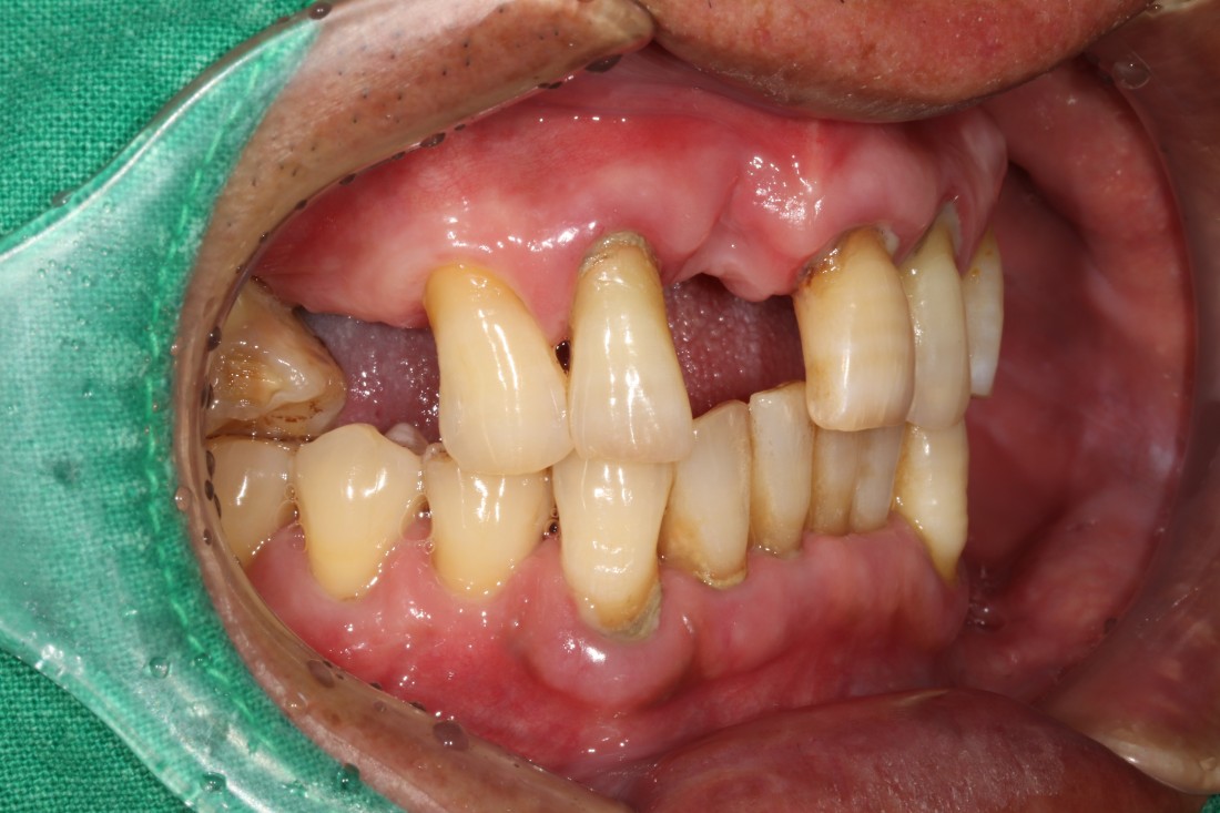
광주 앞니임플란트가 필요할 때
무엇보다도 주변 치아와
잘 어울리고, 잘 씹어지는지가
앞니임플란트 성공의 포인트인데요.
광주 앞니임플란트치과는
잇몸 절개를 최소화하는
디지털 가이드 임플란트로
구강외과전문의 앞니임플란트를
아프지 않게 식립합니다.

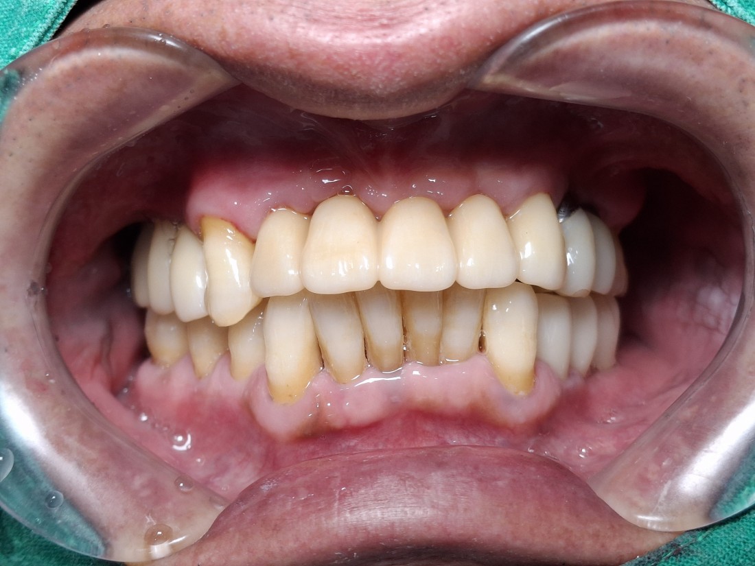
핑크포세린을 이용하여
자연스러운 아름다움을 만드는
광주 앞니 임플란트 치과에서
또한 자체 치아기공소를 운영하여
앞니임플란트를 광주 앞니임플란트 치과 중
어느 치과보다 더 자연스럽고 아름답게
완성할 수 있는 자신이 있습니다.
광주 앞니임플란트 치과에서
자연치아만큼 아름다운 앞니임플란트를
완성할 수 있는 비결에는
'핑크 포세린'을 이용하여
잇몸을 제작하기 때문에
더욱 자연스러운 아름다운 앞니를
연출할 수 있기 때문입니다.
![]() | ![]() |
광주 앞니임플란트
구강외과 전문의가
직접 진료하나요?
광주 앞니임플란트치과의
앞니 임플란트 치료원칙 3가지는
1. 안 아프게
2. 예쁘게
3. 잘 씹어지게
입니다.
모든 치과에서 디지털 가이드 임플란트가
가능한 것이 아니고,
최첨단 기기를 갖춘 환경이 있어야 합니다.
또한, 모든 치과의사가 디지털가이드 임플란트
식립 경험이 풍부한 것이 아니기 때문에
디지털 가이드 임플란트로
앞니 임플란트 식립 경험이 많은
광주 앞니 임플란트 치과의
구강외과 전문의 원장님 진료를
받으셔야하는 이유입니다.
![]() | ![]() |
오직 단 한 분만을 위해
준비되어있는 VIP 룸 진료실
오직 광주 앞니 임플란트 치과에서만
광주 앞니임플란트 치과는
4층 VIP 임플란트 진료실을
운영하고 있습니다.
오직 단 한 분만 진료받으실 수 있는
1인 룸 진료실에서
임플란트 진료만을 전담하는
임플란트 전담 의료진이
세심한 1:1케어를 담당합니다.
![]() | ![]() |
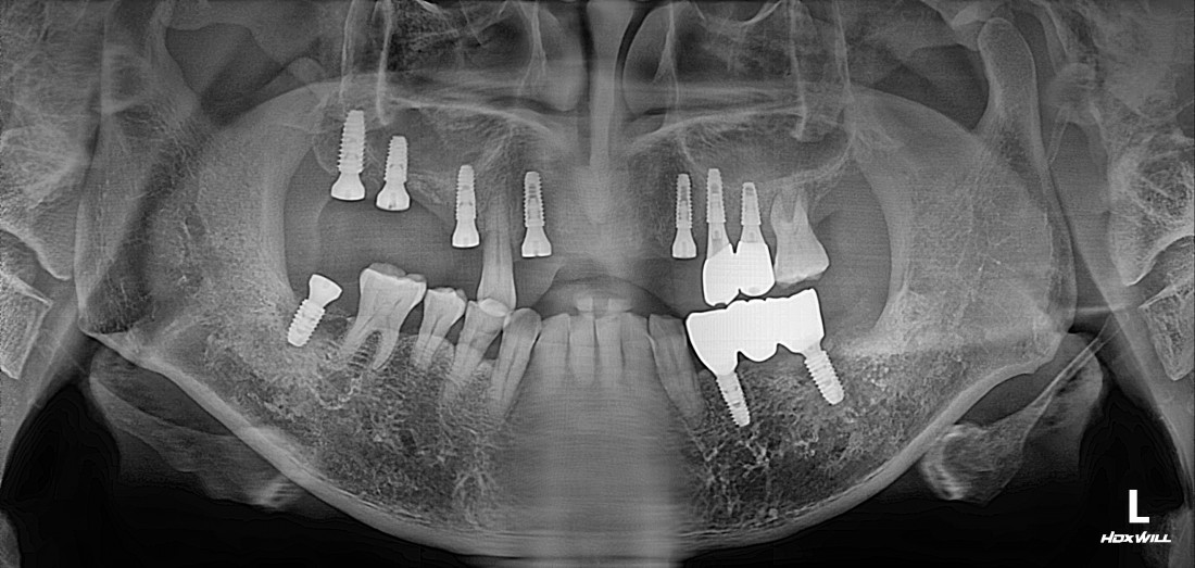
광주 앞니 임플란트,
아직도 오스템만 알고 계시나요?
앞니 임플란트의 성공 비결은
스트라우만 임플란트,
메가젠 블루다이아몬드 임플란트
입니다!
광주 앞니 임플란트 치과에서는
앞니 임플란트 브랜드로
스트라우만이나 메가젠 블루다이아몬드를
많이 추천해드리는데요.
많이 알고계시는 오스템 임플란트와 비교해서
얇은 두께여도 좋은 고정력이 나오기 때문에
앞니 임플란트로 굉장히 적합하기 때문입니다.
광주 앞니임플란트 치과에서
스트라우만 이나 메가젠 블루다이아몬드 로
앞니 임플란트를 진행하면
보통 7일만에 보철물이 올라가며 완성되는데요.
이 일주일 동안 앞니가 없는 채로
일상생활을 해야하는지 많이 걱정하시지만,
발치 후 즉시 임시치아를 부착해드리기 때문에
전혀 문제없이 일상생활을 하시다가
일주일만에 앞니 임플란트 식립을
완성하실 수 있습니다.
![]() | ![]() |
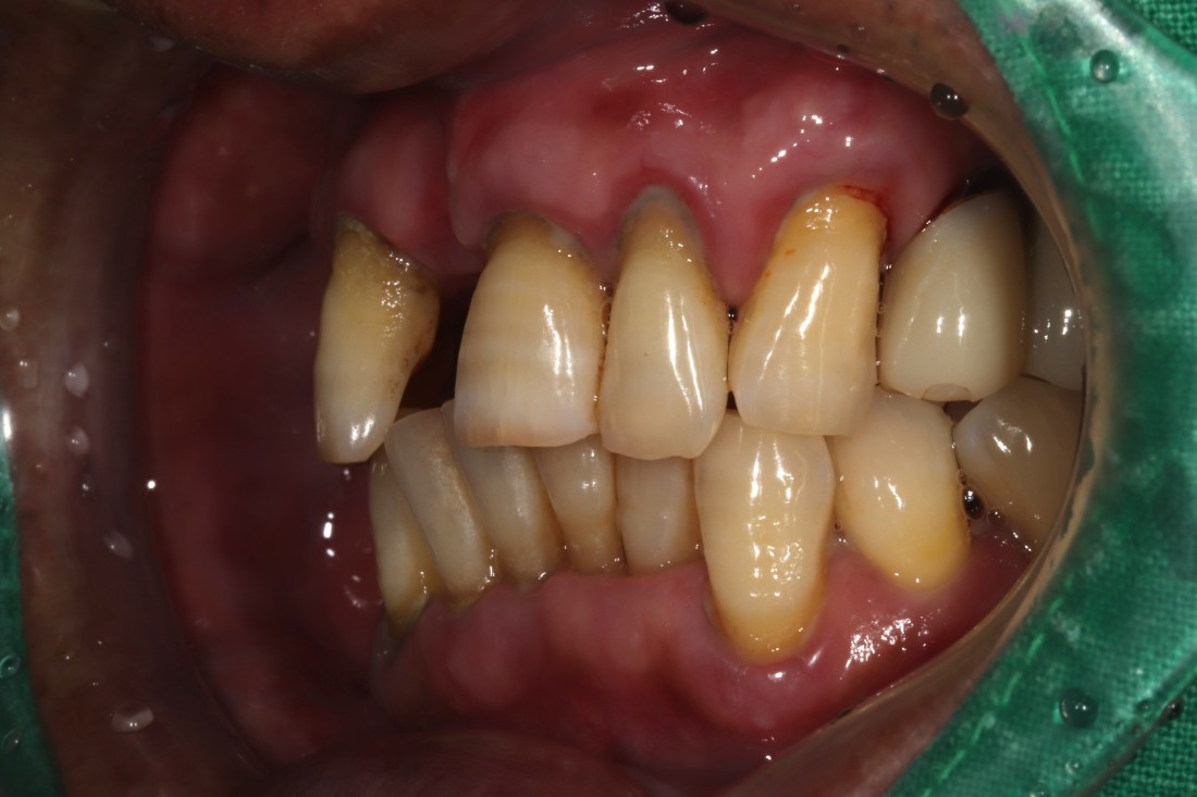
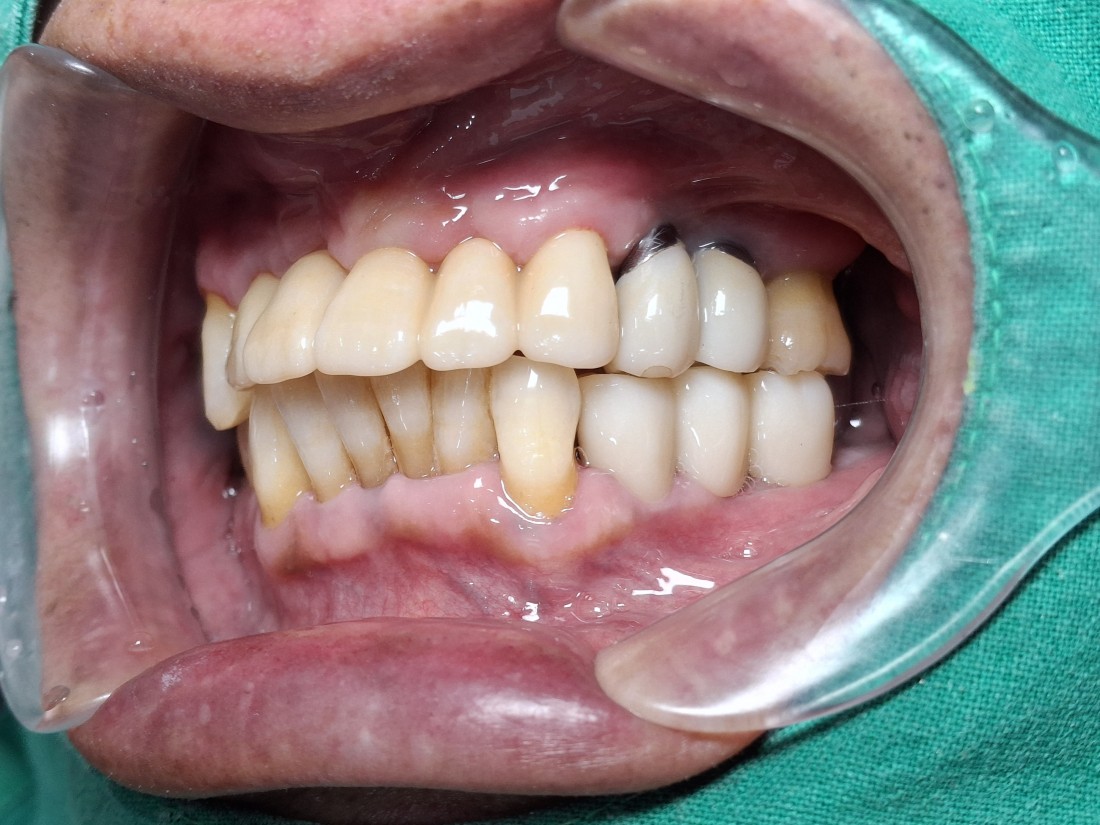
금속재질이 비치는 앞니 임플란트는
이제 작별하세요!
광주 앞니 임플란트 치과에서
화이트어벗을 사용하여
가장 자연스럽게 만듭니다.
또한 광주 앞니임플란트 치과에서는
가장 자연스러운 아름다움을 위하여
앞니 임플란트의 경우 화이트어벗을 사용해
금속 재질이 티나지 않도록
가장 자연치아와 유사하게 시술하고 있습니다.
화이트어벗 및 핑크포세린으로
자연치아와 가장 유사한 색상을 만들며,
튼튼한 고정력과 심미성까지
모두 챙길 수 있는
광주 앞니 임플란트치과입니다.
![]() | ![]() |
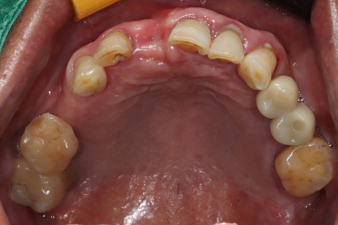
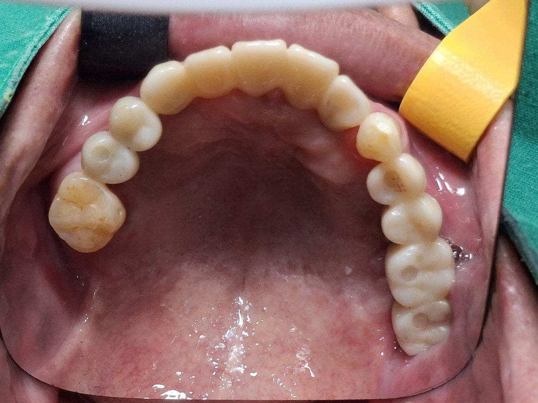
한 번에 8개 이상 식립이 가능한
광주 앞니 임플란트 치과의
디지털 가이드 임플란트로
아프지 않은 임플란트!
광주 앞니 임플란트 치과의
디지털 가이드 임플란트는
잇몸을 무절개 (최소절개)로 하여
임플란트 식립이 가능합니다.
그렇기 때문에 수술시간이 짧으며,
붓기 / 출혈 / 통증이 적어서
회복도 매우 빠르다는 큰 장점이 있습니다.
광주 앞니 임플란트치과의
아프지 않은 / 예쁜 / 잘 씹어지는
앞니 임플란트로
새로운 미소를 되찾아보세요!









