toggle navigation
새로네이트
임플란트
치료전-후
치아교정
홈페이지 바로가기
로그인
회원가입
홈
새로네이트
2026-02-09 10:28:05
|
서울우리아이치과
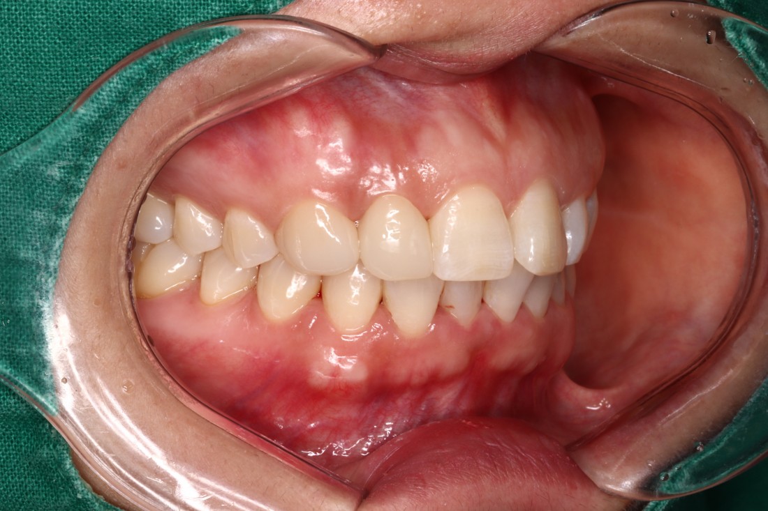
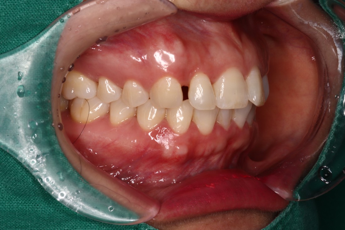
광주 앞니교정 앞니부분교정이나 급속앞니교정을 원할 때는 바로 이 진료를 추천합니다
이전글
광주 치아미백 오스템 뷰티스 전문가 치아미백을 목, 금요일 한정 이벤트가격으로
2026-02-04
다음글
광주 라미네이트 제로네이트 미니쉬 블랙필름과의 차이점은
2026-03-13
목록보기
빠른상담 문의
빠른 상담신청
카카오톡 채널 추가
카톡 상담
네이버 예약
전화예약
062-710-2870
광주광역시 광산구
임방울대로 321, 5층
채팅
예약