안녕하세요~
광주 성인 교정치과
서울우리아이치과
조원빈 대표원장입니다.
광주에서
성인 치아교정과 충치치료
동시에 잘하는 곳 어딘가요?

광주 성인 교정치과는
분과별 전문의 대표원장 5인의
협진 시스템으로 운영됩니다.
치아교정과 전문의 뿐만 아니라,
구강외과 / 구강내과 등
다양한 분과별 전문의 진료가 가능하여
전문의 치아교정과
전문의 충치치료를 동시에 받으실 수 있습니다.
![]() | ![]() |
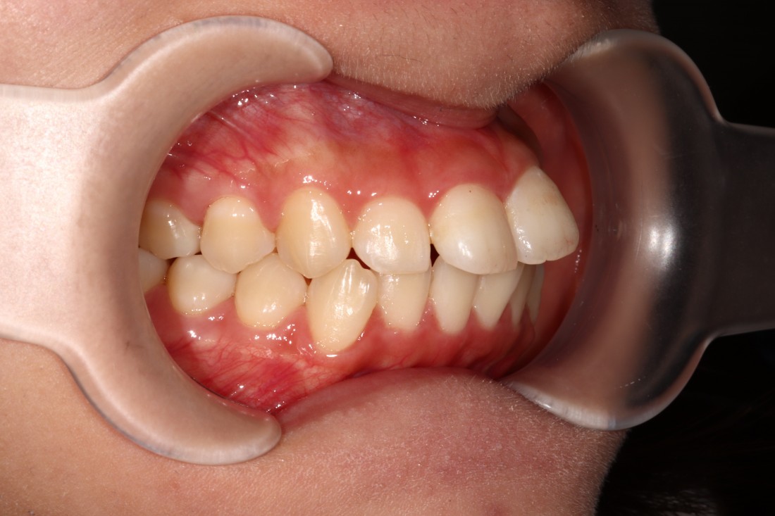
광주 성인 치아교정+충치치료
동시에 진행한 케이스
광주 성인 치아교정 치과에서 상담하실 때
충치치료는 다른 연계 치과에서 받고 오셔야 한다는
안내를 받아보신 적 있으실텐데요.
교정치과와 충치치료 치과를 별개로 다니는 것이
생각보다 불편한 점이 많이 있을 수 있고,
교정 치료 중간에도 구강건강 관리를
꾸준히 잘 해주셔야 하기 때문에
전문의 충치치료와 전문의 치아교정이
동시에 가능한 광주 성인 교정치과를
선택하시는 것을 추천드립니다.
![]() | ![]() |
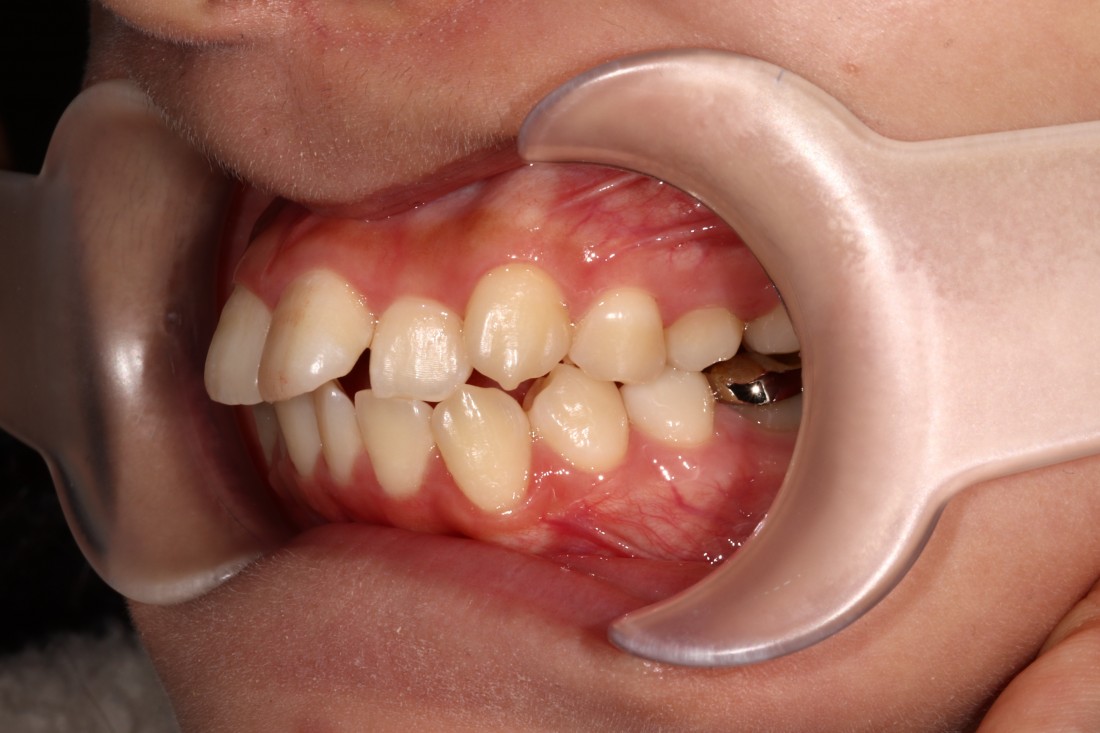
광주 성인 교정치과에서
치아교정 할 때 충치치료는 언제?
광주 성인 교정치과에서 충치치료의 시기에 대해
많이 질문해주시는데요.
크게 세 가지 케이스로 나누어서
충치진료를 시작해야 하는 구간이 있습니다.
1. 교정장치를 부착하는 부위에
충치가 있는 경우는
먼저 충치치료를 합니다.
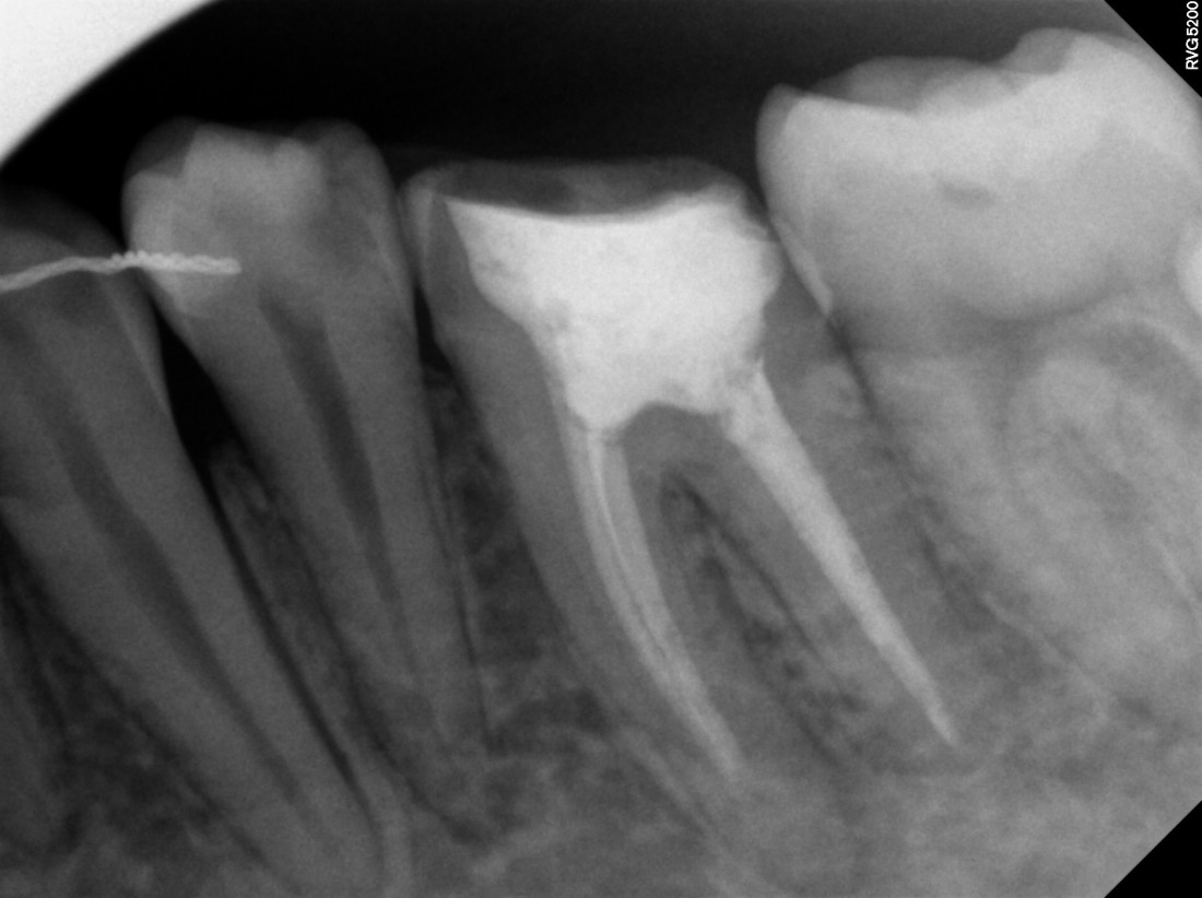
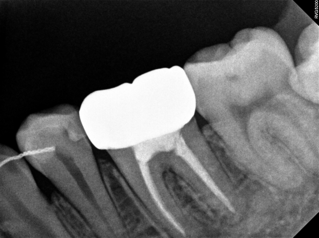
2. 크라운 등 보철물이
필요한 충치치료의 경우
신경치료까지만 진행 뒤,
교정 완료 후
최종 보철물을 제작합니다.
3. 임플란트와 치아교정이
동시에 필요한 경우에는
교정 진료가 끝나기
3~6개월 전 나사를 심고,
최종적으로는
치아교정 마무리와 함께
임플란트 치료도 마무리합니다.
![]() | ![]() |
광주 성인 교정치과는
교정진료 시 추가금액이 없습니다.
광주 성인 교정치과의
교정진료 시 필요한 진료항목들은
교정 전 정밀검사 비용
발치 비용 (필요시)
교정장치 비용
월 진료비용
유지장치 비용
등 크게 다섯가지 정도로
구분해볼 수 있는데요.
이 중 특히 월 진료비용의 경우에는
치아교정 기간이 길어지게 되면
수 십만원으로 늘어나게 되기 때문에
상당한 금액적 부담을 유발합니다.
광주 성인 교정치과는
조선대학교 임상교수 출신으로
20년 넘게 치아교정 진료만을 담당해오신
교정전문의 대표원장님 진료를
추가 금액 없이 모든 비용을 포함한 가격으로
받으실 수 있습니다.
![]() | ![]() |
광주 성인 교정치과의
경험이 실력을 증명합니다.
광주 성인 교정치과의
교정전문의 대표원장님은
다수의 우수논문상 수상 등으로
지금도 후배 교수님들께서
여러 케이스들에 대한 자문을 구하실 정도로
실력을 인정받으신 분입니다.
섬세하고 꼼꼼한 진료로
성인 교정진료에 대한 명확한 목표를 세우고
치료계획을 만들고 있습니다.
![]() | ![]() |
광주 성인 교정치과는
성인 부정교합 개선 케이스를
많이 보유하고 있습니다.
광주 성인 치아교정의 경우에는
단순히 치열이 삐뚠 것을 교정하는 것에서부터
윗니와 아랫니의 물리는 각도를 판단하는
부정교합의 케이스도 개선하는데요.
특히 성인 부정교합의 경우에는
턱 관절의 양상을 잘 파악하여
수술을 동반한 교정진료가 필요한지 여부를
자세히 따지는 것이 매우 중요합니다.
많이 경험해본 의사가
가장 잘합니다.
광주 성인 교정치과의
교정진료 전/후 사진을 게시한
홈페이지 글을 참고하시면
정말 다양한 성인 부정교합 개선 사례를
확인해보실 수 있습니다.
서울우리아이치과의
교정전문의 대표원장님께서는
20년 넘게 치아교정 진료만을
담당해오고 계시기 때문에
간단한 케이스부터 매우 복잡한 케이스까지
다양한 치아교정 진료 경험을 갖춘
실력파 교정전문의입니다.
![]() | ![]() |
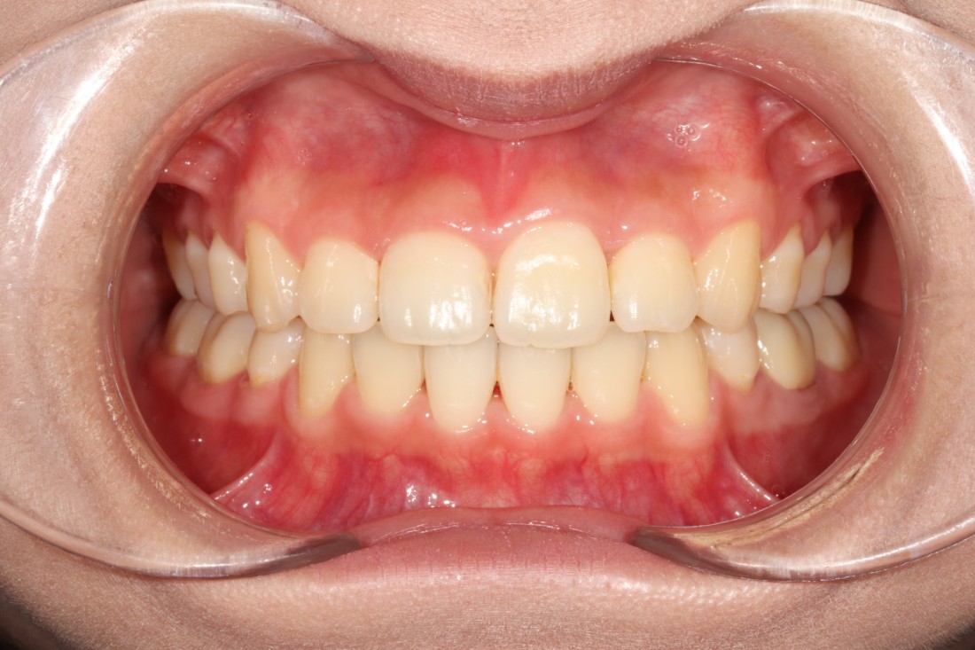
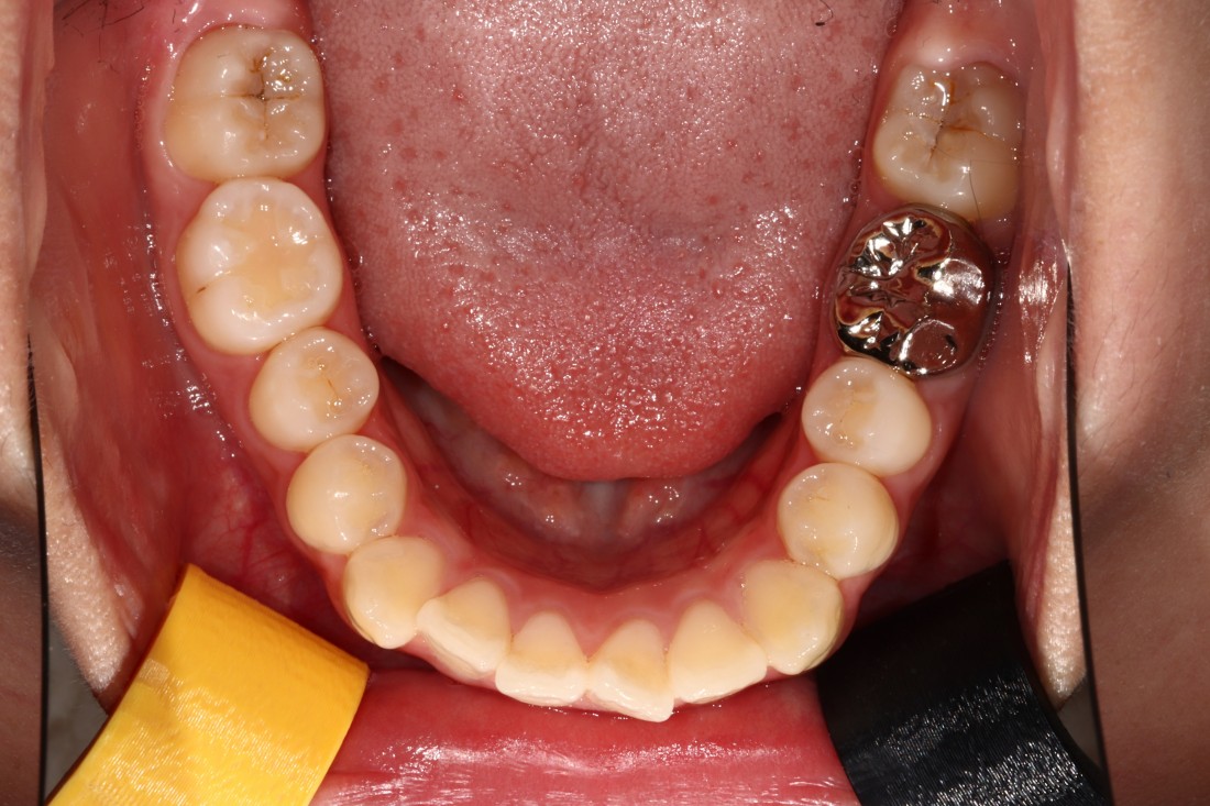
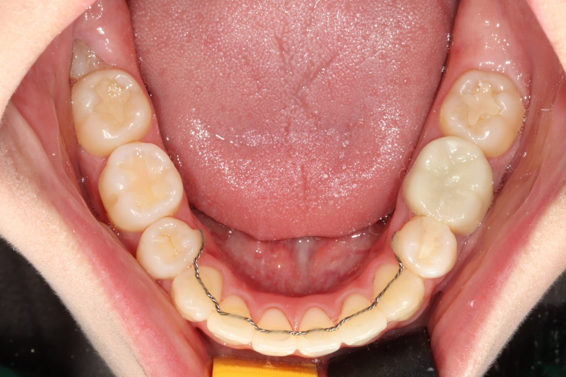
광주 성인 교정치과에서
충치치료와 교정진료를 동시에 받으신
성인 여성 환자분의 케이스입니다.
충치치료 전에는 은색 보철물이 있던 자리에
교정진료의 마무리와 동시에
치아색 보철물을 씌워서
치아교정 + 충치치료를 동시에 진행하였습니다.
광주 성인 치아교정의 경우
충치치료의 시기를 잘 판단하여
성공적인 진료를 완성할 수 있기 때문에
분과별 전문의가 협진하는
광주 성인 교정치과를 선택하시는 것이 좋습니다.











