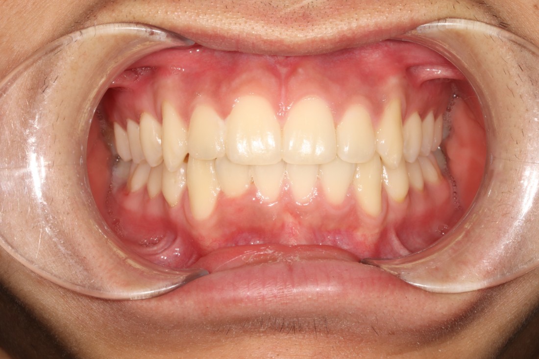
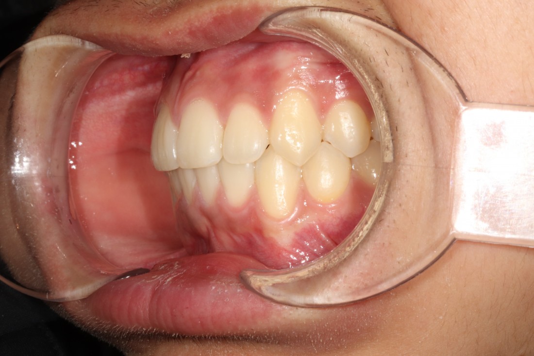
과개교합 이란?
윗니가 아랫니를
과하게 덮는 부정교합으로,
아래치아가 윗니에 가려
거의 보이지 않습니다.

성인 과개교합을 교정하여야 하는 경우는
턱관절 장애, 음식이 씹기 힘들 때, 발음이 힘들 때
등의 다양한 케이스에 해당됩니다.
광주 과개교합 교정 치과에서
20년 이상의 교정 경력을 가지고 있는
교정전문의 대표원장님의 과개교합 교정으로
정상교합으로 교정을 성공적으로
완성할 수 있습니다.

광주 과개교합 교정을 위하여
대학병원급 최첨단 장비를 통한
3차원 105항목 정밀검사를 진행합니다.
다양한 과개교합 교정 전/후 사진은
위의 사진을 클릭하시면 확인하실 수 있으며,
조선대학교 임상교수 출신의
20년 이상 경력을 가진 교정전문의의
검증된 실력을 통하여
성공적인 광주 과개교합을 약속드립니다.
![]() | ![]() |
윗니에 아랫니가 거의 덮여있는
과개교합의 경우에는
턱관절 장애를 유발합니다.
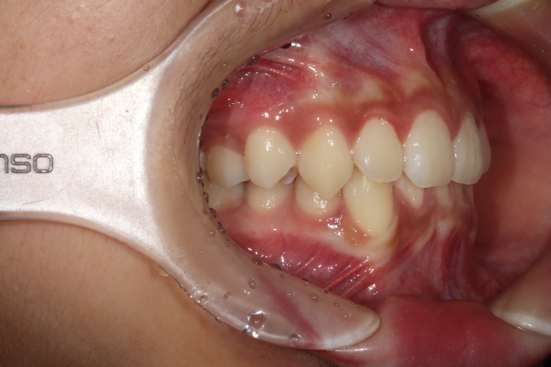
과개교합의 경우에는
윗니가 아랫니를 거의 덮어서
보이지 않을 정도의 부정교합의 종류인데요.
대한교정학회 치료지침 상
유치에서 영구치로 바뀌는
혼합치열기 (만5세~12세)에
부정교합 개선을 빠르게 해주는 것이 권장됩니다.
성인이 된 이후에도
과개교합을 방치하게 되면
앞니가 많이 마모되게 되며,
사각턱이 생길 수 있으며
무엇보다 교합이 맞지 않기 때문에
시간이 지날수록 턱관절장애를 유발하게 되어
빠르게 개선해주는 것이 좋습니다.
![]() | ![]() |
‘’
광주 과개교합 교정
교정전문의 진료부터
구강내과 전문의,
구강외과 전문의까지
분과별 전문의 협진으로
최적의 치료방법을 찾습니다.
광주 과개교합 교정전문의 진료만
필요하다고 생각하신다면,
조금 더 깊이 생각해보셔야합니다.
부정교합은 단순히 치열을 고르게 하는
치열교정과는 다르게
턱관절 건강도 따져보아야하고,
충치치료 등 필요한 진료들이
다양하게 있을 수 있기 때문입니다.
광주 과개교합 교정치과에서는
교정전문의 대표원장님을 비롯하여
구강외과, 구강내과 전문의 등
분과별 전문의 협진 시스템으로
개인별 최적의 치료계획을 완성합니다.
![]() | ![]() |
광주 과개교합 교정
모든 비용을 포함하여
추가 결제 없이
합리적인 교정비용
광주 과개교합 치과에서는
합리적인 교정비용을 위하여
3차원 105항목 정밀검사비용
발치비용 (필요시)
교정장치 비용
월 진료비용
유지장치 비용
등 교정진료에 필요한
모든 비용을 포함한 금액으로
추가금액 결제 없이
합리적인 교정가격으로
실력있는 교정전문의 진료를
받으실 수 있습니다.
![]() | ![]() |
광주 과개교합 교정
얼굴 전체의 밸런스를 고려하는
경험많은 교정전문의 진료로
광주 과개교합 치과에서는
교정 진료만을 담당해오신
20년 이상의 경험많은 교정전문의 진료로
교정치료 중간에 교정전문의가 바뀔 염려 없이
나의 구강구조를 가장 잘 아는 전문의진료로
과개교합을 개선할 수 있습니다.
모든 교정진료실은 1인 룸 진료실로 운영되며,
월요일 야간진료
수요일 야간진료
토요일 오후4시까지
교정전문의 진료를 제공하기 때문에
평일에 시간이 없으시더라도
편하게 야간진료나 토요일 오후진료를 이용하여
광주 과개교합 교정진료를 받으실 수 있습니다.







