안녕하세요~
광주 부정교합 교정치과
서울우리아이치과
조원빈 대표원장입니다.
부정교합 교정치과에서
교정치료 시 중요하게
생각해야하는 요소들은?

광주 부정교합 교정치과에서는
부정교합 개선을 위하여
대학병원급 정밀검사 장비를 갖추고 있습니다.
3차원 105항목 정밀검사를 통하여
어금니, 턱과 관련한 부정교합 양상을 체크하여
개인별로 최적의 치료계획을 세우는 것이
무엇보다도 중요한데요.
광주 부정교합 교정치과
어린이 부정교합의 핵심은
'골든타임 지키기' 입니다.

광주 부정교합 교정치과에서는
어린이부정교합의 경우
가장 중요하게 생각하는 요소가 바로
'골든타임 지키기' 입니다.
부정교합은 턱의 성장과 많은 관련이 있기 때문에,
성장 정도를 잘 파악하여 적절한 교정도구를
선택하는 것이 중요합니다.
특히 광주 부정교합 교정치과에서는
어린이부정교합 개선장치로
프리올소 교정장치를 다빈도로 사용하는데요.

프리올소 교정장치는
일본의 교정전문의가 개발한
1차 소아 교정장치입니다.
마우스피스형으로, 뺐다 꼈다 가능한
탈착식 교정장치이기 때문에
아이들이 적응하는데 수월하고
부피감이 적은 것이 큰 장점입니다.
다만 프리올소 교정장치의 경우
유치에서 영구치로 교환되는 시기인
혼합치열기 (만5세 ~ 12세) 사이에
사용하는 것이 가장 효과가 좋기 때문에
'어린이 부정교합 골든타임'을 잘 지키는 것이
무엇보다 중요합니다.

광주 부정교합 교정치과는
광주 / 전남에서
프리올소 사용량 1위 치과입니다.
광주 부정교합 교정치과는
프리올소 사용량이
광주/ 전남에서 1위 치과입니다.
제가 서울의 아동센터 안의 병원에서
근무할 때부터 꾸준히 사용해오고 있기 때문에
다양한 케이스의 어린이 부정교합 개선 케이스를
보유하고 있습니다.
광주 부정교합 교정치과는
프리올소 교정장치를 사용하여
다양한 소아 부정교합의 개선을 진행하고 있으며,
홈페이지에 교정 전/후 사진을
투명하게 공개하고 있으니 참고하시면 좋습니다.
![]() | ![]() |
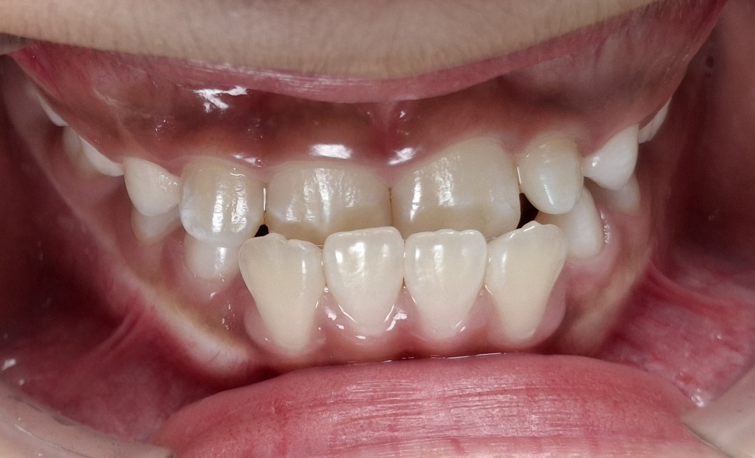
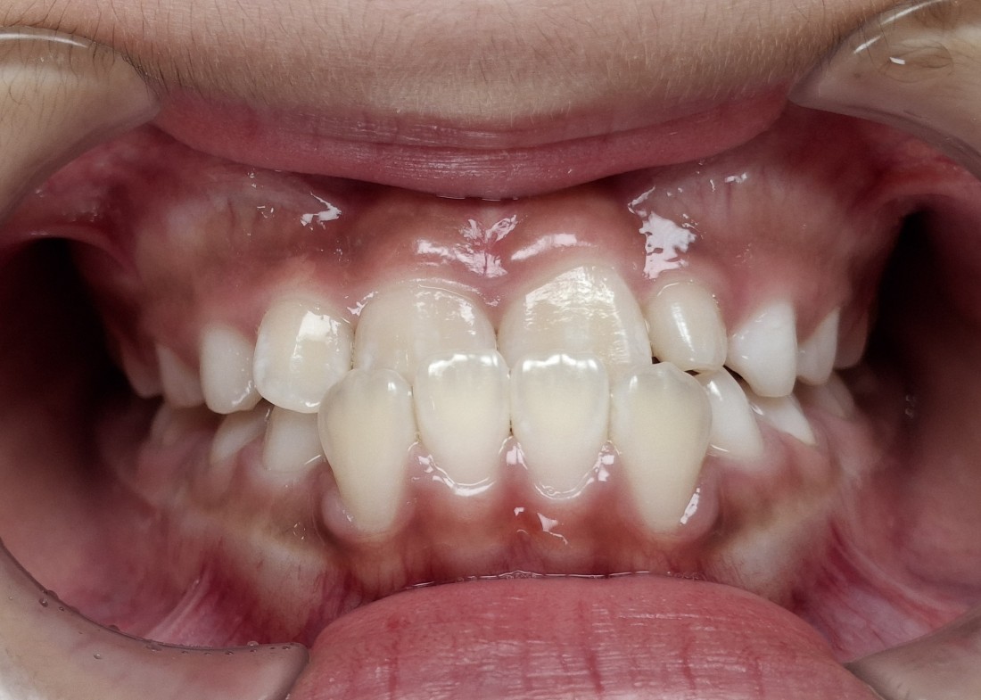
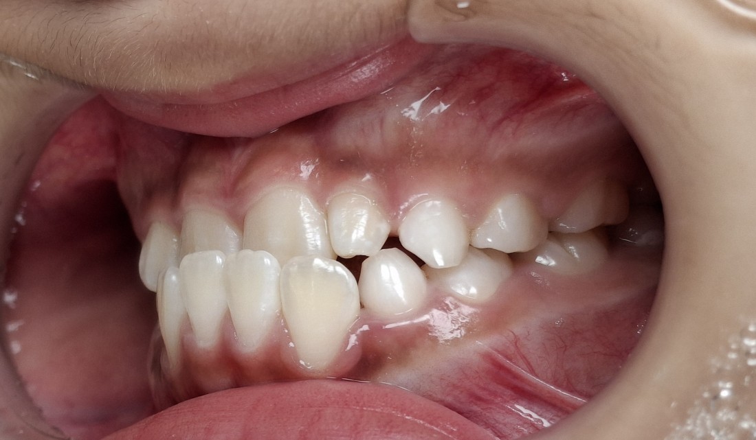
광주 부정교합 교정치과
반대교합 / 과개교합 / 개방교합 등
다양한 부정교합 개선 케이스
광주 부정교합 교정치과를 선택할 때
어떤 기준으로 고르고 계시나요?
무엇보다도 진료하는 전문의의
부정교합 교정 경험이 풍부한지를
꼭 체크해보시는 것을 추천드립니다.
많이 다뤄본 사람이
가장 잘 하는 것이 당연하기 때문입니다.
광주 부정교합 교정치과는
어린이부정교합 교정 케이스를
수 백가지 보유하고 있으며,
투명하게 전/후 사진을 공개하고 있기 때문에
실력면에서 믿고 방문하셔도 좋습니다.
또한, 광주 부정교합 교정치과는
월 진료비를 모두 포함한 금액으로
교정 정기검진 때마다
따로 추가되는 비용이 없습니다.
![]() | ![]() |
광주 부정교합 교정치과는
성인 부정교합 교정 케이스 역시
많이 보유하고 있습니다.
그렇다면 광주 부정교합 교정치과 중
성인 부정교합을 위해서
고려해야 하는 요소들은 무엇일까요?
성인 부정교합의 경우에는
어린이부정교합의 경우와는 다르게
수술이 필요한 케이스들도 존재하게 됩니다.
그렇기 때문에 광주 부정교합 교정치과에서
수술을 동반하지 않을 때의
교정진료 결과를 정확하게 예측하여
꼭 필요한 진료계획을 세우는 것이
무엇보다 중요하다고 할 수 있습니다.
![]() | ![]() |
광주 부정교합 교정치과의
교정전문의 대표원장님은
지난 20년 넘게 교정진료만을 담당해오신
조선대학교 임상교수 출신의 교정전문의 입니다.
지금도 후배 교수님들이 자문을 구하실 정도로
교정 실력을 믿고 맡기실 수 있으며,
따라올 수 없는 섬세하고 꼼꼼한 교정진료로
최상의 치료결과를 기대할 수 있습니다.
광주 부정교합 교정치과는
교정 전 정밀검사비용
교정장치 비용
발치비용
월 진료비용
유지장치 비용
등 다양한 항목의 교정진료 금액을
모두 포함한 비용으로
합리적인 교정진료를 제공합니다.
치아 이동속도에 따라서
예상하는 교정기간 보다
더 길어질 수 있기 때문에,
월 5만원 정도의 정기진료 비용이
수 십만원의 비용부담으로
다가오게 될 수 있기 때문입니다.






