실제로 경험많은 교정전문의의
얼굴 전체 밸런스를 고려하는
광주치아교정은 인상을 바꾸어서
호감가는 첫인상을 결정하는데
중요한 역할을 합니다.
광주치아교정 교정전문의 진료로
삐뚠 치열을 개선하고
앞으로 뻗친 앞니를
발치교정으로 해소한 사례들을
함께 소개해드리겠습니다.

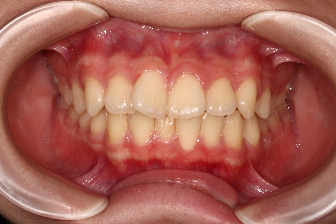
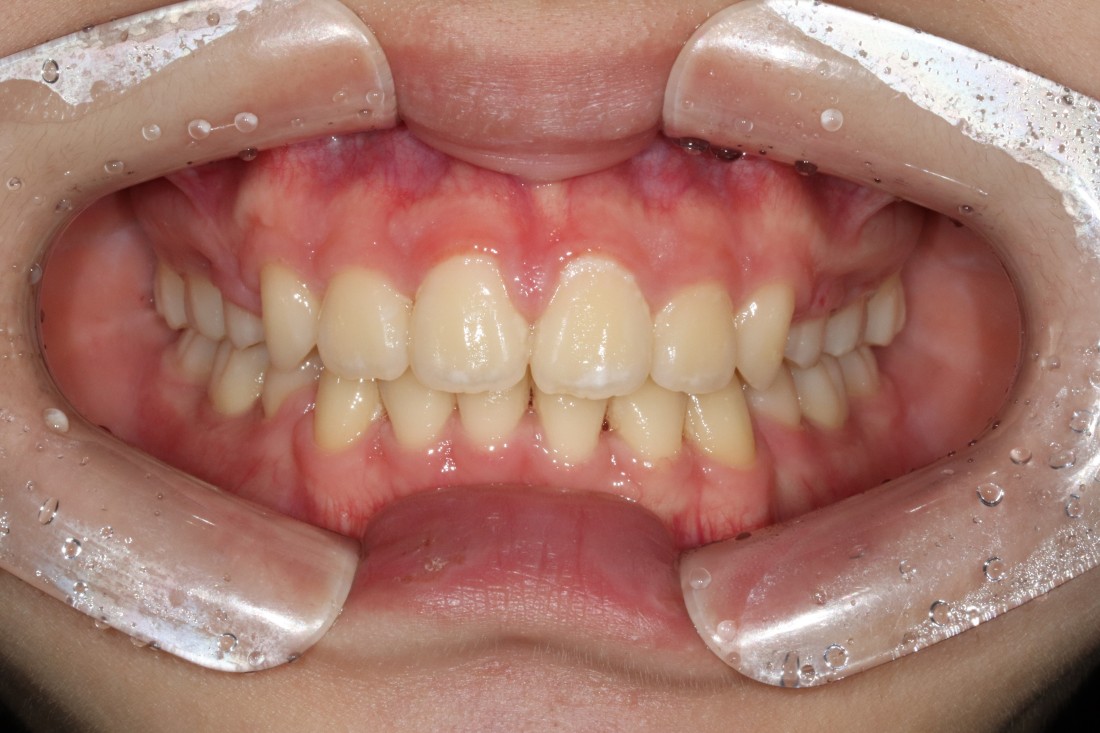
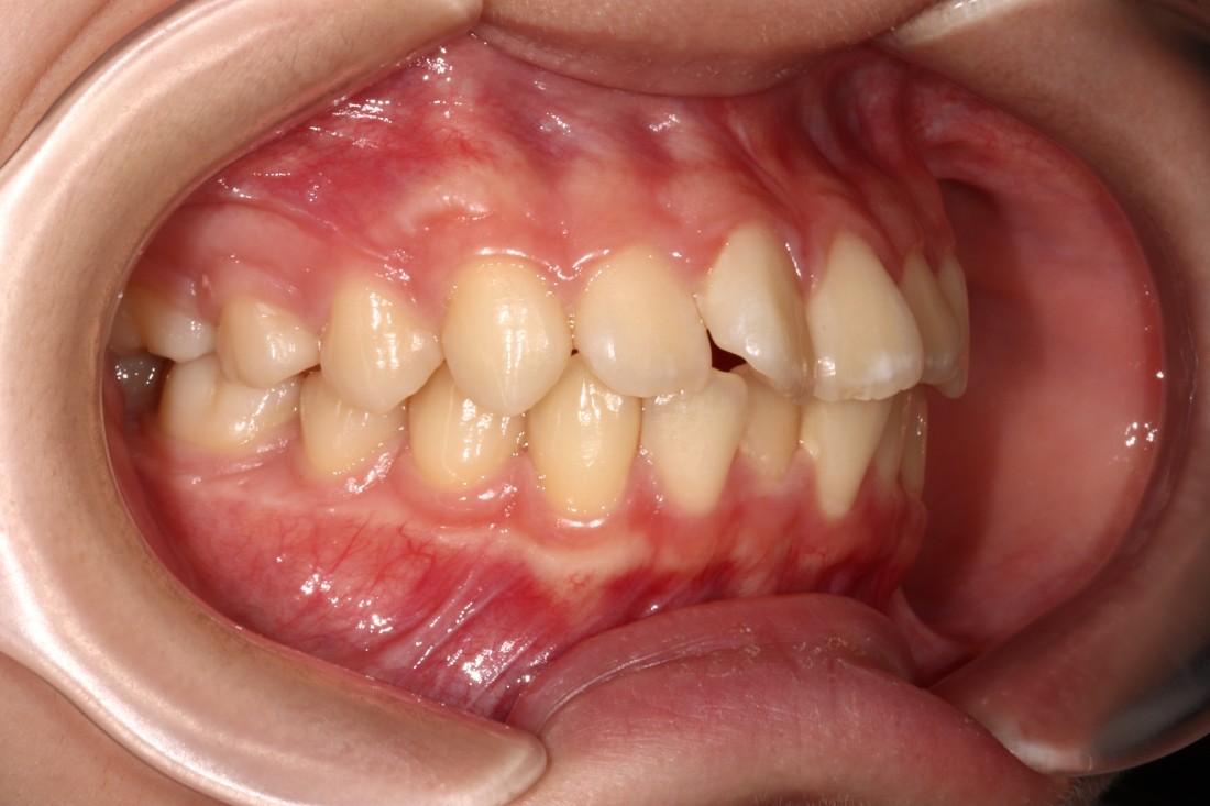
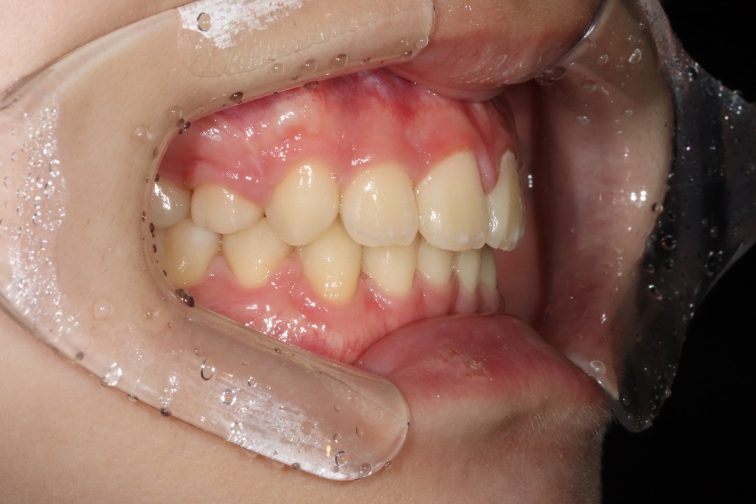
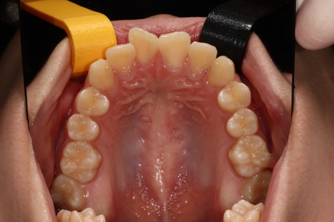
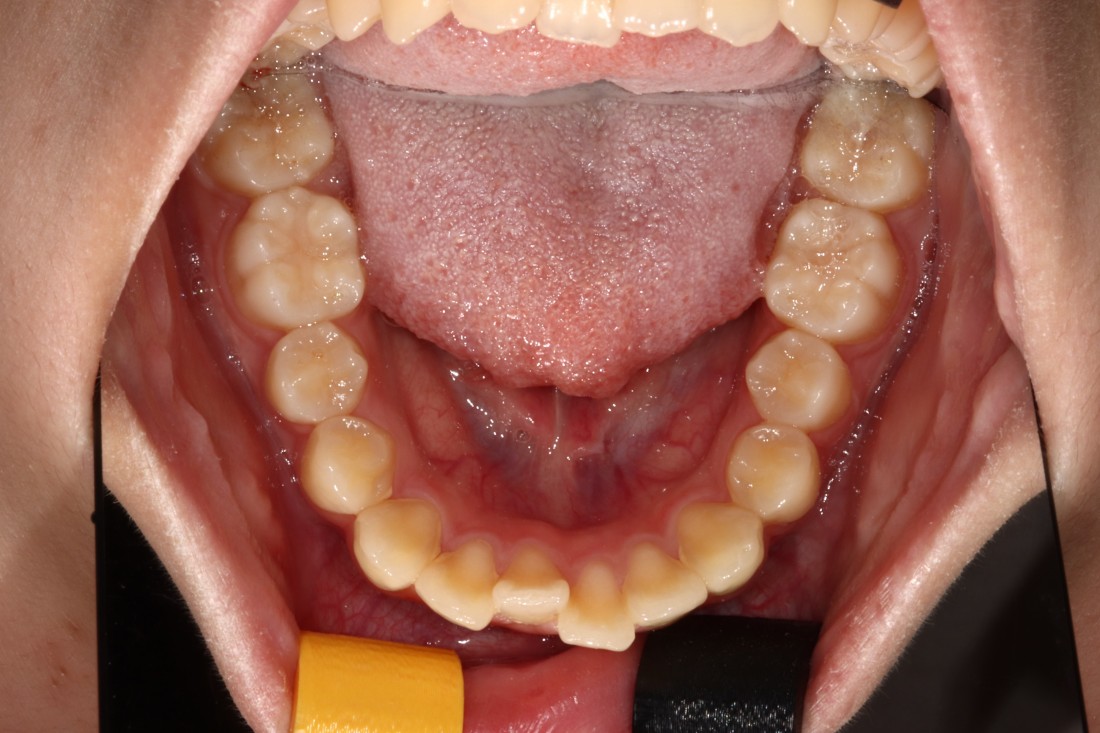
앞니가 돌출되면서 입술도 튀어나와서
돌출형 입매를 가지고 있는 케이스를
발치교정을 통하여 고른 치열로
완성한 사례입니다.
광주치아교정 교정전문의 치과에서는
대학병원급 최첨단 정밀기기 검사로
3차원 105항목 교정 전 검사를 통해
개인별로 최적의 치료계획을
세우고 있는데요.
20년 넘게 치아교정 진료만을
담당해오고 계신
교정전문의 대표원장님의
세심하고 꼼꼼한 교정진료로
우수한 교정 결과를 만들어냅니다.
![]() | ![]() |
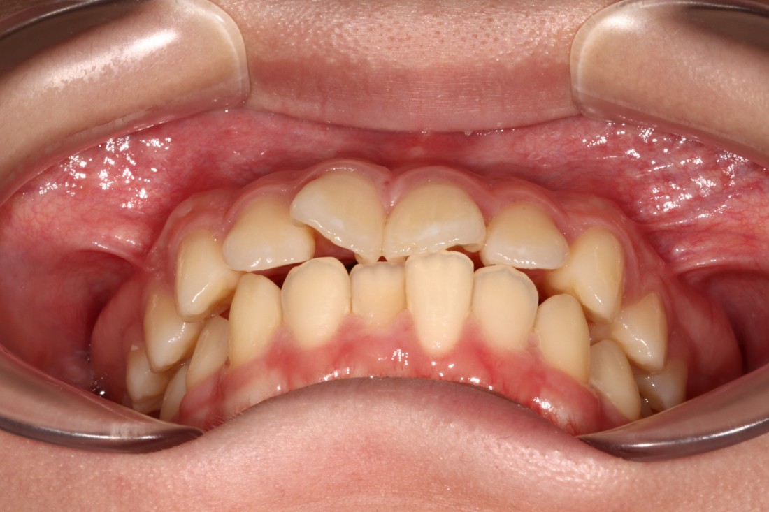
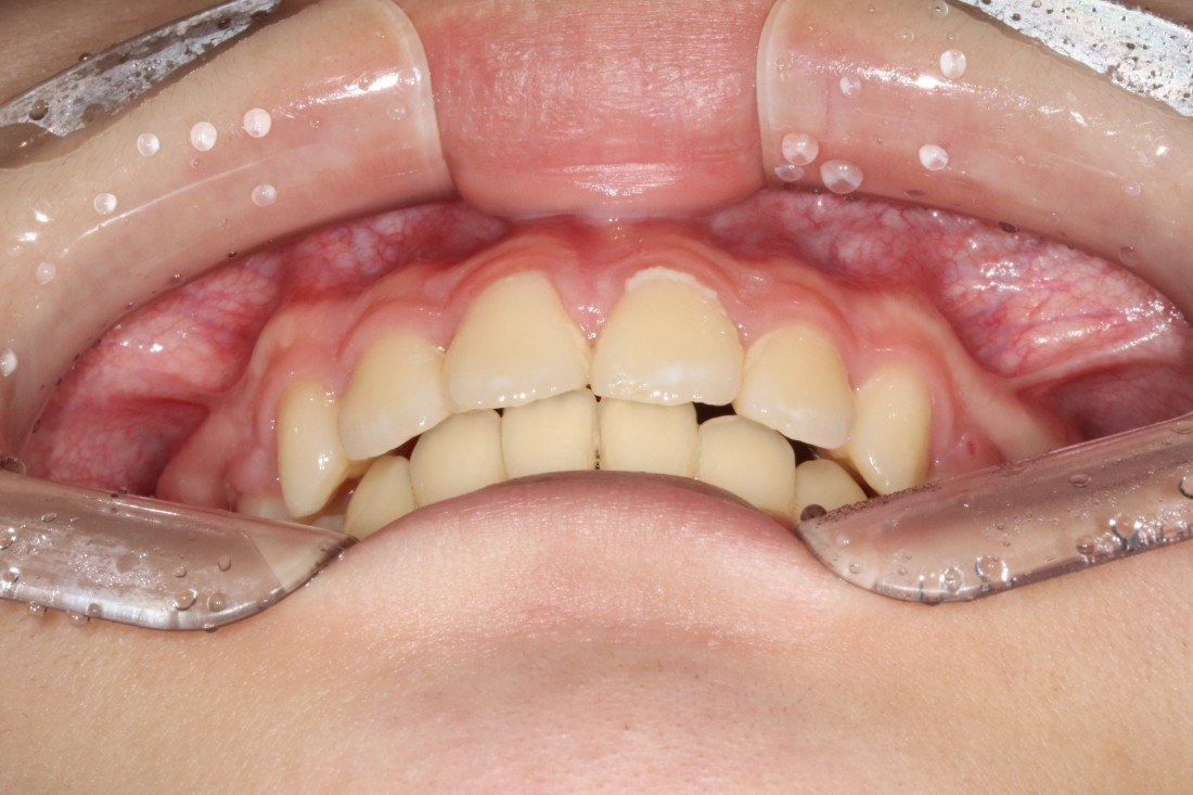
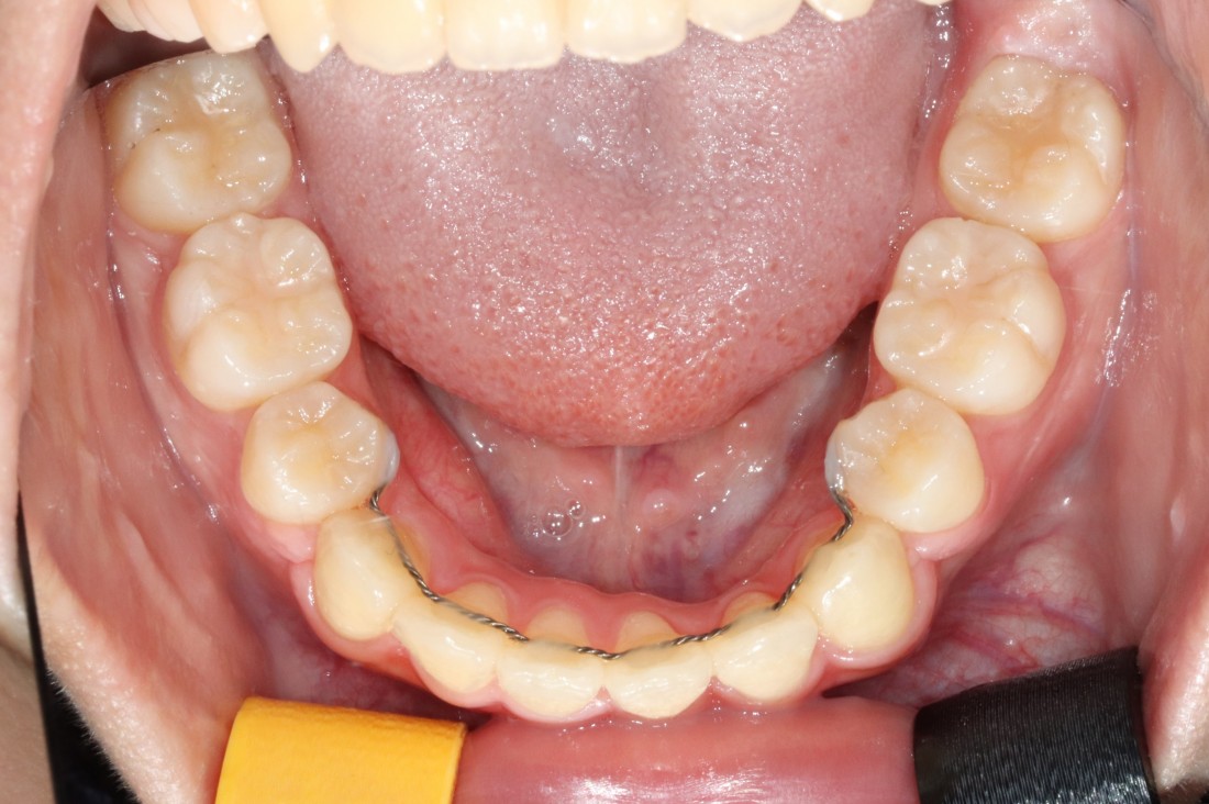
광주치아교정을 고려할 때는
덧니 때문에 고민이신 분들도
많이 방문하시는데요.
치아를 발치하지 않는 비발치교정,
발치하는 발치교정의 여부는
정밀검사 후에 교정전문의 원장님과
오랜 상담 후 결정하게 됩니다.
개인별로 구강구조와 치아상태가
모두 다르기 때문에
경험많은 교정전문의와의 상담을 통해
나에게 맞는 최적의 치료계획을
세우시는 것을 추천드립니다.
![]() | ![]() |
광주치아교정 치과에서는
분과별 전문의 대표원장 5인의
협진시스템을 이용하여
교정전문의 치아교정,
전문의 충치치료,
구강외과 전문의 임플란트,
구강내과 전문의 턱관절 진료,
전문의 라미네이트 진료까지
개인별로 최상의 치료계획을 통해
최고 효율의 광주치아교정을
약속드립니다.
![]() | ![]() |
광주치아교정 치과를 선택할 때는
무엇보다도 교정전문의 실력이
입증된 교정치과인지를 확인하셔야 하는데요.
교정치료는 1년~2년 사이의
오랜 기간이 소요되는 과정인만큼,
치료 중간에 교정전문의가 바뀔 염려 없는
교정치과를 선택하는 것도 중요합니다.
광주치아교정 교정전문의치과는
조선대학교 임상교수 출신으로
교정진료만을 20년 넘게 진료해오고 계신
교정전문의 대표원장님 진료로
성공적인 치아교정을 약속드립니다.
![]() | ![]() |
광주치아교정 진료에는
다양한 진료비 항목이 있는데요.
교정 전 정밀검사 /
발치비용 /
교정장치 (클리피씨) 비용 /
월 진료비용 /
교정 후 유지장치 비용 등
다양한 항목에서 비용이 발생할 수 있습니다.
광주치아교정치과에서는
치아교정 진료에 필요한
모든 비용을 포함한 금액으로
합리적인 교정가격의 시대를 열어갑니다.
월 진료비도 부담스럽지 않으시도록,
교정진료에 관련한 추가비용 없이
편하게 광주치아교정 받으실 수 있습니다.
![]() | ![]() |
광주치아교정 치과에서는
다양한 교정케이스를 공유하여
믿을 수 있는 교정진료를 약속드립니다.
200 케이스가 넘는 교정사례로
교정전문의 대표원장님의 실력 또한
확인하실 수 있으며,
나의 구강구조와 비슷한 사람의 경우
교정 후에 어떻게 변화할 수 있는지
확인해보실 수 있습니다.
![]() | ![]() |











