안녕하세요~
광주 발치교정 치과
서울우리아이치과
조원빈 대표원장입니다.
교정할 때
발치가 꼭 필요한가요?
비발치로 하는 경우는
어떤 경우인가요?

많은 분들이 교정진료 시에
발치교정이 꼭 필요한 경우는
언제인지 질문해주시는데요.
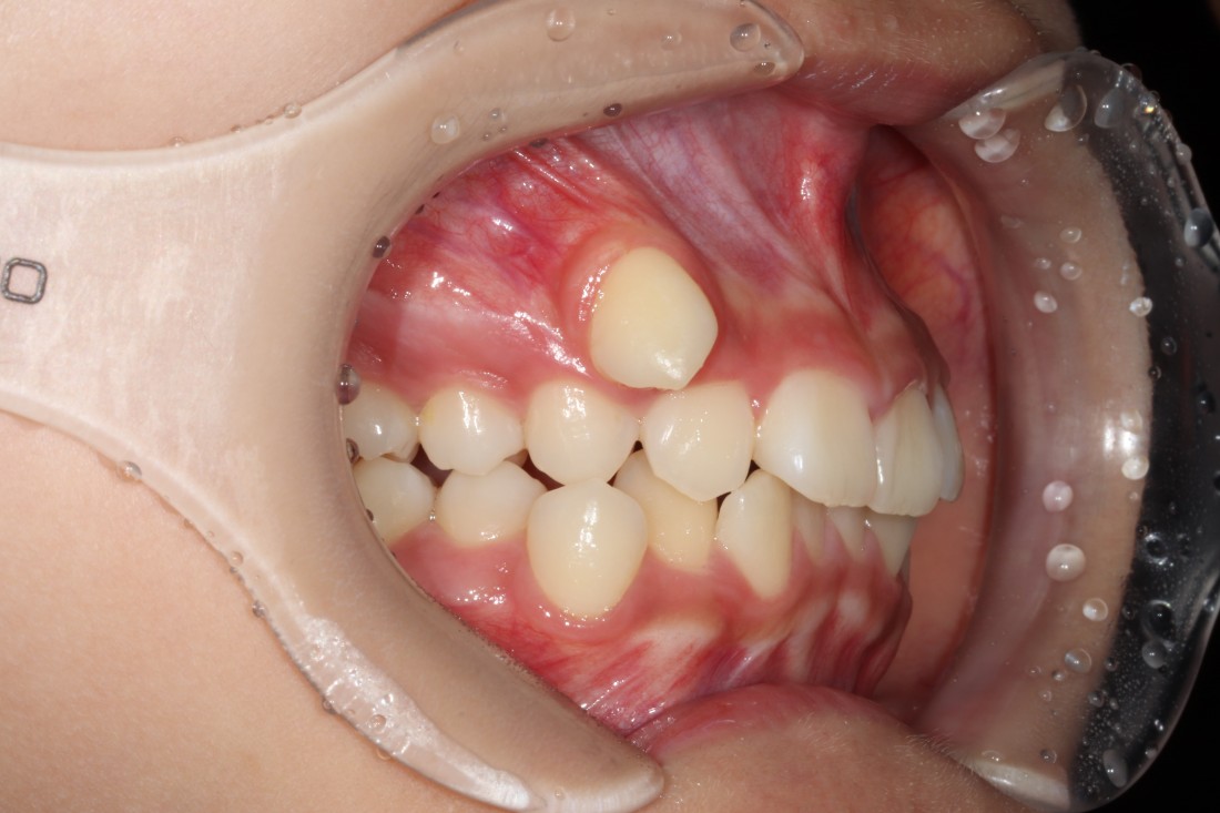
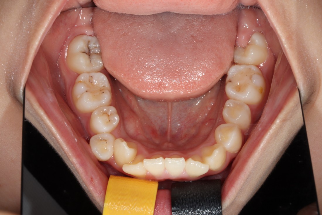
일반적으로 치아가 이동할 공간이
부족할 경우에 발치교정을 하게 됩니다.
발치 교정이 꼭 필요한 경우인데도
발치를 하지 않고 치아교정을 하게 되면
오히려 공간이 부족해 앞니가 더 튀어나오게 되고
입이 돌출입처럼 바뀌게 됩니다.
광주 발치교정 치과
20년 교정전문의 노하우로
광주 발치교정 치과의
교정전문의 대표원장님은
조선대학교 교정과 임상교수 출신으로
20년 넘게 교정진료만을 담당해오고 계신
실력을 인정받은 교정전문의입니다.
광주 발치교정 치과에는
대학병원급 최첨단 장비가 준비되어 있으며
3차원 105항목 교정 전 정밀검사를 통하여
개인별로 최적의 치료계획을 세우고 있습니다.
![]() | ![]() |
광주 발치교정 치과는
모든 비용을 포함한 금액으로,
전문의 치아발치도
모두 동시에 진료합니다.
간혹 광주 발치교정이 필요한 경우에
교정치과 따로, 발치 치과 따로
방문해야 하는 교정치과도 있는데요.
서울우리아이치과는
보건복지부 인증을 받은
분과별 전문의 5인 대표원장의 협진으로
전문의 치아교정부터
전문의 발치까지 모두 한 곳에서
편하게 진료받으실 수 있습니다.
![]() | ![]() |
광주 발치교정치과
발치비용을 포함하여
모든 금액을 포함한
합리적인 교정가격으로
광주 발치교정 치과는
치아교정에 필요한 모든 비용을 포함하여
추가금액 없이 발치교정을 진행합니다.
교정 전 정밀검사 비용
발치비용
교정장치 비용
월 진료비용
유지장치 비용
등 다양한 항목의 교정진료 비용을
모두 포함한 금액으로
합리적인 교정가격으로
발치교정을 진료받으실 수 있습니다.
![]() | ![]() |
광주 발치교정 비용이 궁금하다면?
광주 발치교정 비용이 궁금하시다면
위의 사진을 눌러주세요.
모든 비용을 포함하여
추가비용이 들지 않는
광주 발치교정 치과에서
성공적인 발치교정을 약속드립니다.
![]() | ![]() |
광주 발치교정,
발치도 전문의에게 맡기세요!
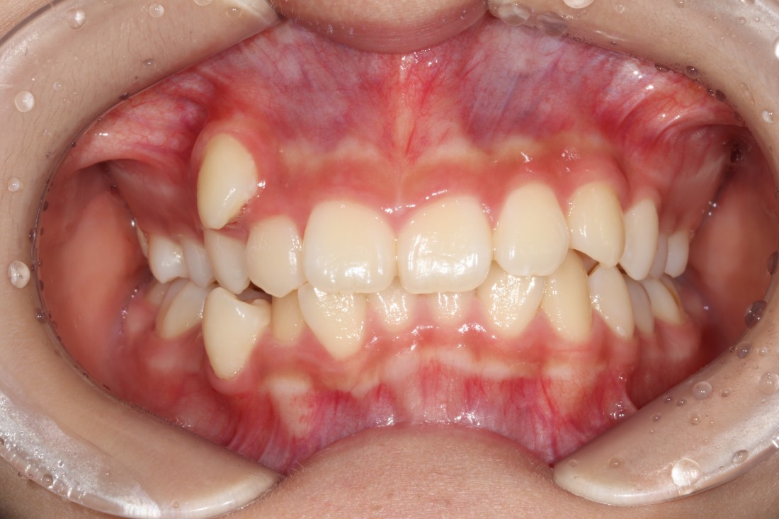
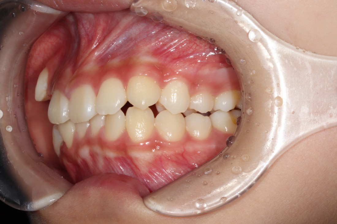
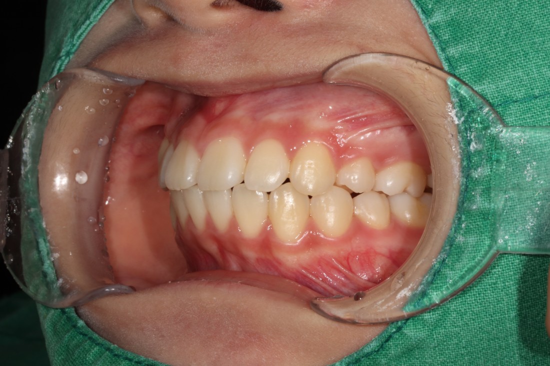
광주 발치교정이 필요한 대표적인 케이스는
돌출입의 경우인데요.
위, 아래 입술이 튀어나와 있거나
웃을 때 잇몸이 많이 보이는 경우,
혹은 입을 다물었을 때
턱에 힘이 많이 들어간다면
돌출입을 의심해볼 수 있습니다.
이런 경우에도 치아가 전체적으로
앞쪽으로 위치해서 입술을 밀어내고 있기 때문에
공간을 확보하기 위하여
광주 발치교정을 진행하는 케이스입니다.
![]() | ![]() |
수많은 발치교정 케이스를 보유한
광주 발치교정 치과를 믿으세요
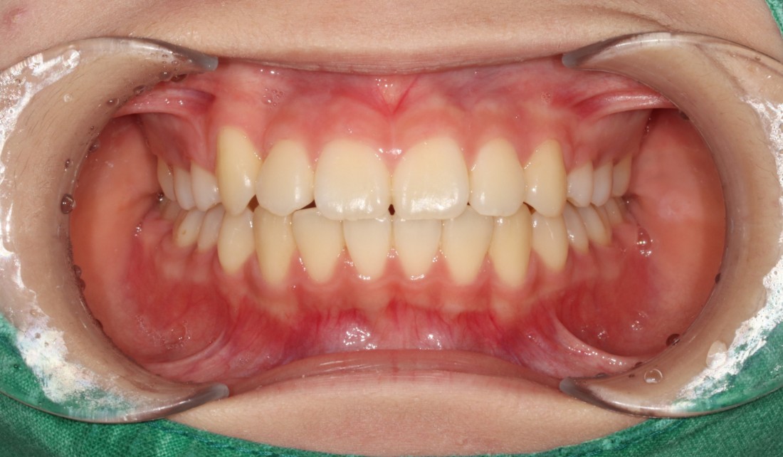
비발치교정만이 무조건 좋은 것이라고
생각하시는 분들이 있을 수 있지만,
발치교정이 필요한 경우에
비발치교정으로 교정하는 경우
치열이 가지런해져도 치아가 돌출되거나
치아 뿌리가 턱뼈 밖으로 밀려나가는 등
다양한 부작용 케이스가 있기 때문에
각 개인별로 최적의 치료계획을 세우는 것이
광주 발치교정 치과의
성공적인 발치교정 노하우입니다.
오직 단 한 분만을 위해 준비된
광주 발치교정 치과의
VIP 1인 룸 진료실에서
광주 발치교정 치과는
4층 VIP 교정진료실을
운영하고 있습니다.
오직 단 한 분만을 위해 준비된
1인 룸 교정진료실에서
교정진료만을 담당하는
교정전담 의료진의 세심한 케어로
성공적인 광주 발치교정을 약속드립니다.
![]() | ![]() |
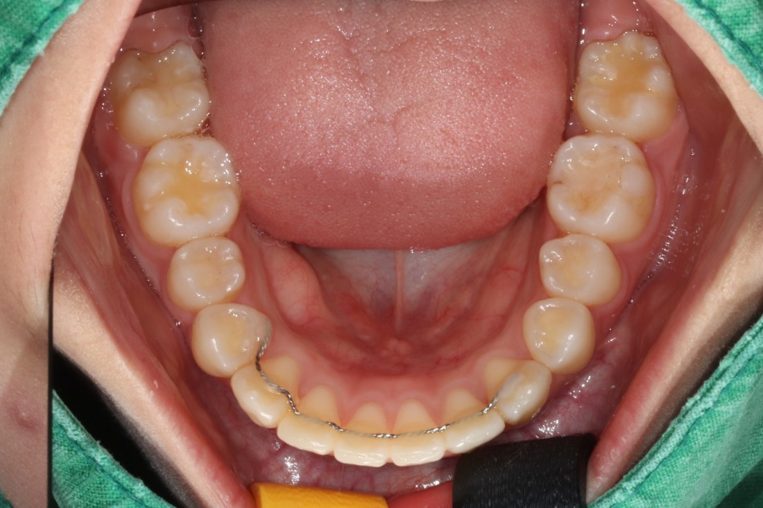
발치교정은 환자의 얼굴 균형을
맞추는 것이 핵심입니다.
잇몸이나 턱뼈 문제로
치아발치가 필요한 경우도 있기 때문에
발치교정의 핵심은
바로 '교정전문의의 실력' 이라고 할 수 있습니다.
많은 케이스를 다뤄본 의사가
가장 잘 하는 의사가 될 수 밖에 없기에
20년 넘는 교정진료 경험을 가진
광주 발치교정 치과의 교정전문의 진료로
믿을 수 있는 발치교정을 완성합니다.
구강내과, 구강외과, 교정과
분과별 전문의 협진으로
턱 뼈 건강까지 책임지는
광주 발치교정 치과
광주 발치교정 치과에서는
구강내과, 구강외과, 교정과 전문의 협진으로
발치교정을 진행하게 됩니다.
얼굴 균형, 입술 위치, 턱뼈 상태,
잇몸 건강, 안정적인 교합까지
광주 발치교정 치과의 진료 노하우로
성공적인 발치교정을 진행합니다.











