라미네이트는 치아 표면에
얇은 막을 씌우는 진료라고
생각하시면 편한데요.
얇은 막의 소재는 도자기 같은
리튬디실리케이트 재료를 사용하기 때문에
잘 깨지지 않고,
반영구적으로 하얀 색상을 유지할 수 있습니다.
광주 무삭제 라미네이트는
치아 삭제량을 최소화하여
치아시림 부작용을 줄였기 때문에
과거 라미네이트 진료와는
완전히 다른 새로운 라미네이트 시대를
열어가고 있습니다.

우리가 스티커를 붙일 때
울퉁불퉁한 시멘트 같은 곳에 붙이면
금방 떨어지게 될텐데요.
매끄러운 곳에 스티커를 들뜨지 않게
잘 부착시키면 떼어내려고 애를 써도
잘 떨어지지 않을 정도로
잘 붙게 됩니다.
광주 무삭제 라미네이트 역시
이런 비슷한 원리를 생각하시면 되는데요.
아예 치아삭제량을 없애는 무삭제로
진행할 수도 있지만,
치아표면을 매끄럽게 다듬는 과정이
꼭 필요하면서도 중요한 과정이기 때문에
무삭제 혹은 최소삭제 라미네이트라는
표현을 사용하고 있습니다.
![]() | ![]() |
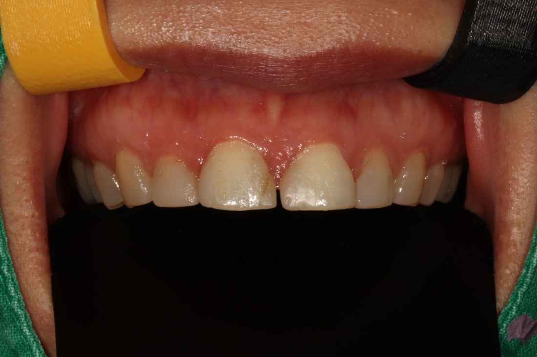
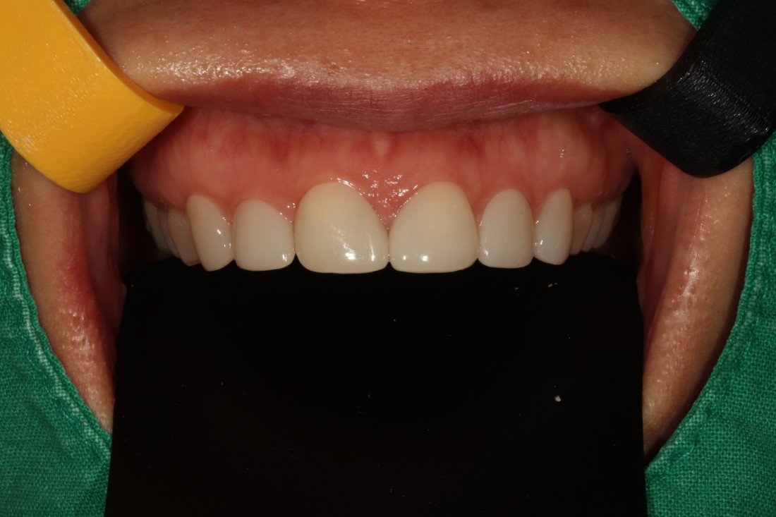
가끔 방송에 출연한 연예인 분들 중에
라미네이트가 굉장히 뭉툭하고
두껍게 제작된 분들이 보이는데요.
과거에는 치아 삭제량을 많이 해서
자연치아를 거의 남기지 않을 정도의
치아삭제가 이루어지기도 했습니다.
그러나 광주 무삭제 라미네이트는
치아삭제량을 최소화하고
미세가공법을 이용하여
0.2mm 머리카락 두께만큼 얇게
새로네이트를 제작하고 있기 때문에
자연치아같은 '자연스러운 아름다움'을
추구할 수 있습니다.
![]() | ![]() |
광주 무삭제 라미네이트를 검색하면
굉장히 다양한 라미네이트 치과가
검색됩니다.
그렇지만 실제로 라미네이트 전/후 사례를
200케이스 가까이 공유하는
라미네이트 치과를 찾기는
쉽지 않은데요.
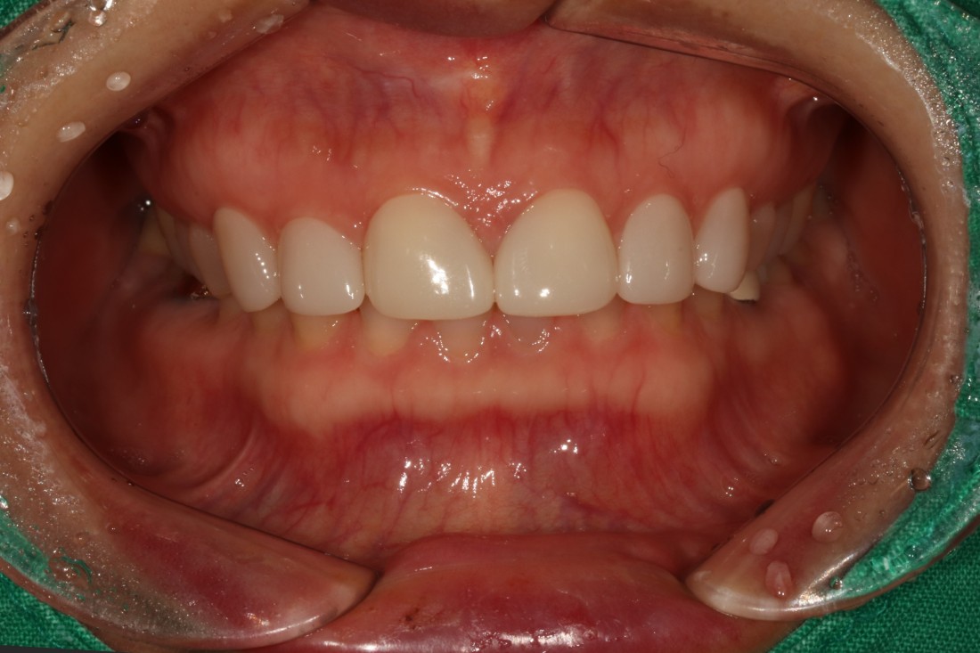
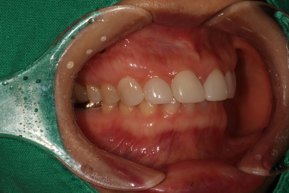
광주 무삭제 라미네이트 치과는
벌어진 앞니 / 깨진 앞니 /
얼룩덜룩한 앞니 / 왜소치 등
다양한 사례의 라미네이트 전-후 사진을
투명하게 공개하고 있습니다.
![]() | ![]() |
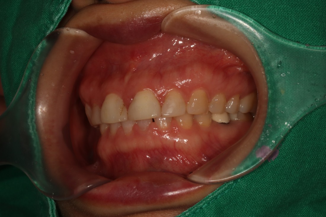
대표원장이 직접 전/후 사진을
비교하며 포스팅 해오고 있는
광주 무삭제 라미네이트
실제 사례는 위의 링크를
클릭하시면 보실 수 있습니다.
압도적인 실제 사례 케이스 건수로
증명하는 광주 무삭제 라미네이트 치과의
실력입니다.
![]() | ![]() |
광주 라미네이트 치과 중에서
라미네이트 관련 강의를 하시면서
서울 강남 의료진이 직접 진료하는
라미네이트치과는 오직
서울우리아이치과의 새로네이트 뿐입니다.
서울 강남까지 가지 않으셔도
서울 의료진의 기술과 실력 그대로
광주광역시 라미네이트 치과에서
받아보실 수 있습니다.
![]() | ![]() |
미니쉬, 제로네이트, 블랙필름 등
다양한 앞니 컴플렉스 해결방법이
존재하는데요.
시술하는 원장의 직급에 따라
가격이 다르기 때문에
대표원장 급으로 진료를 원하시는 경우
상당히 부담스러운 금액이 되기도 합니다.
그러나 광주 무삭제 라미네이트 치과는
모든 라미네이트 진료를
전문의 고석호 대표원장님께서
상담부터 디자인 및 시술 후 관리까지
1:1 맞춤 진료로 진행하고 있기 때문에
가격이 달라질 일 없이 합리적으로
라미네이트 진료를 받으실 수 있습니다.









