안녕하세요~
광주 무삭제 라미네이트
서울우리아이치과
조원빈 대표원장입니다.
치아 삭제량을 최소화하는
광주 무삭제 라미네이트의 비결은?

광주 무삭제 라미네이트 치과의
무삭제(최소삭제) 라미네이트인
새로네이트는 10년 이상의 경험으로
서울 강남에서 라미네이트 진료만을
담당해오고 계신 전문의 고석호 대표원장님과
서울우리아이치과가 오랜 시간 연구 끝에 개발한
개개인 맞춤 라미네이트입니다.
모든 과정을 서울의 유명한 전문 기공소에서
100% 수작업으로 제작하기 때문에
부자연스럽지 않고, 치아삭제량도 최소화합니다.
치아 삭제량을 최소화하고
치아시림을 방지한
광주 무삭제 라미네이트
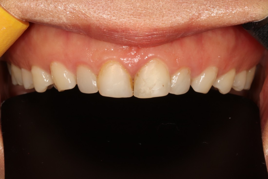
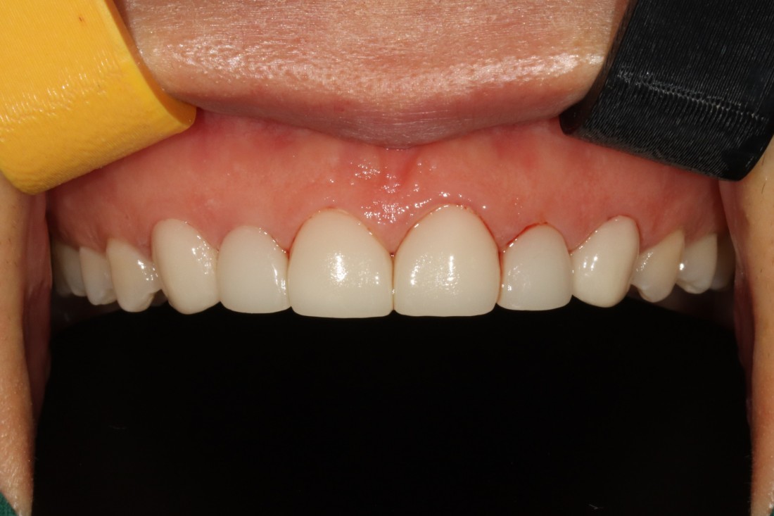
![]() | ![]() |
광주 무삭제 라미네이트를
관심있게 찾아보신 분들은
아마 라미네이트가 치아삭제량이 많아서
치아시림 등의 부작용이 많다는
인식이 있으실텐데요.
그러나 광주 무삭제 라미네이트는
무조건 깎지 않는 라미네이트로
정말 많은 경험을 기반으로
머리카락 두께의 0.2mm 새로네이트를
제작하고 있습니다.
간혹 치아를 아예 그대로 놔두고
라미네이트만 붙이는 것을
원하시는 분들도 있을 수 있는데요.
'무삭제'라고 하는 라미네이트 치과들도
우리가 스티커를 아스팔트 바닥에 붙이면
울퉁불퉁한 마찰때문에 금방 떨어지게 되듯,
치아 표면을 매끄럽게 만들어서
라미네이트가 들뜸 없이
잘 부착되게 하는 과정은 필수적입니다.
서울 강남까지 가지 않아도
서울 의료진 그대로
광주 무삭제 라미네이트

광주 무삭제 라미네이트 치과 중에서
유일하게 서울 강남 의료진이
직접 책임진료 하는 새로네이트 치과는
치아 삭제량이 많았던 기존의 라미네이트와는
완전히 다른 새로운 라미네이트 시대를
열어가고 있습니다.
기계가 만들어낼 수 없는
0.2mm 두께의 미세한 새로네이트 제작을 위해
모든 과정을 숙련된 기공소에서
100% 수제작으로만 제작하고 있으며,
원재료 모두 수입산을 사용하여
더욱 단단하고 자연스러운
광주 무삭제 라미네이트를 완성합니다.
빠른 치아 성형효과로
광주 무삭제 라미네이트

가지런하고 고른 치아에 대한 관심이
요즘 가장 최고로 높아진 것 같습니다.
요즘은 방송에 출연하기 전에
라미네이트 진료를 대부분 받는 것이
대세라고 하기도 하는데요.
광주 무삭제라미네이트 새로네이트는
치아 삭제량을 최소화하였기 때문에
치아시림 부작용을 걱정하지 않아도 되며,
그렇다고 해서 누가봐도 라미네이트 한 것 같은
부자연스럽고 두꺼운 라미네이트가 아닌
정말 내 원래 치아같이 자연스러운 아름다움을
완성하고 있습니다.
수 백가지가 넘는
광주 무삭제 라미네이트 케이스로
실력을 증명합니다.

광주 무삭제 라미네이트 치과의
실력을 확인하고 싶다면
어떤 점을 체크하면 좋을까요?
그 어떤 사람도
'많이' 해본 사람을
이길 수 없는 법입니다.
광주 무삭제 라미네이트 치과는
수 백가지가 넘는
무삭제 라미네이트 케이스를
홈페이지에 공유하고 있습니다.
그만큼 실력에 자신이 있으며
다양한 케이스를 다뤄본 경험으로
개인별로 최적의 디자인 설계로
자연스러운 아름다움을 완성합니다.
광주 무삭제 라미네이트
이벤트 내용이 궁금하다면?

광주 무삭제 라미네이트 치과의
라미네이트 비용 할인, 이벤트 내용이
궁금하시다면 위의 사진을 클릭해주세요.
미니쉬, 제로네이트, 블랙필름 등
다양한 앞니 컴플렉스 해결방법에 대해
알아보신 분들은 알고 계시겠지만,
시술하는 담당의사의 경험도나 직급에 따라
가격이 다르게 형성되어 있는데요.
광주 무삭제 라미네이트 새로네이트는
오직 전문의 고석호 대표원장님께서
모든 라미네이트 진료를
1:1 책임진료로 맡아서 진료하시기 때문에
합리적인 가격으로 라미네이트 진료를
받으실 수 있는 큰 장점이 있습니다.
치과의사를 가르치는 치과의사,
라미네이트 진료계의 권위자
전문의 고석호 대표원장님이
책임지고 진료하는
광주 무삭제 라미네이트
광주 무삭제 라미네이트 치과의
라미네이트 담당 전문의 고석호 원장님은
사실 라미네이트 강연을 하고 계시는
엄청난 실력자이신데요.
치과의사를 가르치는 치과의사의
꼼꼼하고 섬세한 진료를 통하여
광주 무삭제 라미네이트 치과에서
환한 미소를 완성해보세요.
라미네이트 진료만을 담당하는
라미네이트 전담 의료진의
스페셜 케어를 통해
광주 무삭제 라미네이트 치과에서
새로네이트 진료를 받으실 수 있습니다.

