toggle navigation
새로네이트
임플란트
치료전-후
치아교정
홈페이지 바로가기
로그인
회원가입
홈
새로네이트
2026-01-14 09:34:59
|
서울우리아이치과
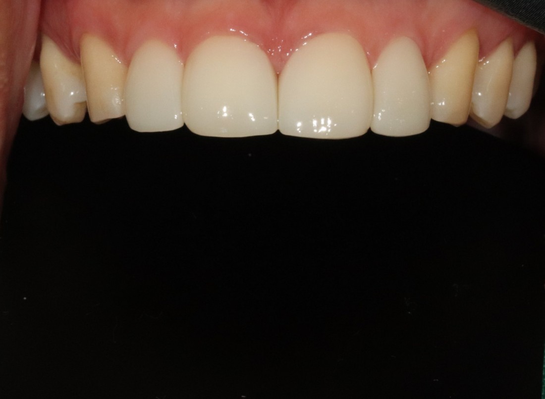
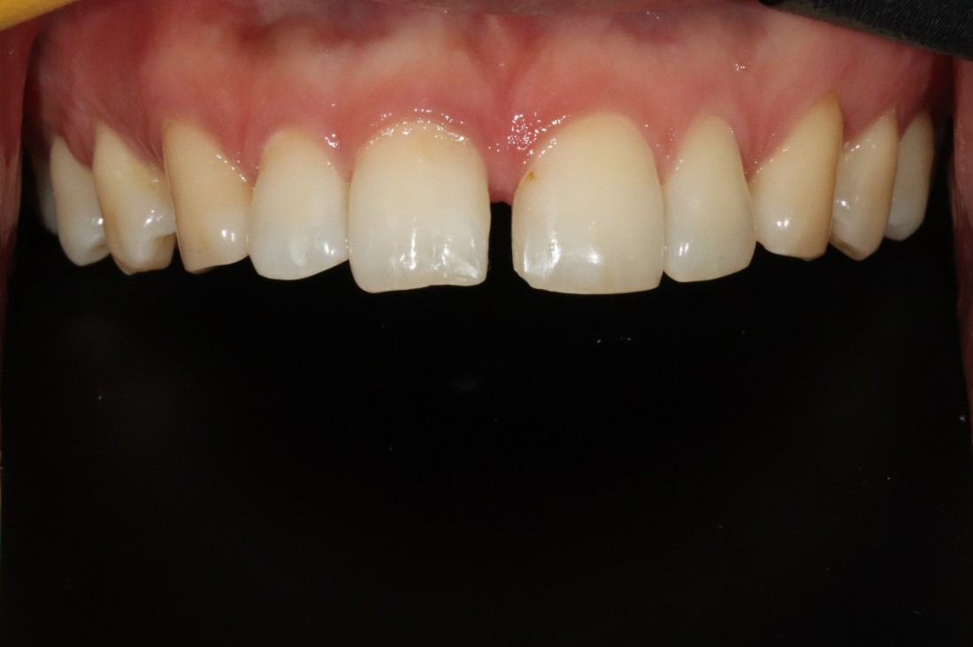
광주 무삭제라미네이트 벌어진 앞니를 개선하고 싶은 40대 케이스가 궁금하다면
이전글
광주 라미네이트 고난이도 사랑니 발치와 임플란트, 라미네이트 진료까지 동시에 할 수 있는 치과는
2026-01-02
다음글
광주무삭제라미네이트 삭제량을 최소화한 완전히 새로운 새로네이트가 궁금하다면
2026-01-19
목록보기
빠른상담 문의
빠른 상담신청
카카오톡 채널 추가
카톡 상담
네이버 예약
전화예약
062-710-2870
광주광역시 광산구
임방울대로 321, 5층
채팅
예약