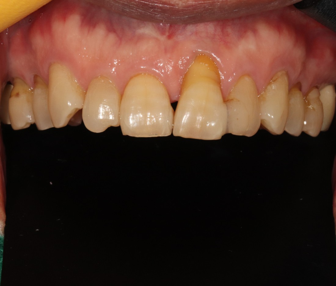
70대가 넘었는데..
하얀 치아와 고른 치열
가능할까요?
광주 라미네이트 치과가
책임지고 완성합니다.
노화와 함께 잇몸이 퇴축되면서
치아 뿌리가 더 드러나게 되는데요.
그렇게되면 치아가 더욱 길어보이고
인상이 달라보이기 때문에
환하게 웃을 때 자신감이 떨어지게 됩니다.
또한, 노화와 더불어
치아가 더욱 누래지게 되기 때문에
계속 신경이 많이 쓰이게 됩니다.

70대에도 자신감 있는 비결은
광주 라미네이트 치과
광주 라미네이트 치과에는
유난히 중, 장년층의
라미네이트 진료가 많은데요.
저도 저희 어머님, 아버님께
직접 라미네이트 진료를 해드렸고,
광주 라미네이트 치과의
라미네이트 담당 전문의 고석호 원장님도
라미네이트를 받으신 치아랍니다.
![]() | ![]() |
치아삭제량이 많아서 부작용 걱정이 많던
과거의 라미네이트 진료와는 다르게,
라미네이트 진료계의 권위자이신
전문의 고석호 대표원장님과
서울우리아이치과가 오랜 연구 끝에 개발한
무삭제(최소삭제) 라미네이트인
새로네이트 진료는 치아시림 부작용을 줄이고
자연치아 강도를 보강하는 효과까지
얻을 수 있는 진료입니다.

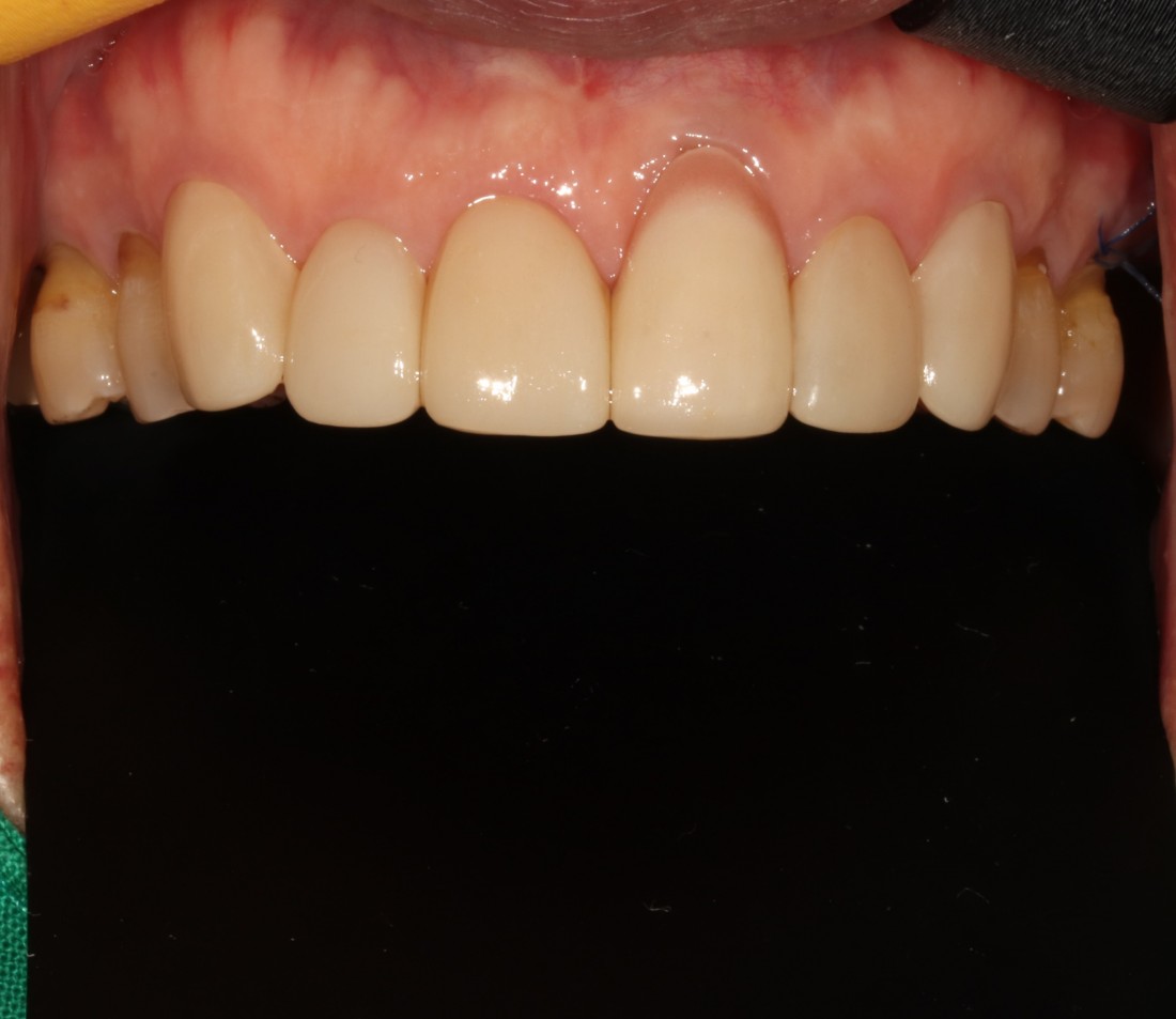
나이가 들면서
검게, 누렇게 변색된 치아도
광주 라미네이트 치과는
하얗게 개선합니다.
노화와 더불어 치아가 누렇게 변색되는 것은
자연스러운 현상이지만,
너무 색상이 누렇게 된 경우에는
치아 컴플렉스로 작용할 수 있습니다.
또한 충치치료나 잇몸 질병 때문에
치아가 검게 변색된 경우도 많이 발생하는데요.
광주 라미네이트 치과에서는
모든 라미네이트 보철물을
서울의 유명 치아기공소에서
100% 수작업으로 제작하고 있으며
조합할 수 있는 화이트 색상이
60여 가지가 넘습니다.

누가봐도 라미네이트 진료를 한 것 같이
부자연스럽고 뭉툭한 치아가 아닌,
<자연치아보다 더 자연스러운 아름다움>이
광주 라미네이트 치과의
라미네이트 진료 원칙입니다.
무조건 삭제량이 없는
무삭제 라미네이트만이
정답은 아니기 때문에,
치아표면을 살짝 다듬는 정도로 해서
라미네이트가 더욱 밀착될 수 있도록
광주 라미네이트 치과만의
라미네이트 진료 노하우로
환한 미소를 완성합니다.

라미네이트 진료계의 권위자,
전문의 고석호 원장님 진료로
광주 라미네이트 치과
광주 라미네이트 치과의
전문의 고석호 대표원장님께서는
지난 10년 넘게 서울 강남에서
라미네이트 진료만을 담당해오고 계신데요.
수많은 연예인 시술 경험이 있으셔서
입소문으로는 이미 정말 유명하십니다.
광주 라미네이트 치과 중에서
유일하게 서울 강남 의료진이
직접 진료하는 라미네이트 치과에서
무삭제(최소삭제) 라미네이트로
자연치아도 지키고
환한 미소도 완성해보세요.

전체 치아교정이 부담스러울 때
광주 라미네이트 치과
시간이 지날수록 치아 틈새는
줄어들지 않고, 오히려 더욱 넓어지는데요.
나이가 들면서 잇몸이 퇴축되는 경향이 강하고,
치아 틈새는 더욱 커지기 때문입니다.
그러나 40대가 넘어서 전체 치아교정을 하기에는
시간적인 측면과 비용적인 면
모두가 부담스러울 수 있습니다.
광주 라미네이트 치과에서는
1~2개의 라미네이트 시술만으로도
치아틈새를 개선하고 치열을 고르게 개선하는
라미네이트 진료를 추천드리고 있습니다.

과잉진료 없이,
믿을 수 있는
광주 라미네이트 치과
광주 라미네이트 치과는
무리한 라미네이트 시술을 권하지 않습니다.
라미네이트 진료로
치아삭제량이 너무 과도하게 되어
추천하지 않는 경우나,
치아교정이 우선되어야 하는 경우 등
다양한 케이스에 맞추어
분과별 전문의 진료가 가능하기 때문에
개인별로 최적의 치료계획을 추천해드립니다.
과잉진료 없이
꼭 필요한 진료만을 추천드리고 있는
광주 kbc, mbc 전속자문치과이기 때문에
믿을 수 있는 광주 라미네이트 진료입니다.

