안녕하세요~
광주 라미네이트 치과
서울우리아이치과
조원빈 대표원장입니다.
앞니 컴플렉스를 해결하는 방법 중
대표적인 것들이
제로네이트, 미니쉬, 블랙필름 등 입니다.
광주광역시 라미네이트 치과
서울까지 가지 않아도
서울 강남 의료진 그대로
라미네이트 가능한 곳에서

그 중에서도 광주 라미네이트 치과의
무삭제(최소삭제) 라미네이트인 새로네이트는
서울까지 가지 않아도
서울 강남 의료진이 1:1 맞춤 진료로
치아시림 부작용을 줄인
라미네이트 진료입니다.
치과의사를 상대로
라미네이트 강연을 하실 정도로
서울 강남 라미네이트 진료의 대표주자이신
전문의 고석호 대표원장님께서
광주 라미네이트 치과의
새로네이트 진료를 담당해주시고 계십니다.
광주 라미네이트 치과의
라미네이트 전/후 사진은
대표원장인 제가 직접 작성하고 있으며,
200 케이스가 넘는
수많은 라미네이트 케이스를 보유한
경험많은 광주 라미네이트 치과를
선택하시는 것을 추천드립니다.
![]() | ![]() |
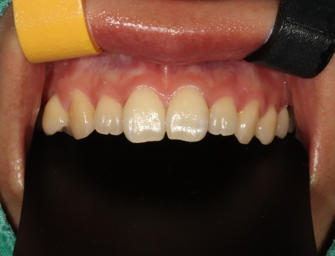
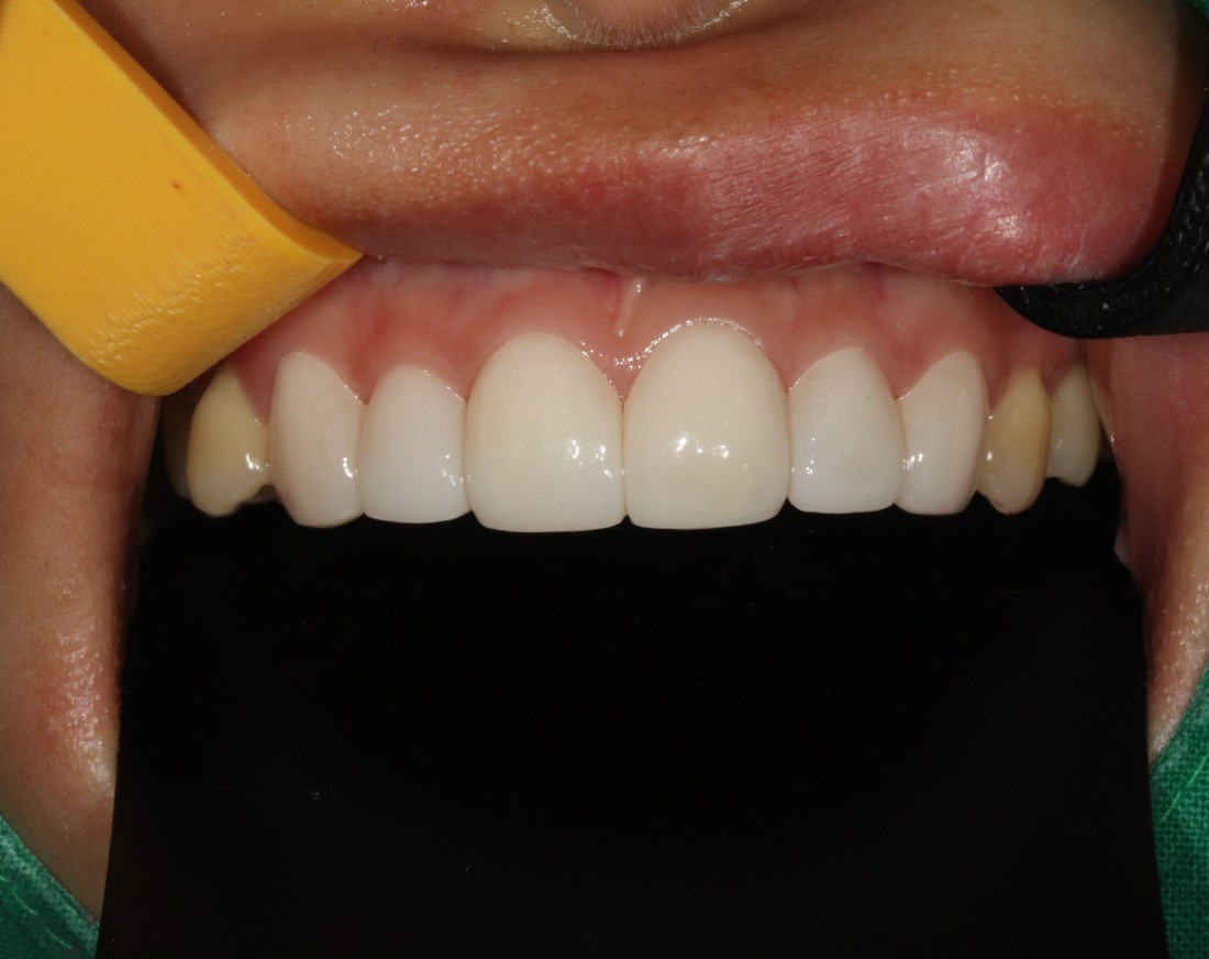
특히 20대, 30대가 넘어갈 수록
전체 치아교정에 걸리는
시간적인 부분, 외적인 변화에
크게 부담을 느끼시는데요.
광주 라미네이트 치과의
무삭제(최소삭제) 라미네이트를 통해
치아시림 부작용은 최소화하면서
0.2mm 머리카락 두께로 얇게 코팅하여
자연치아를 보호하는 효과까지
얻을 수 있는 새로네이트로
일주일만에 치아 급속 교정효과를
얻게 된 사례입니다.
![]() | ![]() |
광주 라미네이트 치과에서는
치아마다 크기와 모양이 다를 때
고른 치열로 완성할 수 있도록
새로네이트 진료를 추천드립니다.
서울의 유명 치아기공소에서
모든 과정을 100% 수작업으로
장인정신으로 제작하고 있는 새로네이트는
미세 가공법을 이용하여
치아삭제량은 최소화하면서도
확실하게 치열개선 효과를 얻을 수 있습니다.
벌어진 치아가 고민일 때는
광주 라미네이트 치과에서
특히 치아사이 공간이 벌어져서
신경이 쓰이는 분들에게
광주 라미네이트 진료를
적극적으로 권장해드리는데요.
나이가 들면서 더욱 잇몸은 퇴축되고
치아사이 공간은 더욱 넓어지게 되기 때문입니다.
치아사이 공간이 벌어질 수록
발음이 샐 수 있고, 음식물이 자주 끼며
무엇보다도 활짝 웃지 못할 정도로
외모 자신감 하락에 영향을 주기 때문에
벌어진 치아가 신경쓰이신다면
광주 라미네이트 진료를 추천드립니다.



