안녕하세요~
광주 라미네이트
서울우리아이치과
조원빈 대표원장입니다.
충치로 앞니가 변색되었을 때
가장 추천하는 해결법은?
광주 라미네이트

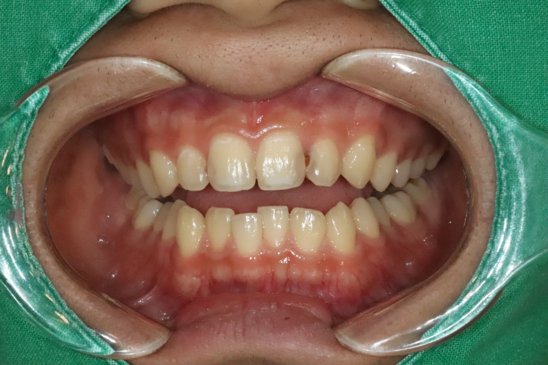
광주 라미네이트 치과에 방문해주신
40대 여성 고객님의 케이스입니다.
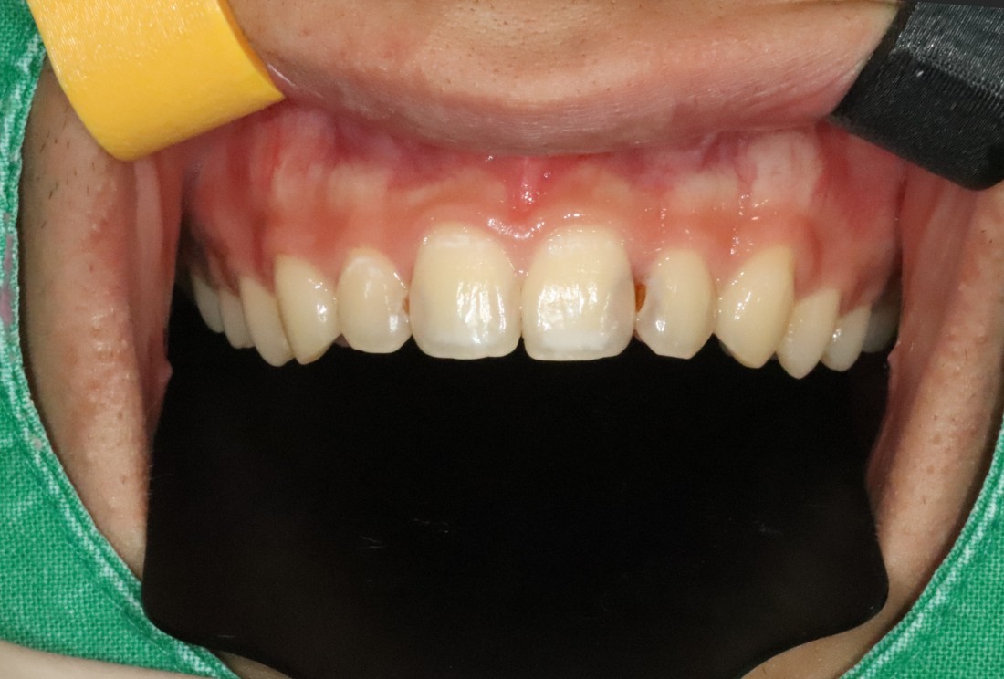
앞니 사이에 충치 치료로
검게 변색된 부분이
오랜시간 컴플렉스로 작용하셔서
환하게 웃지를 못했다고 하셨어요.
앞니를 자세히 보시면
색도 변색이 되었을 뿐만 아니라,
사이 충치로 인해 구멍이 생겨있어
세련된 첫인상에 부정적 영향을 끼치는데요.
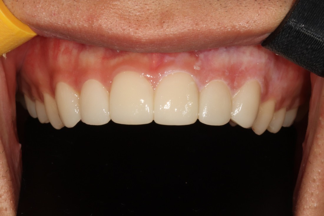
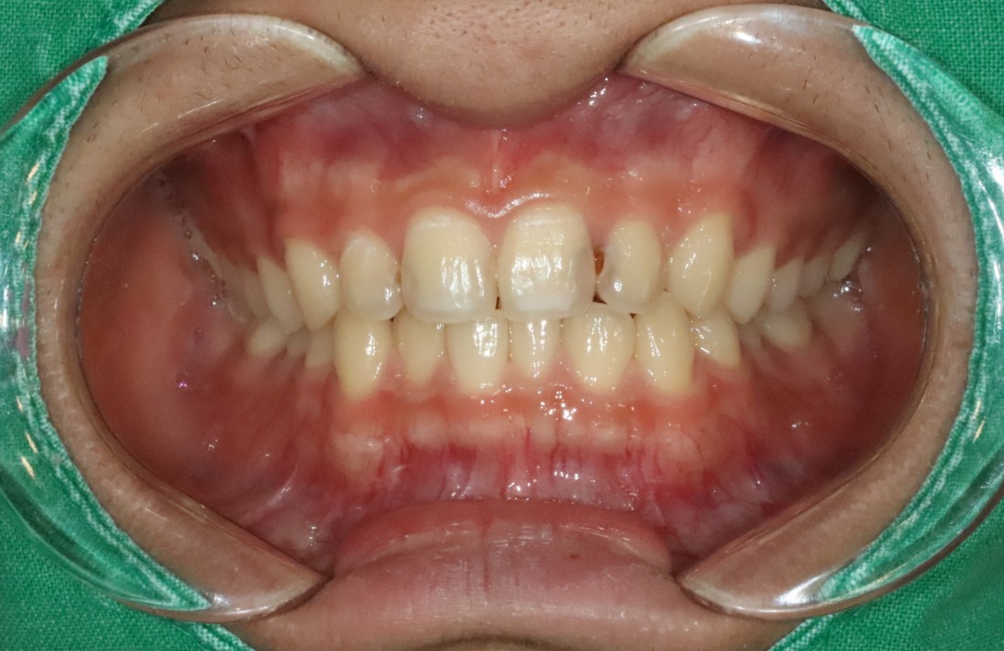
광주 라미네이트 치과에서
앞니 라미네이트 진료를 통하여
환한 미소를 완성시켜드렸습니다.
![]() | ![]() |
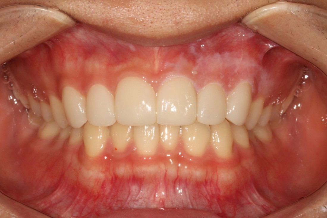
광주 라미네이트를 추천하는 분들은
앞니 컴플렉스가 심하신 분들인데요.
충치로 인해 치아색이 변색되거나
앞니 모양을 고르게 하고 싶으신 분들,
앞니가 벌어진 경우,
치아 크기가 다른 왜소치,
누렇게 변색된 치아 등
다양한 앞니 컴플렉스의 경우에
광주 라미네이트 진료로
환한 미소를 완성할 수 있습니다.
![]() | ![]() |
광주 라미네이트 치과는
서울 강남에서 라미네이트 진료만을
10년 넘게 담당해오고 계신
전문의 고석호 대표원장님께서
직접 상담부터 디자인, 시술 및 관리까지
모든 과정을 1:1 케어로 진료하기 때문에
서울 강남까지 가지 않으셔도
광주 라미네이트 치과에서
서울 의료진 기술과 실력 그대로
최상급 라미네이트 진료를 받으실 수 있습니다.
광주 라미네이트 치과
라미네이트 진료의 최고 실력자
전문의 고석호 대표원장님 진료로
![]() | ![]() |
광주 라미네이트 치과는
라미네이트 진료로
이미 서울 강남에서 수많은 연예인 진료 및
인플루언서 진료로 유명하신
전문의 고석호 대표원장님께서
광주 라미네이트치과 중에서 유일하게
서울 강남 의료진 진료를 제공합니다.
오랜 시간 연구 끝에 개발한
무삭제(최소삭제) 라미네이트
새로네이트 진료를 통하여
치아 삭제량을 최소화하였기 때문에
치아 시림에 대한 우려를 줄였습니다.
오직 단 한 분만을 위한
광주 라미네이트 진료실에서
프라이빗 고품격 진료
![]() | ![]() |
광주 라미네이트 치과는
오직 단 한 분만을 위한
VIP 라미네이트 진료실을 운영합니다.
라미네이트 진료만을 담당하는
라미네이트 전담 의료진이 있기 때문에
섬세한 광주 라미네이트 진료가 가능하며,
모든 라미네이트는
서울의 유명한 기공소에서
100% 수작업으로 제작하고 있습니다.
만들어낼 수 있는 화이트 색상 종류만
60가지가 넘을 정도로
정교하고 섬세한 광주 라미네이트 진료로
환한 미소를 완성할 수 있습니다.
0.2mm 두께로 맞춤제작하는
광주 라미네이트로
광주 라미네이트 치과의
무삭제(최소삭제) 라미네이트인 새로네이트는
기계로 만들어낼 수 없을 정도로
얇고 정교한 0.2mm 두께를 위하여
모든 과정을 사람이 직접 수제작하고 있습니다.
그렇기 때문에 뭉툭하고 부피감이 커서
누가봐도 라미네이트 시술을 받은 것 같은
부자연스러운 치아가 아닌,
<자연치아보다 더 자연스러운 아름다움>을
모티브로 삼고 있습니다.







