광주 덧니교정,
교정전문의 진료만 필요할까요?
발치, 충치치료, 턱관절 등
분과별 전문의 협진으로
최적의 치료계획을 세워야합니다.

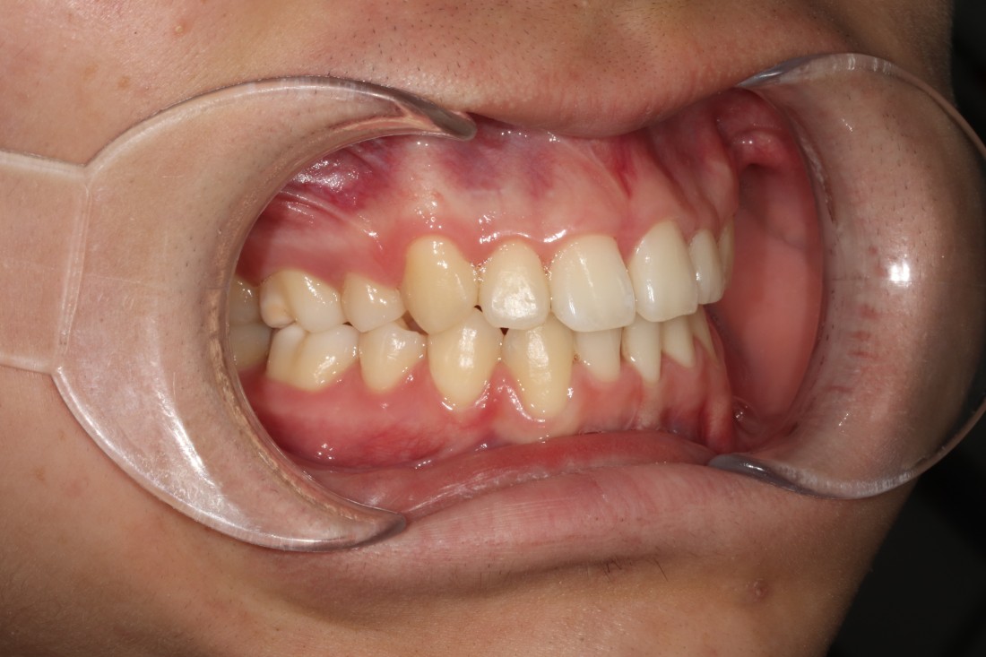
광주 덧니교정이 필요한 이유는
삐뚠 치열 때문에 외모의 자신감이 하락하여
활짝 웃지 못하기 때문입니다.
또한 덧니가 있는 경우에는
칫솔질이 꼼꼼하게 되지 않아서
충치 발생 확률도 많이 높아지게 됩니다.
광주 덧니교정 치과는
20년 경력의 교정전문의 진료 뿐만 아니라
구강외과, 구강내과 등
발치나 충치치료에 필요한
여러 분과별 전문의 진료를 통하여
개인별로 최적의 치료계획을 세우고 있습니다.
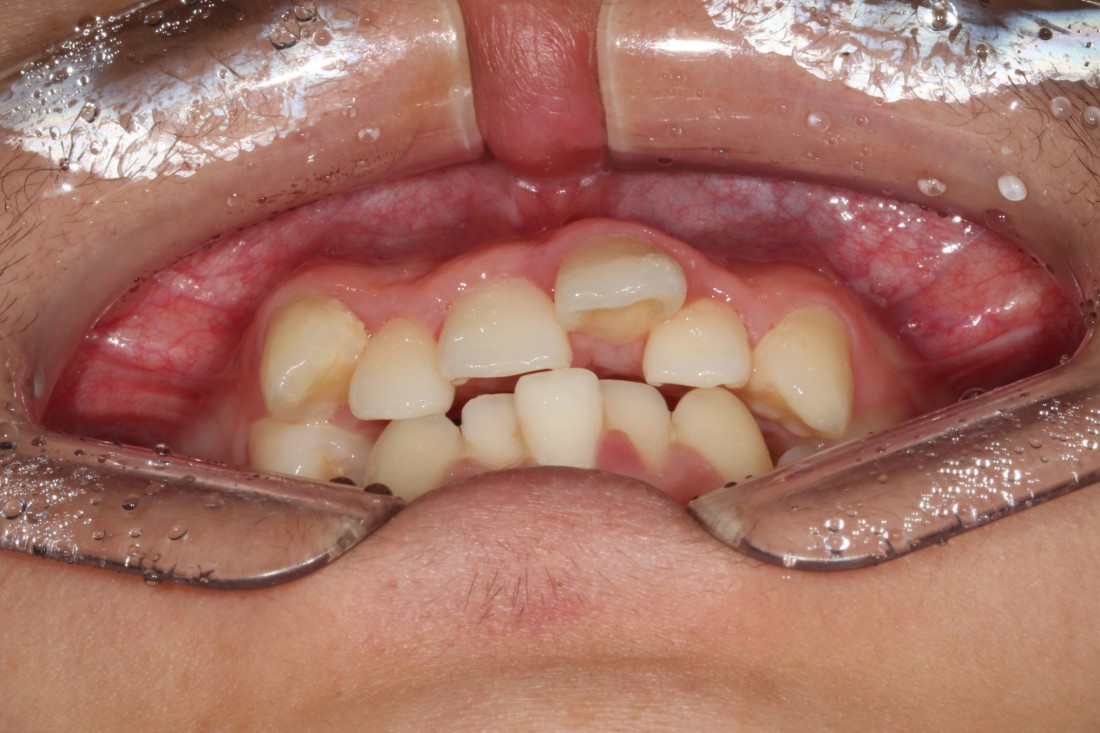
![]() | ![]() |
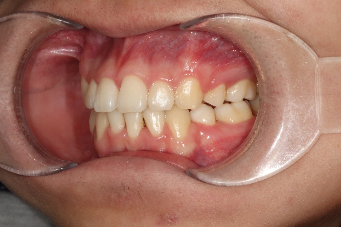
광주 덧니교정 치과에서
모든 비용을 포함하여
추가 금액 없는 교정진료
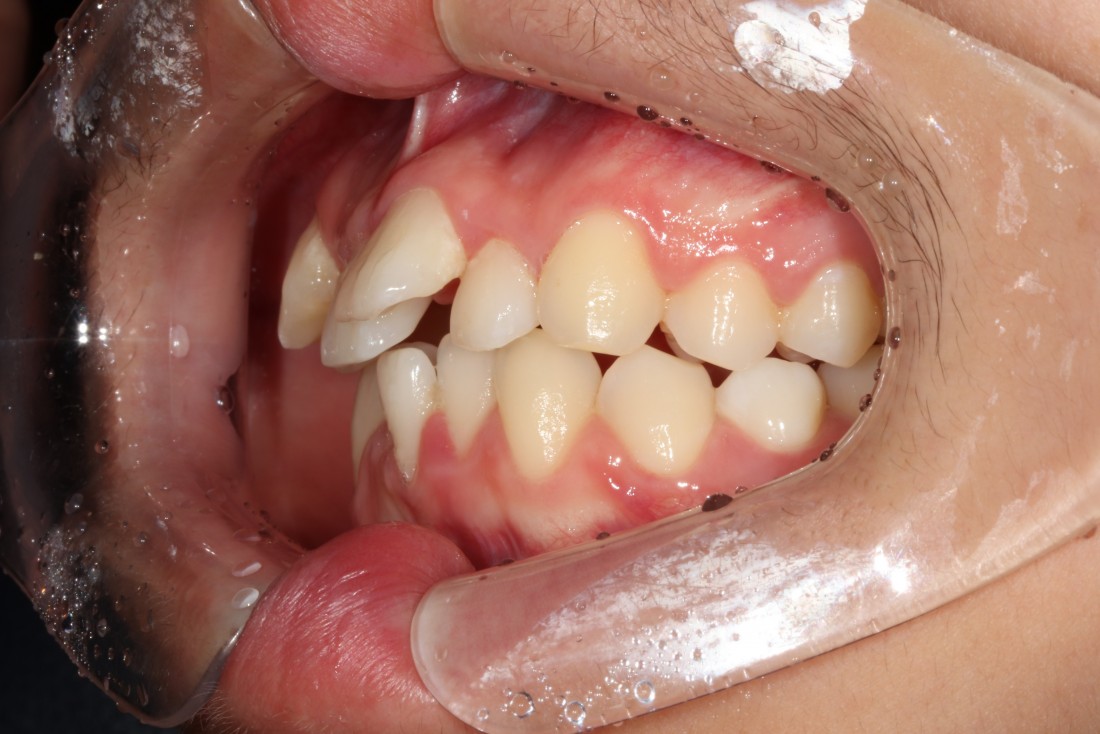
광주 교정치과의 덧니교정 진료는
교정 전 정밀검사를 통하여
발치가 필요한지 여부를 결정하게 됩니다.
광주 덧니교정에 필요한
3차원 105항목 정밀검사 비용
발치비용 (필요시)
교정장치 비용
월 진료비용
유지장치 비용
등 다양한 항목의 교정진료비를
모두 포함한 금액으로
추가 금액 없는 광주 덧니교정 진료를
제공하고 있습니다.
![]() | ![]() |
제 이름을 걸고
환한 미소를
완성시켜드립니다.
광주 덧니교정 치과의
교정전문의 대표원장님은
조선대학교 교정과 임상교수 출신으로
20년 넘게 교정진료만을 담당해오신
실력있는 교정전문의입니다.
교정진료는 한 번 진료만으로 끝나지 않고
오랜기간 담당 교정전문의와
치료방향에 대해 꾸준히 소통하며
원하는 치료결과를 얻어가는
긴 과정인데요.
광주 덧니교정 치과의 교정전문의 대표원장님은
꼼꼼한 진료와 섬세한 상담으로
많은 환자분들이 만족해하시는
광주 덧니교정 진료를 담당하고 있습니다.
![]() | ![]() |
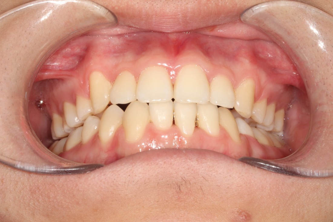
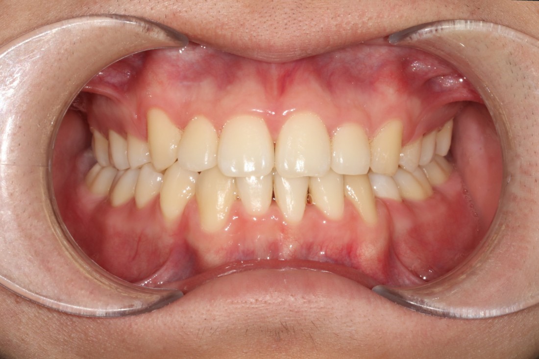
수 백가지의 덧니교정 케이스를
투명하게 공개하고 있는
광주 덧니교정 치과에서
광주 덧니교정 치과를 선택할 때
많은 기준이 있으실텐데요.
어느 교정치과가 실력있고
믿을 수 있는 교정치과인지
많이 고민하실 수 있습니다.
광주 덧니교정 치과는
수 백개의 교정케이스를 보유하고 있으며,
투명하게 교정 전/후 사진을
홈페이지에 공유해드리고 있습니다.
광주 KBC 닥터365,
MBC 1분건강정보 전속자문의사로
믿을 수 있는 진료만을 약속드립니다.
![]() | ![]() |
광주 덧니교정 치과는
1인 룸 교정진료실을 운영합니다.
광주 덧니교정 치과 중에서
모든 교정진료실을 1인 룸 교정진료실로
운영하는 프라이빗 교정진료를
원하신다면 서울우리아이치과 입니다.
교정진료만을 담당하는
교정전담 의료진이 상주하고 있기 때문에
교정 치료 중에 불편함이 생기시면
언제든지 적절한 진료를 통하여
불편함을 해소하실 수 있습니다.
![]() | ![]() |
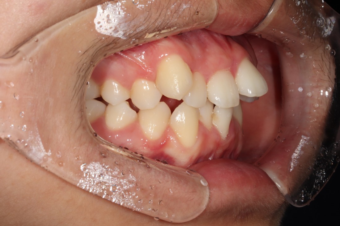
광주 덧니교정 치과에서
덧니교정 및 충치치료까지
전문의 진료로 토탈 구강관리
광주 덧니교정 전에
충치치료를 먼저 진행해야 하는 경우도 있고,
임플란트 식립을 통해 치아교정 기간을
더욱 단축시킬 수 있는 경우도 있습니다.
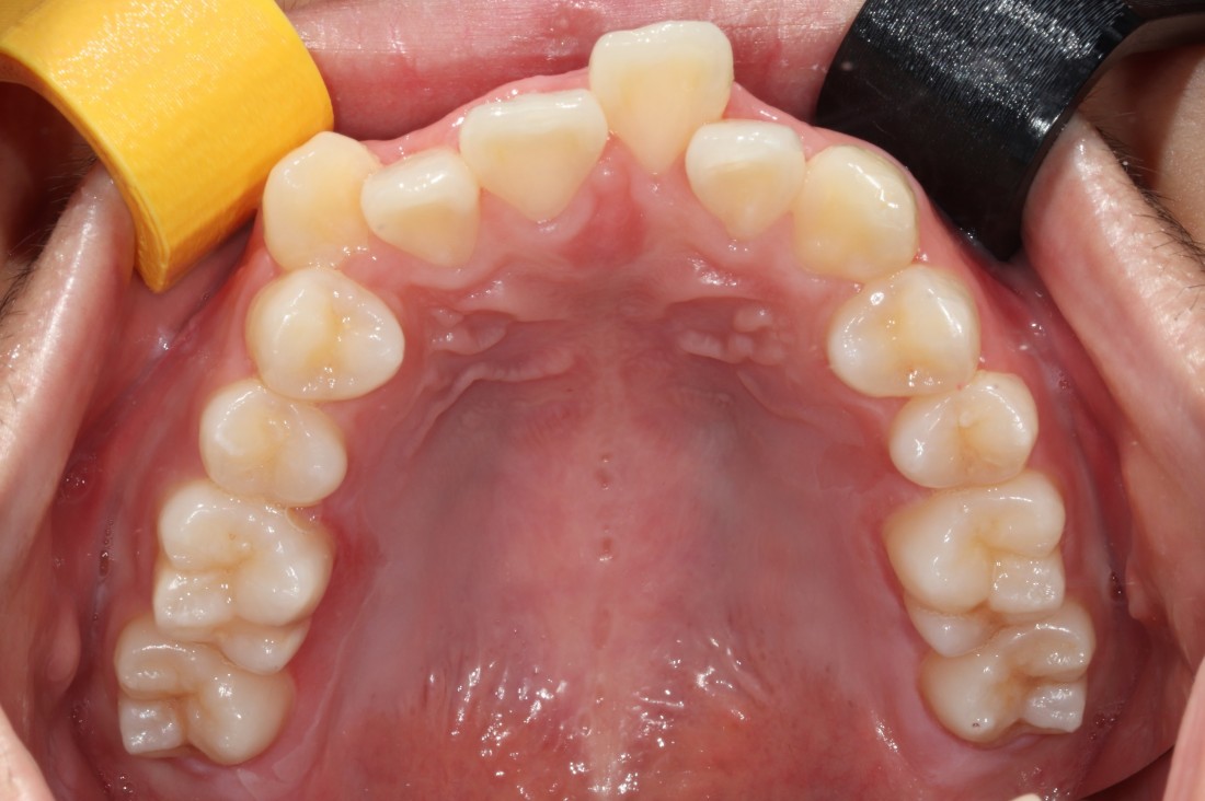
광주 덧니교정 치과에서는
대학병원급 최첨단 정밀검사 기기를 통해
최적의 치료계획을 세우고 있으며,
개인별로 1:1 맞춤 진료를 통하여
최상의 치료결과를 얻을 수 있습니다.
![]() | ![]() |
평일에 시간이 없으시다면?
월요일 야간진료
수요일 야간진료
토요일 오후4시까지
교정전문의 진료
광주 덧니교정이 필요하지만
평일에 시간이 없어서
교정치과를 방문하기가 힘드신가요?
광주 덧니교정 치과는
월요일 야간진료
수요일 야간진료
토요일 오후4시까지
교정전문의 진료를 제공합니다.
치료 중간에 교정전문의가 바뀔 염려 없이
나의 치아구조를 가장 잘 아는 교정전문의와
성공적인 치아교정을 완성해보세요.

광주에서 치과를 방문할 때
주차가 불편한 곳이라서
주차 스트레스를 받으신적 있으신가요?
광주 덧니교정 치과는
모든 내원객 여러분들에게
백화점 VIP급 무료 발렛 주차 서비스를
제공하고 있습니다.
진료 후에는 미리 출차까지 도와드리니
주차하기 힘든 수완지구에서
주차 편한 치과로 많이 좋아해주시는데요.
광주 덧니교정 치과의
무료 발렛 주차 서비스를 통해
더욱 편안한 치과 진료경험을
해보셨으면 좋겠습니다.











