안녕하세요~
광주 교정치과
서울우리아이치과 조원빈 대표원장입니다.
성공적인 치아교정을 위해
꼭 확인해야하는 리스트는?
출처 입력
아마 많은 분들이
교정전문의에게 치아교정을
받아야 하는 것 까지는
이제 다들 알고 계실텐데요.
그 외에 또 체크해야하는 리스트에 대해
알려드리도록 하겠습니다.

성공적인 광주 교정치과
선택을 위한 체크리스트
1. 경험많은 교정전문의
2. 치료 중간에
교정전문의가 바뀔 염려없는지
3. 교정 케이스가
많이 쌓여있는지
4. 월 진료비가 있는지
5. 교정 전담 의료진이
상주하고 있는지
![]() | ![]() |
광주 교정치과는
조선대학교 임상교수 출신의
교정진료 경력만 20년이 넘는
교정전문의 대표원장 진료로
교정치료 중간에 담당 교정의사가
바뀔 염려 없이
안심하고 진료받으실 수 있습니다.
또한,
교정 전 정밀검사비용,
발치비용, 교정장치 (클리피씨) 비용,
월 진료비용, 유지장치 비용 등
모든 비용을 포함한 가격으로
합리적인 광주 교정치과 가격을
유지하고 있습니다.
![]() | ![]() |
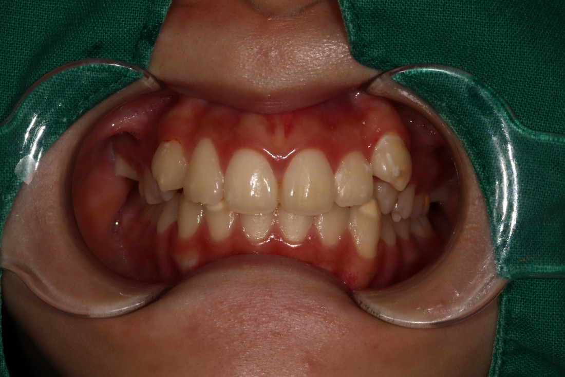
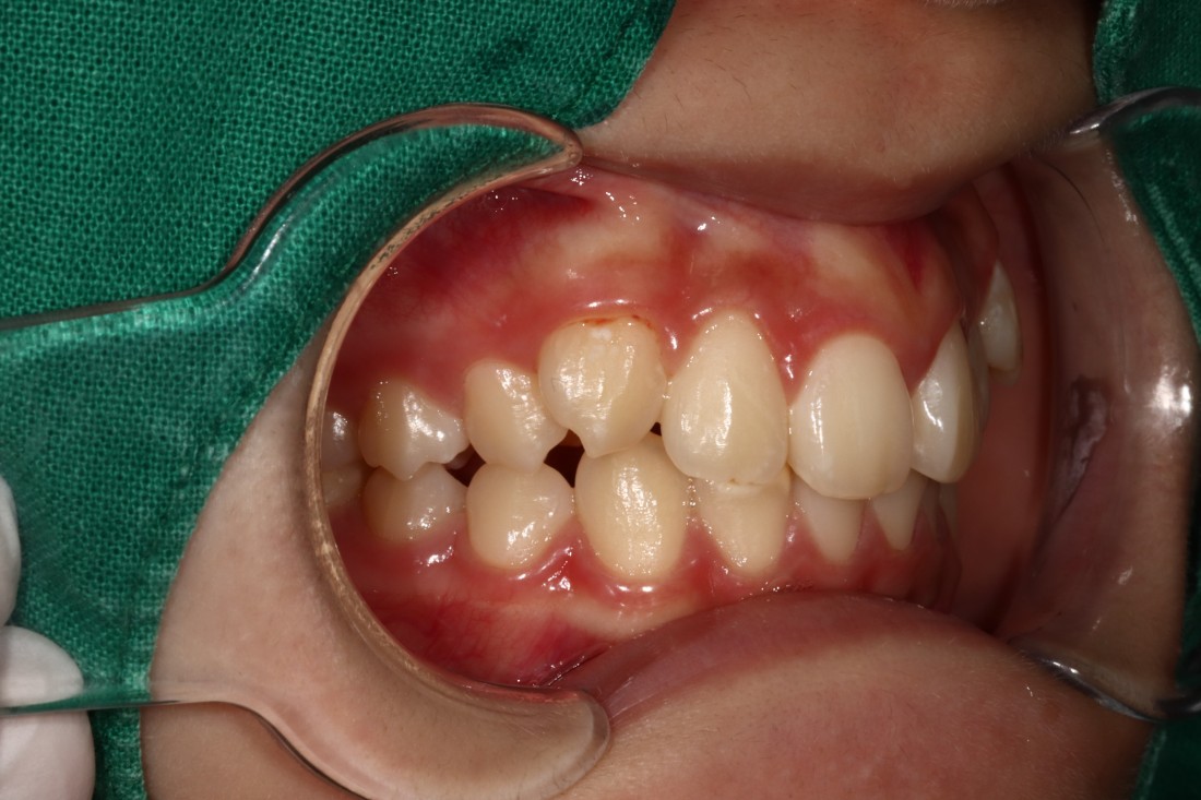
덧니는 과거에는 귀여운 이미지를 줘서
선호하기도 하였지만,
요즘은 고른 치열을 만들어서
세련된 외모를 완성하는 것이
필수 트렌드가 되고 있습니다.
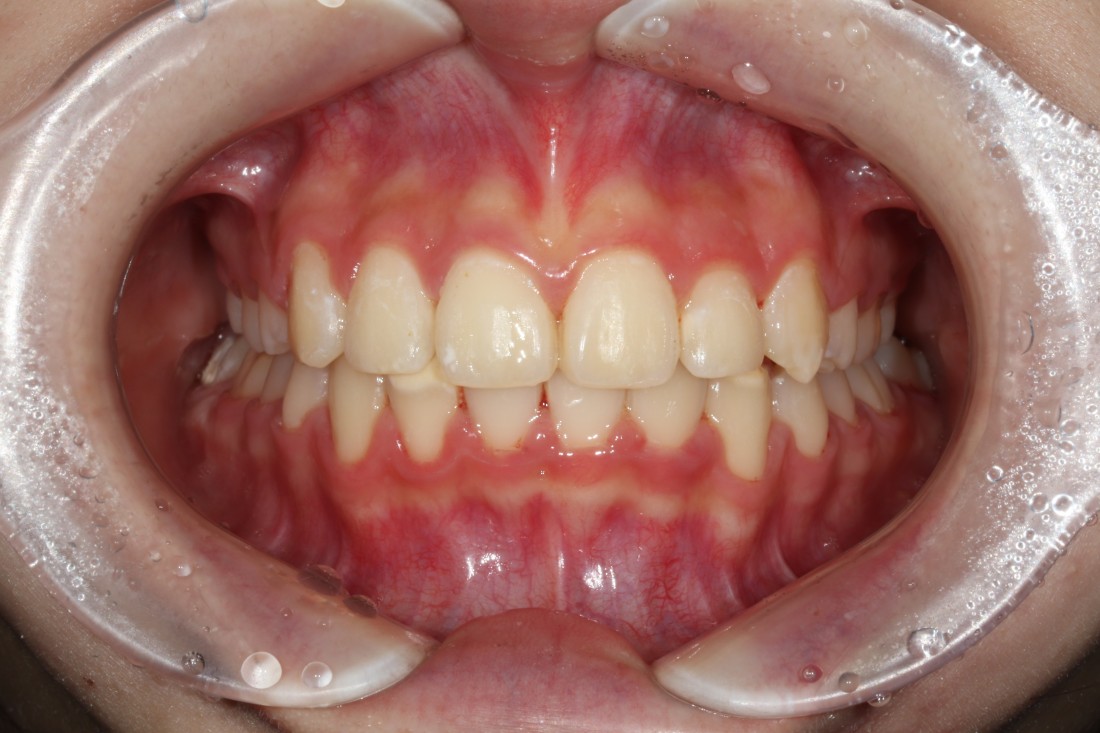
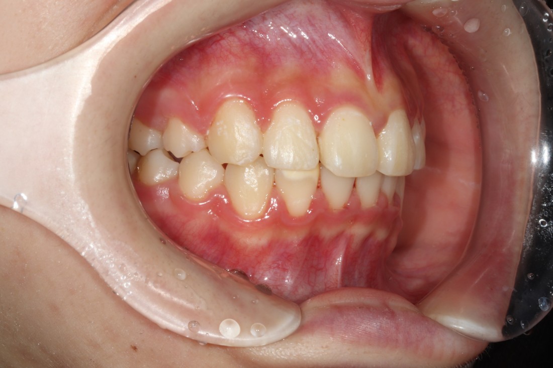
광주 교정치과에서는
3차원 105항목 정밀검사를 통해
발치교정 / 비발치교정 을 포함하여
정확한 치료계획을 세우고 있습니다.
![]() | ![]() |
광주 교정치과 중에서
서울우리아이치과에서 특화되어 있는
분과별 전문의 협진 시스템을 소개합니다.
20년 경력의 교정전문의 진료와 함께
필요한 경우에는 구강외과 전문의 임플란트,
전문의 라미네이트 등
다양한 치료계획을 세울 수 있어
나에게 맞는 최적의 치료방법으로
성공적인 광주 치아교정을 약속드립니다.
![]() | ![]() |
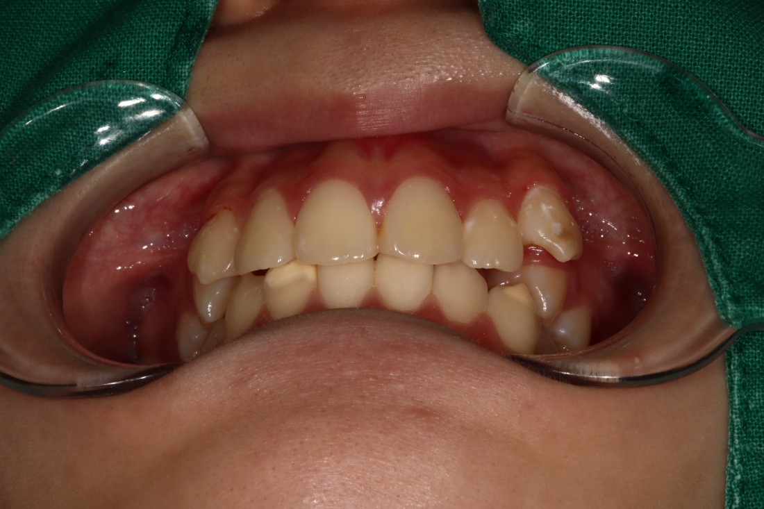
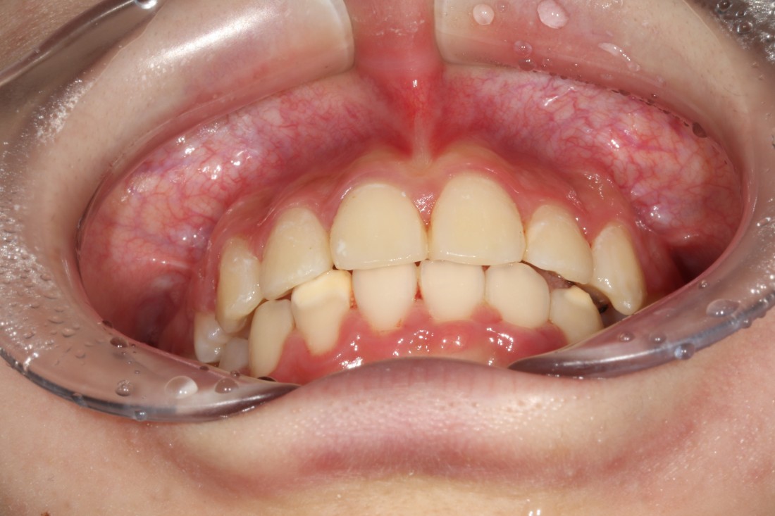
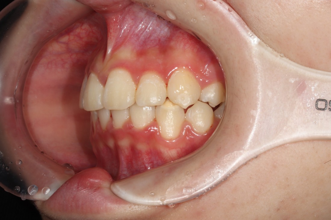
때로는 치아교정만으로 해결하는 것 보다
임플란트 식립을 동시에 해서
더욱 최상의 치료결과를 얻을 수 있을 때가
생기는데요.
20년 경력의 교정전문의 진료와 함께
구강외과 전문의 대표원장님의
협진도 동시에 진행하여
치아교정 기간을 단축하고
성공적으로 고른 치열을 완성하였습니다.
![]() | ![]() |
광주 교정치과 중에서는
월 3만원 ~ 5만원 사이의
월 진료비가 발생하는 교정치과도
많이 있는데요.
서울우리아이치과는 모든 비용을 포함하여
추가 결제 없이 치아교정을
마무리하고 있습니다.
치아의 이동 속도는 개인별로 차이가 크고
치료계획에 따라서 치료기간이
길어지는 경우도 발생하기 때문에
월 진료비가 수십만원으로 늘어나면
그만큼 부담스러워질 수 밖에 없기 때문입니다.
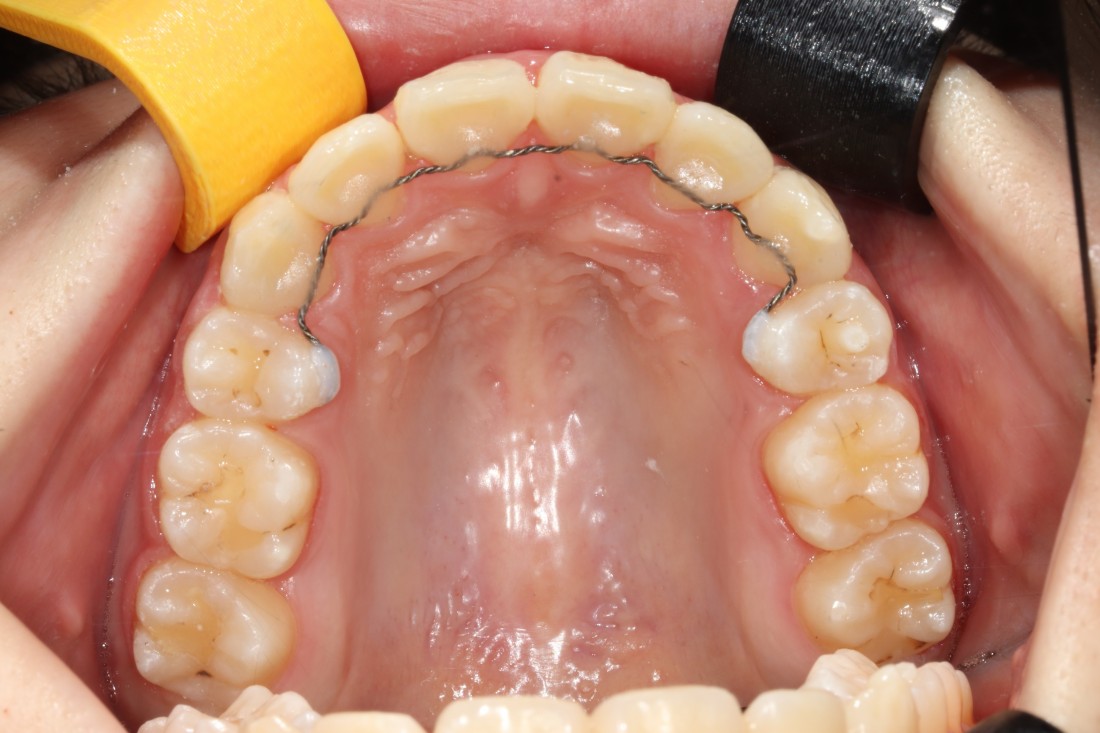
수많은 광주 치아교정 진짜 후기 사례를
공유하고 있는 광주 교정치과에서
성공적인 치아교정을 하실 수 있습니다.
환하고 밝은 미소를 완성하는
광주 교정치과의 교정진료입니다.









