안녕하세요~
광주 교정치과 추천하는 곳
서울우리아이치과
조원빈 대표원장입니다.
광주 교정치과 추천,
어떤 기준으로 해야할까요?

광주 교정치과 추천 기준은
1. 경험많은 교정전문의 대표원장이
직접 책임지고 진료하는지?
2. 교정 케이스를 많이 다뤄본 교정치과인지?
3. 비용이 합리적인지?
4. 전문의 협진으로 충치치료, 발치, 임플란트 등
동시에 여러 진료가 가능한 곳인지?
정도를 체크해보고 선택하신다면
후회없는 광주 교정치과 추천을 받으실 수 있습니다.
![]() | ![]() |
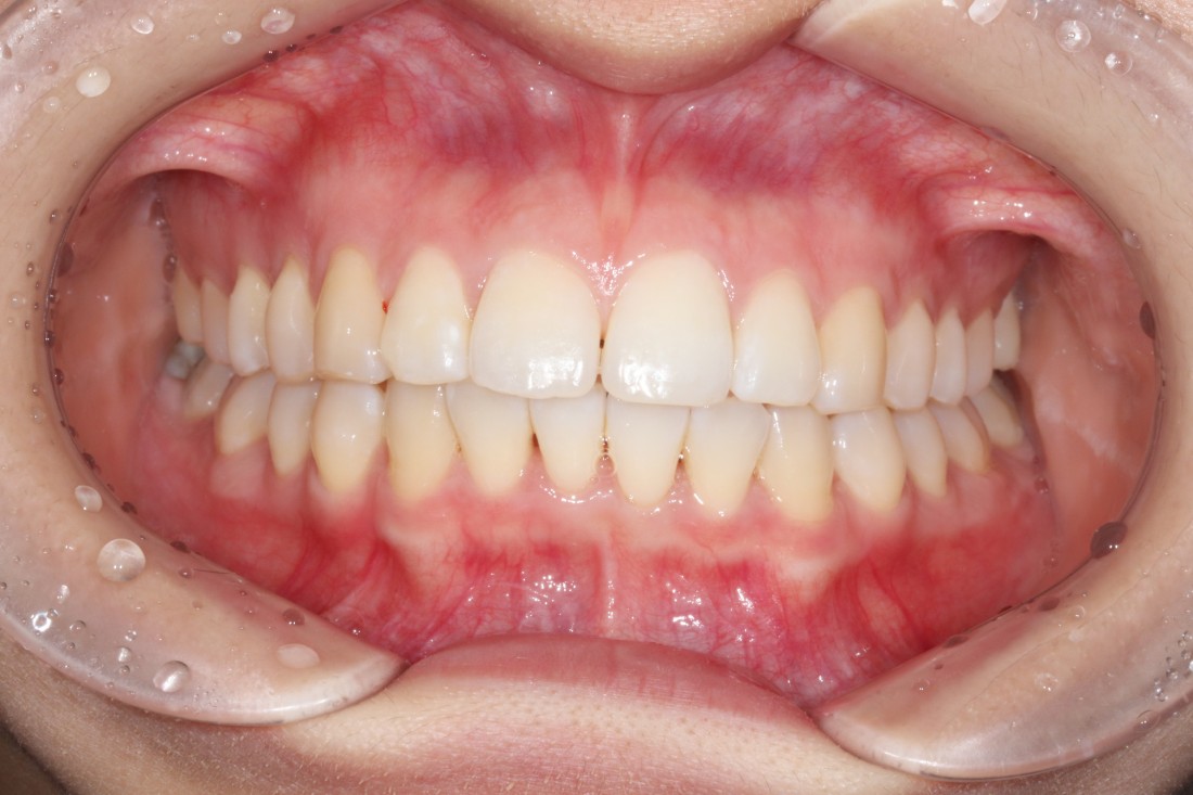
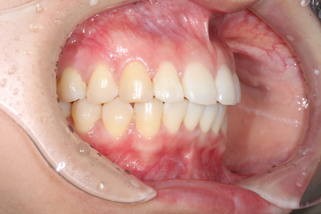
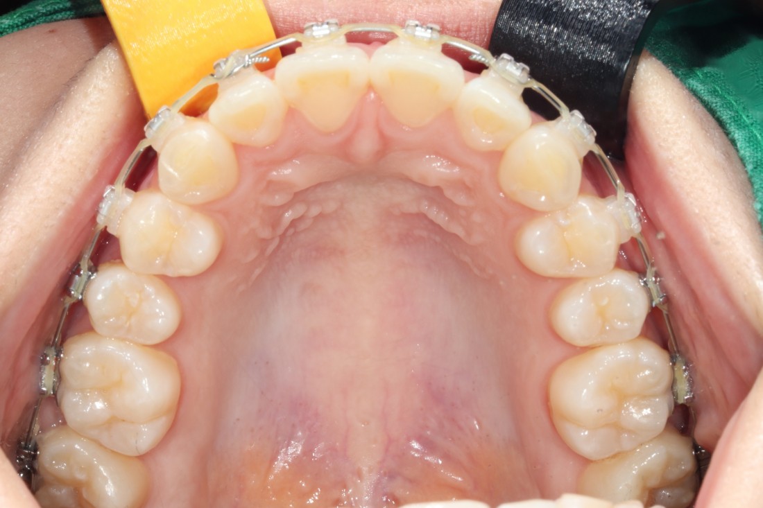
광주 교정치과를 추천하는 이유는
수 백가지가 넘는 교정 케이스를
보유하고 공개하고 있는 교정치과이기 때문에
실력을 믿을 수 있기 때문입니다.
교정치료 중간에 교정담당의사가
바뀔 염려가 없기 때문에
나의 치아에 대해서 가장 잘 아는
교정전문의 진료를 통하여
교정 전 정밀상담부터 교정진료 후
유지관리까지 1:1 케어를 받을 수 있습니다.
![]() | ![]() |
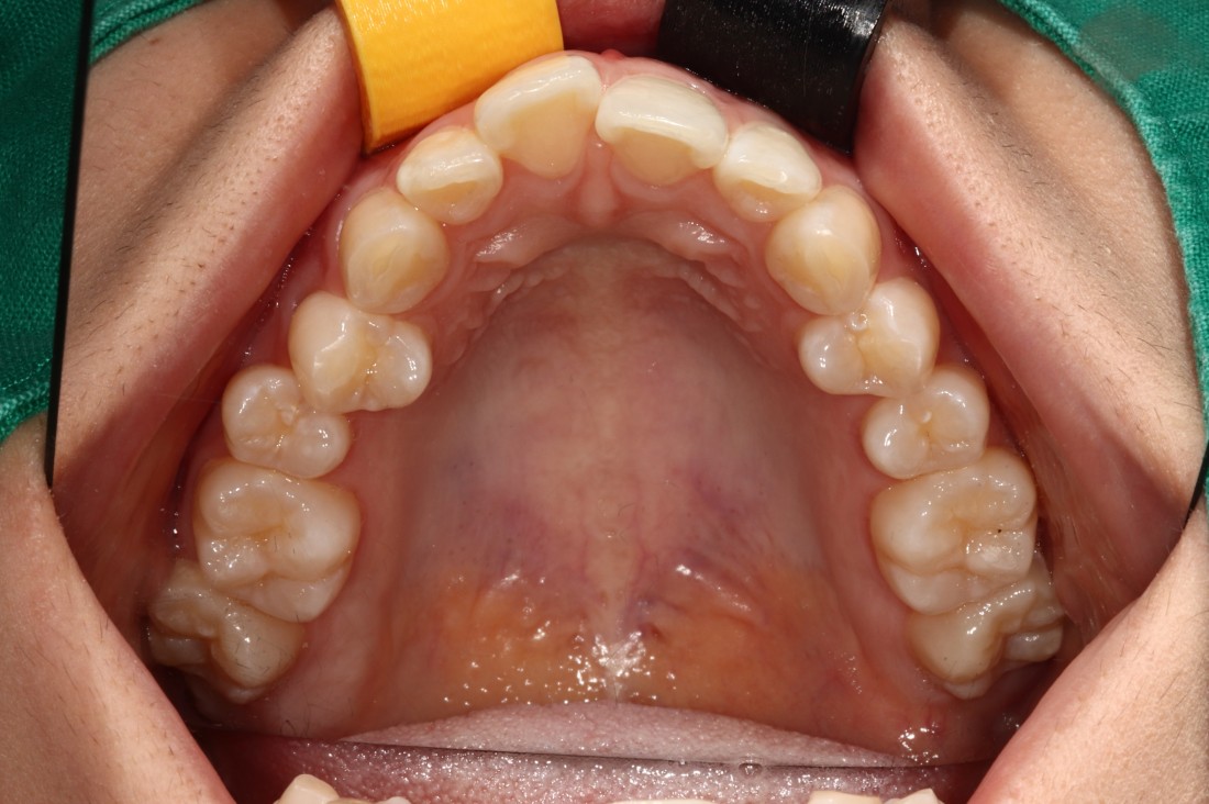
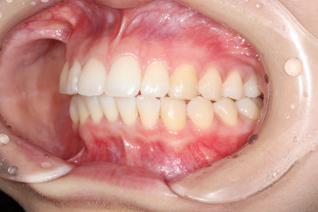
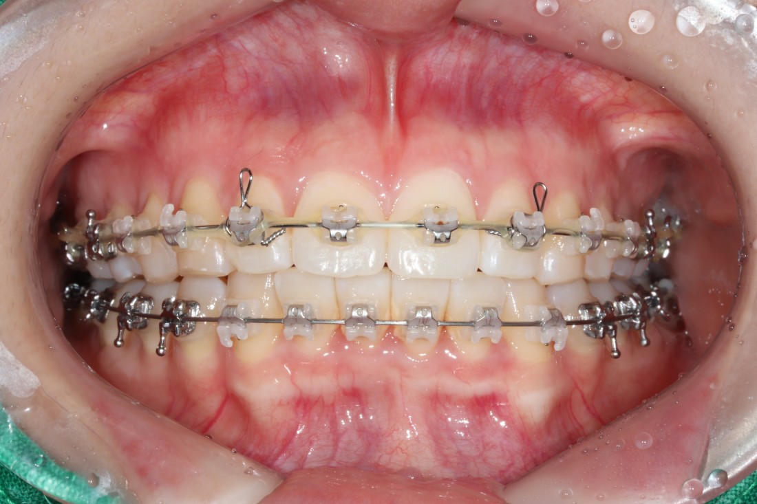
광주 교정치과의 교정전문의 대표원장님은
지난 20년 넘는 기간동안
오직 치아교정 진료만을 담당해오고 계신
실력있는 교정전문의입니다.
지금도 조선대학교 교정진료실의
후배 교수님들이 자주 질문을 해오실 정도로
교정실력면에서 인정을 받고 계신데요.
광주 교정치과 추천하는 이유는
실력을 입증받은 교정전문의 진료로
어떠한 케이스도 잘 대처하여
성공적인 치아교정을 완성할 수 있기 때문입니다.
![]() | ![]() |
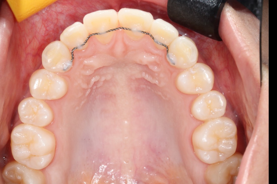
광주 교정치과를 추천하는 이유는
월 진료비가 없는 합리적인 금액으로
광주 치아교정을 받을 수 있기 때문입니다.
치아이동 속도는 개인별로 차이가 크며,
만약 치아 이동속도가 예상보다 늦어질 경우
월 5만원 정도의 월 진료비가
금방 몇 십만원으로 늘어나
비용부담이 크게 다가올 수 있기 때문에
광주 교정치과 추천하는 곳에서는
교정 전 정밀검사 비용
발치비용 (필요시)
교정장치 비용
월 진료비용
유지장치 비용
등 모든 비용을 포함한 금액으로
광주 치아교정을 받을 수 있습니다.
![]() | ![]() |
교정전문의만 있는 교정치과?
구강외과, 구강내과, 치아교정과 등
다양한 분과별 전문의 협진으로
충치치료부터 임플란트, 턱관절까지
동시에 진료하는 광주 교정치과 추천
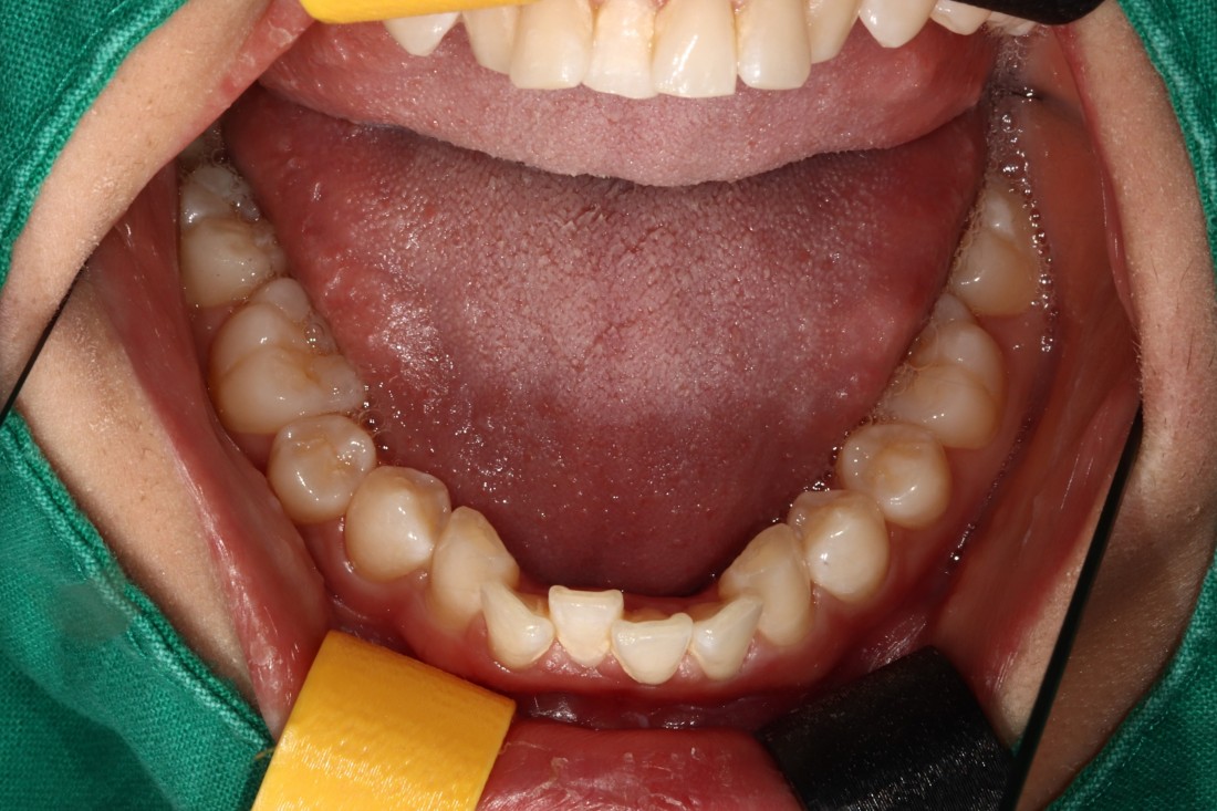
광주 교정치과를 추천하는 이유는
교정전문의만 있는 교정치과가 아닌,
구강외과 / 구강내과 / 통합치의학과 등
다양한 분과별 전문의가 협진하기 때문에
전문의 치아교정 진료 뿐만 아니라
다양한 진료를 모두 동시에 받을 수 있기 때문입니다.
교정진료를 시작하기 전에
충치치료가 필요한 경우도 있으며,
임플란트를 식립하여야 교정진료의 효과가
더욱 우수해지는 케이스도 있습니다.
광주 교정치과 추천하는 곳에서는
분과별 전문의 협진 시스템을 통하여
개인별로 최적의 치료계획을 세워
최상의 치료결과를 얻을 수 있습니다.
![]() | ![]() |
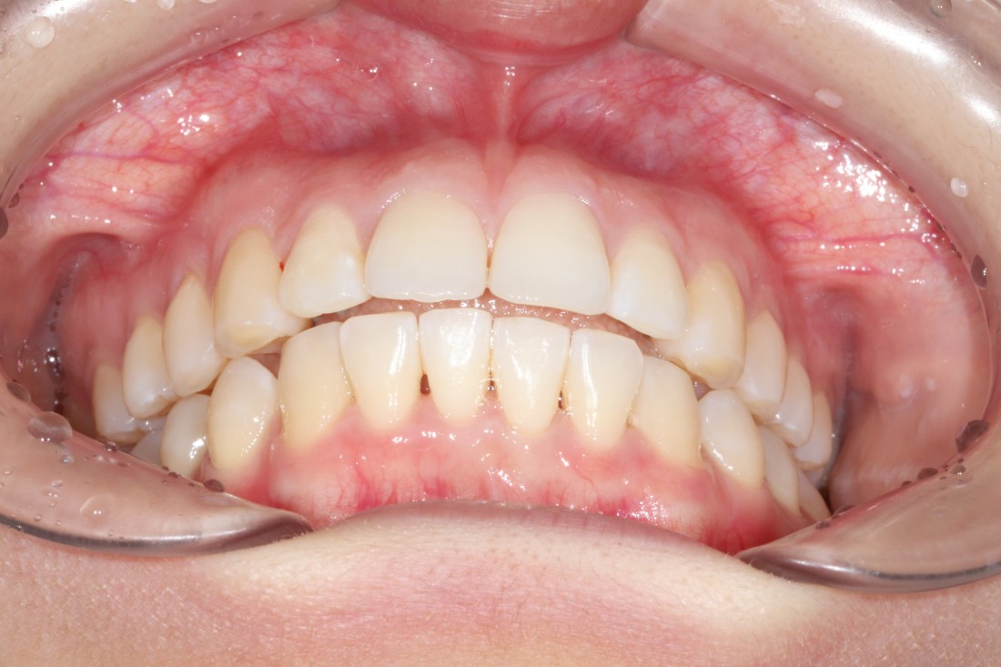
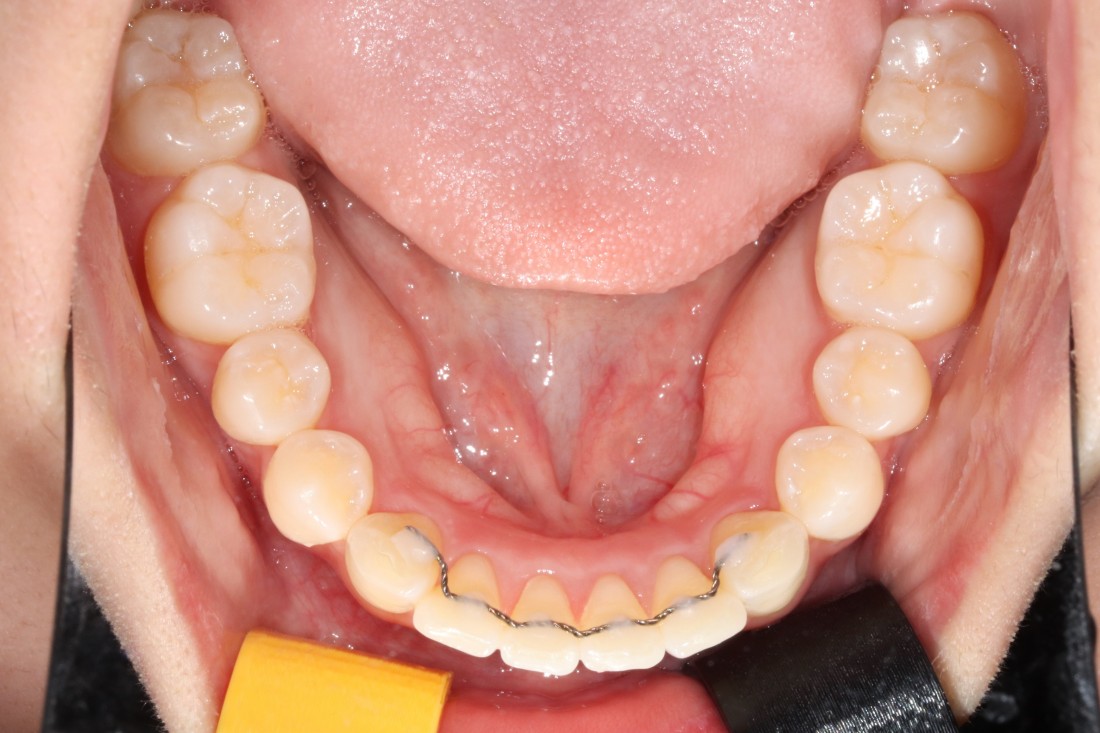
광주 교정치과
충치치료 + 치아교정 동시 케이스
광주 교정치과 추천하는 이유는
전문의 충치치료까지 동시에 가능하여
토탈 구강건강 관리를 받으실 수 있기 때문입니다.
5층은 일반진료센터,
4층은 VIP 치아교정실로 운영되어
치아교정 진료만을 담당하는
교정전담 의료진의 세심한 케어로
광주 교정치과를 추천합니다.
![]() | ![]() |
평일에 바쁜 분에게 추천하는
광주 교정치과
월요일 야간진료
수요일 야간진료
토요일 오후4시까지
평일에 병원에 갈 시간이 없는 분들에게도
광주 교정치과를 추천하는 이유는
월요일 야간진료
수요일 야간진료
토요일 오후4시까지
교정전문의 진료가 가능하기 때문입니다.
교정진료만을 전담하는
교정전담의료진의 섬세한 교정진료를
야간진료나 토요일 진료로
받으실 수 있기 때문에
치아교정 진료 중 언제든지 방문하셔서
편하게 교정진료를 받으실 수 있습니다.
![]() | ![]() |
무료 발렛 주차 제공으로
주차가 편한
광주 교정치과 추천
교정치과에 방문하기 전에
주차 걱정을 하고 계셨다면,
광주 주차편한 치과에서는
걱정하지 않으셔도 됩니다.
모든 내원객 분들에게
무료 발렛 주차를 제공하고 있으며,
백화점 VIP 발렛서비스로
무료 주차부터 출차까지
편하게 도와드리고 있습니다.













