안녕하세요~
광주 덧니교정 치과
서울우리아이치과
조원빈 대표원장입니다.
덧니교정,
발치교정 / 비발치교정
어떻게 해야할까요?

덧니는 예전에는
귀여운 인상을 주어서
선호하기도 했지만,
요즘의 트렌드는
'가지런하고 하얀 치아' 이기 때문에
많은 분들이 광주 덧니교정을 위해
교정치과를 방문해주십니다.
광주 덧니교정 치과에서는
오직 단 한 분만을 위해 준비된
VIP 1인 룸 교정진료실을
운영하고 있으며,
조선대학교 교정과 임상교수 출신의
20년 교정경력의 교정전문의가
1:1 맞춤 책임진료로 담당합니다.
![]() | ![]() |
광주 덧니교정을 하기 전에
3차원 105항목 정밀검사를 통해
섬세한 치료계획을 세우게 되는데요.
20년 이상 치아교정 진료만을
담당해오신 교정전문의이기 때문에
개인별로 최상의 치료결과를 위한
치료계획을 세심하게 알려드립니다.
대학병원급 최첨단 정밀장비를
보유하고 있는
광주 덧니교정 치과에서
성공적인 치아교정을 약속드립니다.
![]() | ![]() |
광주 덧니교정 치과에서는
교정진료에 필요한
다양한 비용을 모두 포함하여
추가비용 결제 없이
교정진료를 받으실 수 있습니다.
교정 전 정밀검사,
발치가 필요한 경우 전문의 발치,
교정 장치 (클리피씨) 비용,
월 정기검진 비용,
유지장치 비용 등
교정진료에 필요한 많은 비용항목을
모두 포함한 금액을
합리적인 가격으로
광주 치아교정을 진행하고 있습니다.
![]() | ![]() |
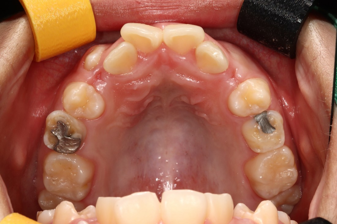
광주 덧니교정 치과에서는
덧니교정 시에
발치를 하는 경우도 있고,
비발치로 진행하는 경우도 있습니다.
치료계획은 모두 경험이 풍부한
교정전문의 대표원장님과
교정 전 정밀검사 결과를 토대로
오랜시간 세심한 상담 후에
결정하고 있습니다.
교정전문의가 봤을 때
발치가 꼭 필요한 경우가 있기 때문에
다양한 덧니교정 케이스와 비교하며
나만을 위한 치료계획을 세우고 있습니다.
![]() | ![]() |
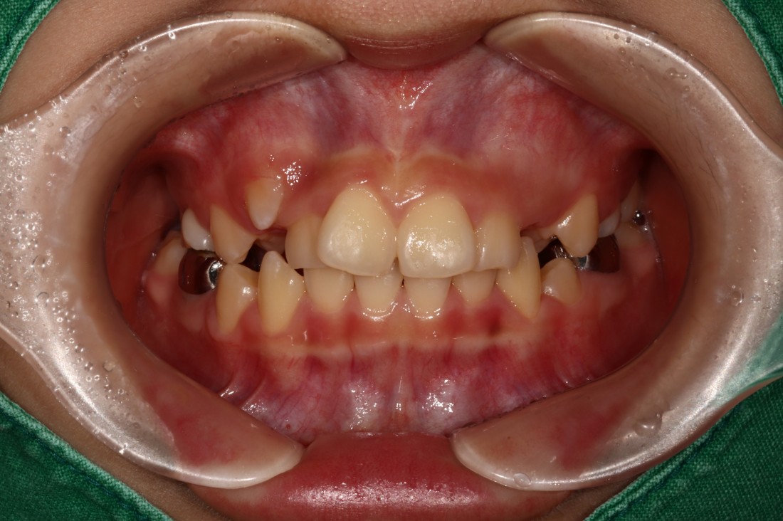
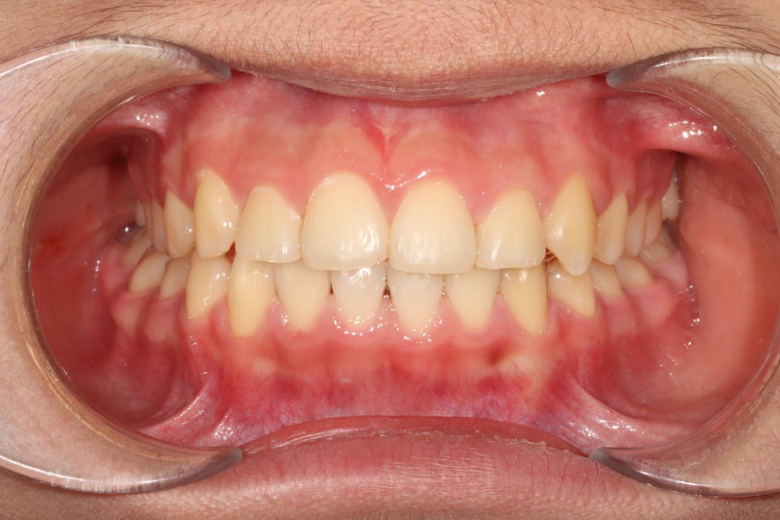
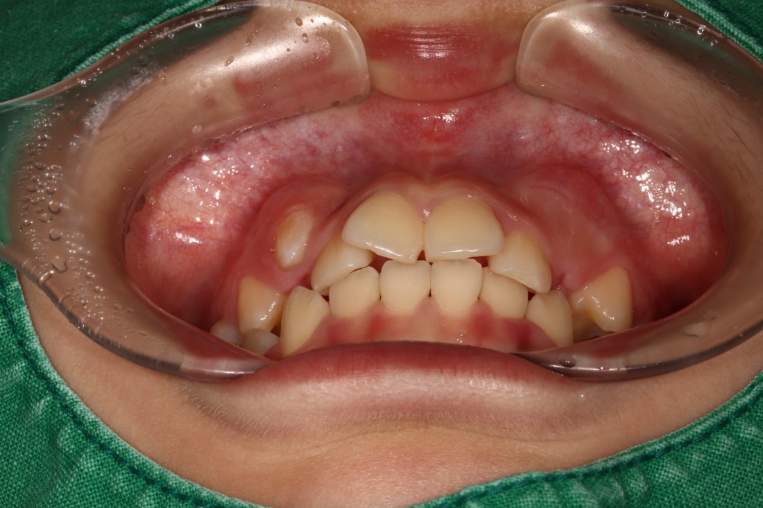
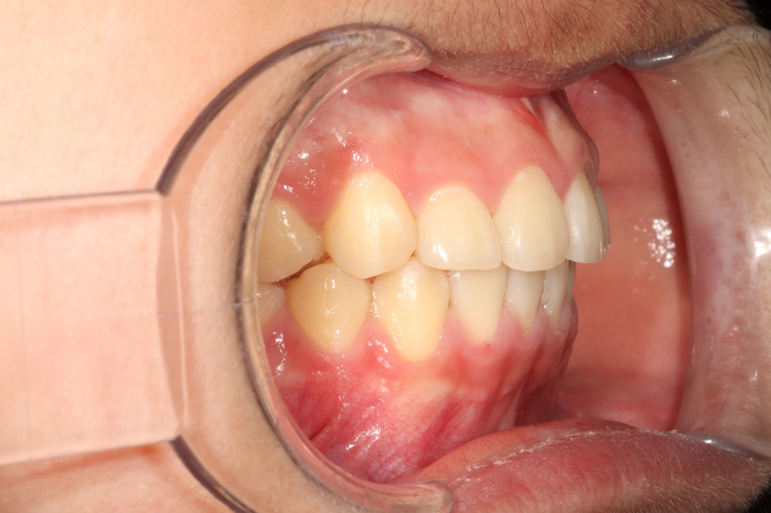
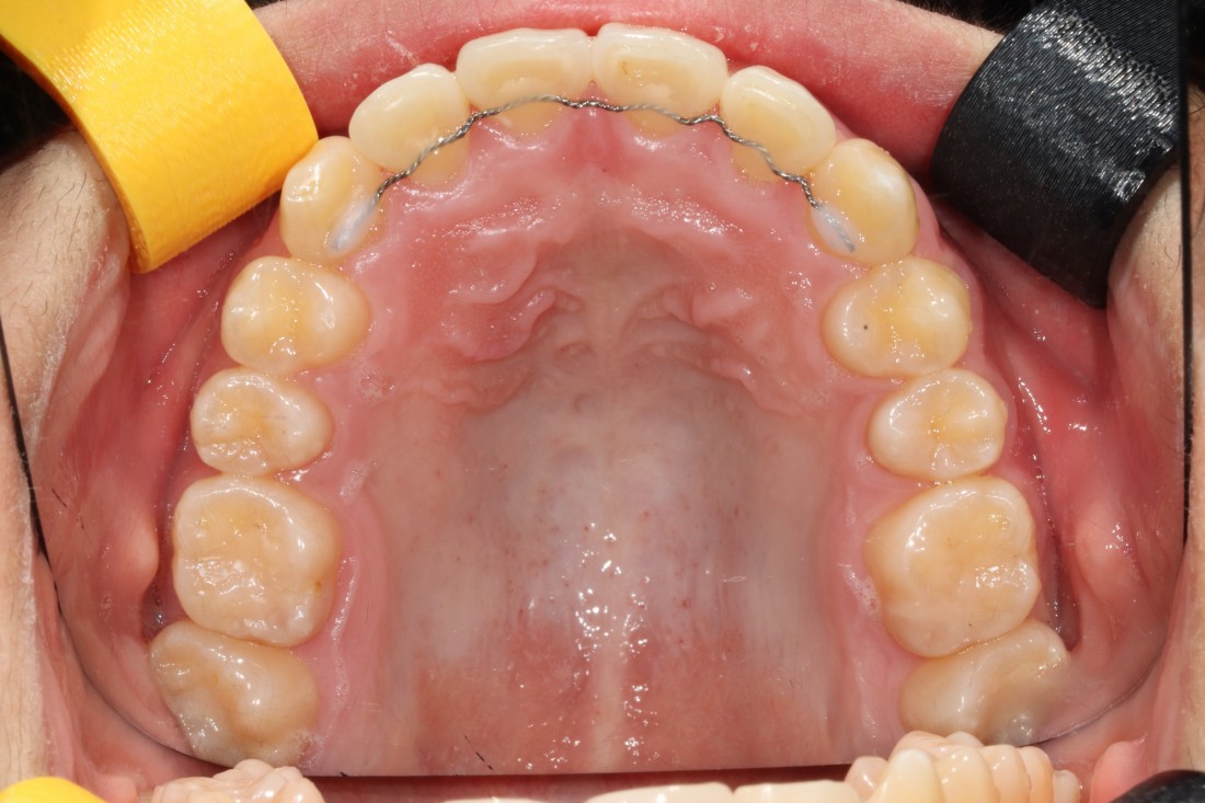
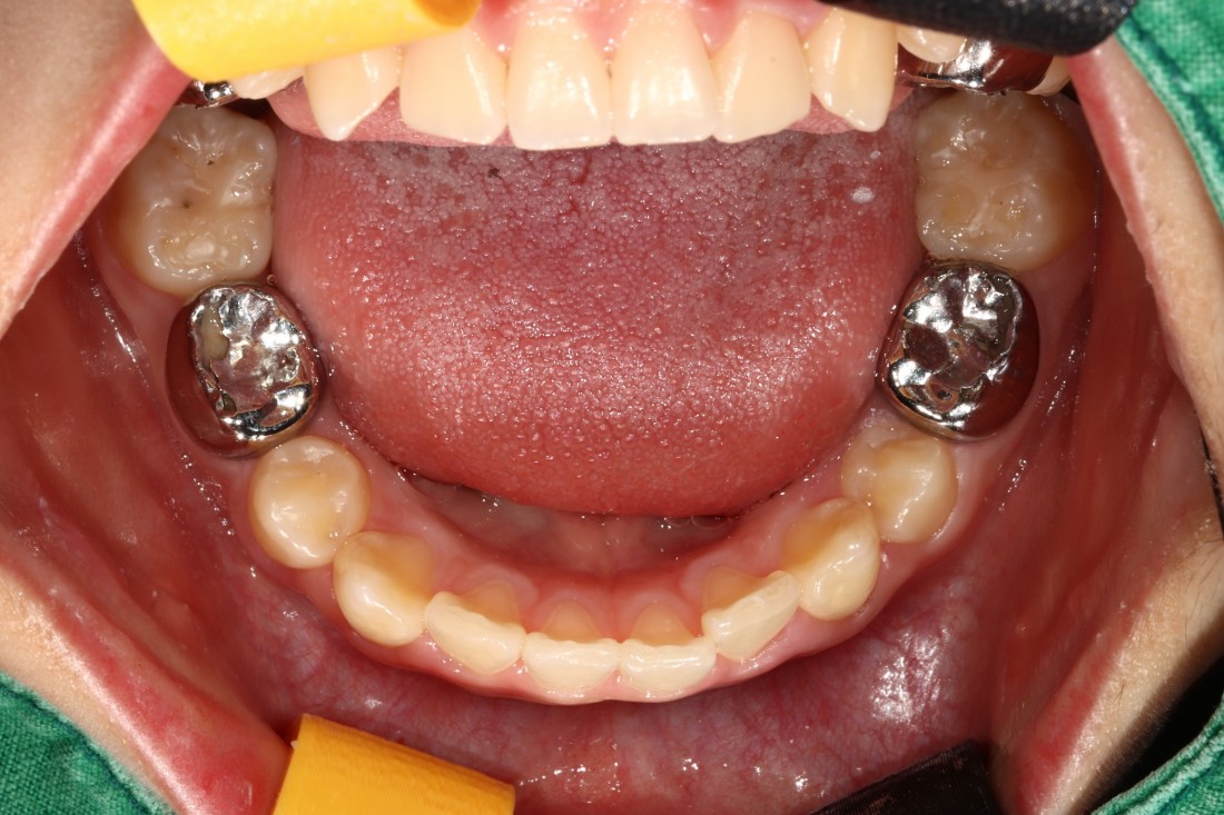
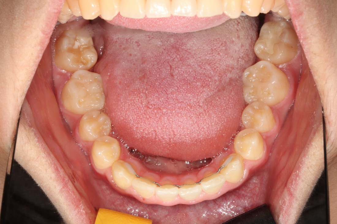
광주 덧니교정 치과는
대표원장인 제가 직접
다양한 교정 전/후 케이스를
공유하고 있습니다.
다양한 각도에서 촬영한
교정 전/후 사진을 직접 확인할 수 있어
광주 덧니교정 치과의
실력있는 진료를 증명하고 있습니다.
발치를 진행한 덧니교정이나
비발치 덧니교정 모두
다양한 케이스를 보유하고 있기 때문에
나의 구강구조와 비교해보면서
성공적인 교정치료 결과를
기대해보실 수 있습니다.
![]() | ![]() |
광주 덧니교정 치과는
4층 VIP 교정진료실을 운영합니다.
교정 진료만을 전담하는
교정전담팀 진료를 통하여
보다 전문적인 교정진료를
제공하고 있습니다.
또한, 오직 단 한 분만을 위해
준비해놓은 1인 룸 진료실에서
프라이빗한 교정진료를 받으실 수 있습니다.
20년 이상의 교정진료 경력으로
실력이 검증된 교정전문의 진료를
합리적인 가격으로,
프라이빗 진료실에서 받을 수 있는
광주 덧니교정치과에서
성공적인 치아교정을 약속드립니다.
![]() | ![]() |
광주 덧니교정 치과를
선택할 때 주차를 중요하게
생각하시는 분들도 많으실텐데요.
병원에 가기 전부터
주차 스트레스가 생기면
매 달 정기검진이 필요한
교정진료에 힘들 수 있기 때문에
광주 덧니교정 치과에서는
건물 뒷편에 발렛요원이 대기하고 있으며
무료 발렛 주차를 도와드립니다.
광주 교정진료 후에는
미리 출차까지 도와드리니
편하게 광주 교정치과에 방문해주세요!











