안녕하세요~
광주 교정전문
서울우리아이치과
조원빈 대표원장입니다.
교정 전담 의료진의 케어로
세심하고 전문적인
광주 교정전문 치과에서

광주 교정전문 치과에서는
4층 VIP 치아교정 진료실을 운영합니다.
오직 치아교정 진료만을 담당하는
교정 전담 의료진이 상주하고 있어
더욱 전문적인 치아교정 진료가 가능하기에
치아교정 중간에 장치가 떨어지는 등
불편한 상황이 생겨도
빠른 대처가 가능합니다.
![]() | ![]() |
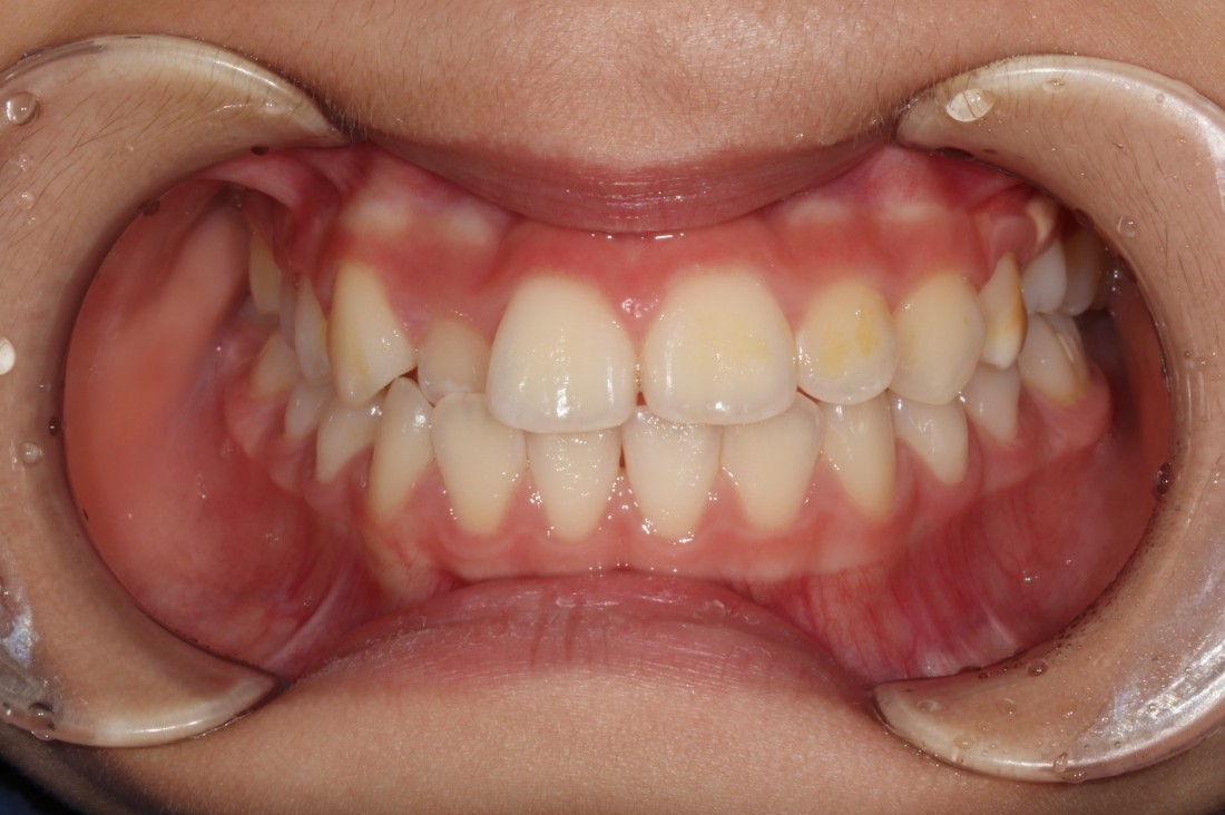
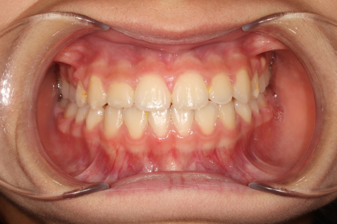
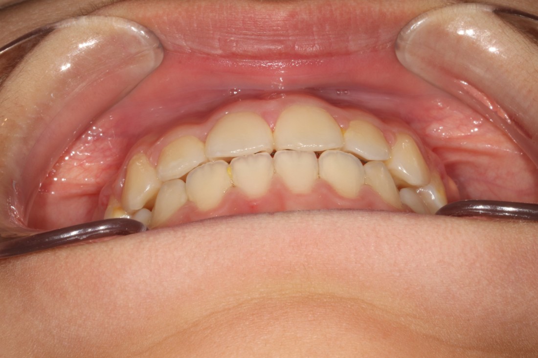
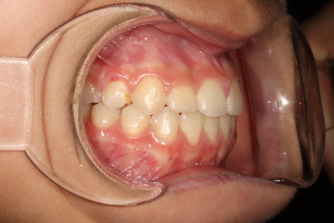
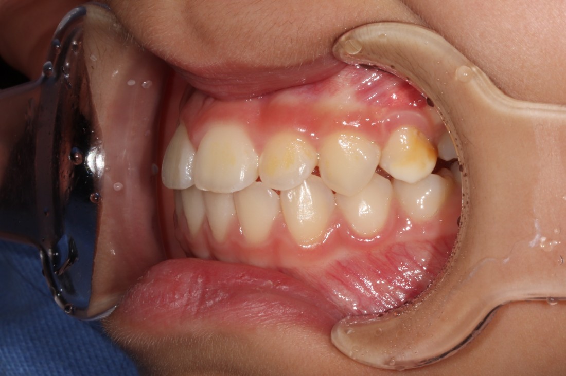
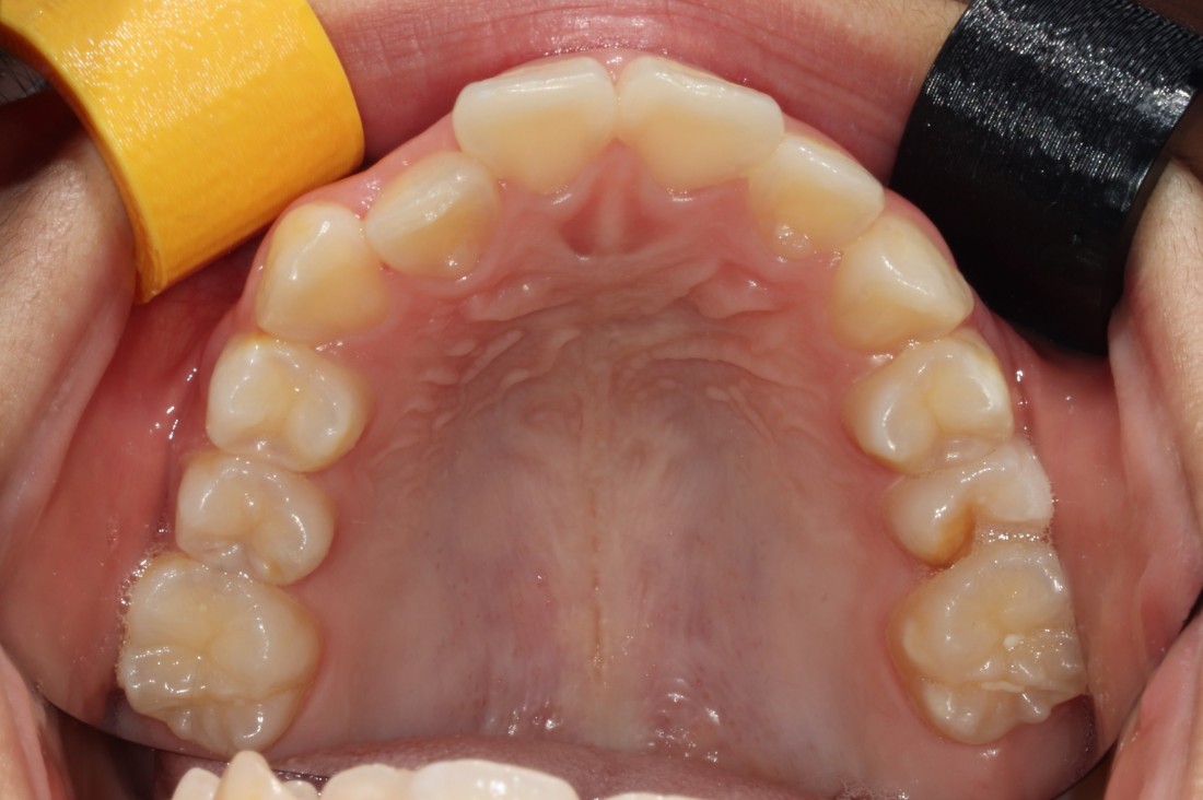
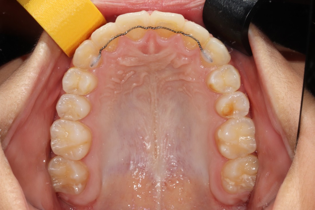
수많은 교정케이스가 증명하는
광주 교정전문 실력
광주 교정전문 치과는
수 백가지가 넘는 치아교정 전/후 사례를
홈페이지에 공유하고 있습니다.
정면 사진 뿐만 아니라
측면, 상악, 하악 사진까지
다양한 각도에서 촬영된
교정 전/후 사진을 비교해보시면
광주 교정전문 치과의
검증된 실력을 확인하실 수 있습니다.
![]() | ![]() |
치아교정을 비롯한 대부분의 진료는
많이 경험해본 치과의사가
가장 잘하게 되어있습니다.
어떠한 다양한 케이스의 경우에도
최적의 치료방법을 찾을 수 있기 때문에
20년 이상의 교정경력을 가진
교정전문의 대표원장이 책임진료하는
광주 교정전문 치과를 선택하는 것이 중요합니다.
![]() | ![]() |
광주 교정전문
교정전문의 진료와 함께
구강외과 임플란트
구강내과 턱관절 진료
전문의 라미네이트
전문의 충치치료까지
모든 치과진료를 한곳에서
광주 교정전문 치과에서
교정전문의 진료만 가능하다면
충치치료나 발치를 위하여
다른 치과를 방문해야하는
번거로운 일들이 생길 수 있습니다.
그러나 서울우리아이치과는
4층 VIP 교정진료실 뿐만 아니라
각 분과별 전문의 진료를 통하여
치아교정 + 임플란트
치아교정 + 라미네이트
치아교정 + 턱관절 진료
치아교정 + 충치치료 등
다양한 구강건강 관리를
모두 한 번에 받을 수 있는
광주 교정전문 치과입니다.
![]() | ![]() |
광주 교정전문
교정전문의만 있는 치과인가요?
분과별 전문의가
모두 필요한 이유가 있습니다.
광주 교정전문 치과는
교정전문의 진료 뿐만 아니라,
분과별 전문의 대표원장님 5인의 협진으로
토탈 구강케어를 책임집니다.
특히 교정진료 전에 충치치료가 필요한 경우,
교정진료와 동시에
충치진료를 마무리해야하는 경우 등
다양한 케이스가 존재할 수 있기 때문에
광주 교정전문 치과에서
적절한 시기에 필요한 진료를 추천받아
성공적인 치아교정을 완성할 수 있습니다.
![]() | ![]() |
월 진료비 없이
합리적인 광주 교정전문
광주 교정전문 치과는
치아교정 진료에 필요한
모든 비용을 포함한 가격으로
치아교정을 진행합니다.
교정 전 정밀검사 비용
발치비용 (필요시)
교정장치 비용
월 진료비용
유지장치 비용 등
다양한 항목의 교정진료 비용이
추가될 수 있지만,
광주 교정전문 치과에서는
추가금액 없이 모든 비용을 포함하여
합리적인 치아교정 가격으로 진행합니다.

월요일 야간진료
수요일 야간진료
토요일 오후4시까지 진료
교정전문의 대표원장이
직접 1:1 맞춤 책임진료합니다.
광주 교정전문의 진료를
평일 야간이나 토요일 오후에도
받고 싶으신 분들이 많으실텐데요.
광주 교정전문 서울우리아이치과는
월요일 야간진료
수요일 야간진료
토요일 오후4시까지
교정전문의 대표원장님의
1:1 맞춤 책임진료를 제공합니다.
평일에 시간이 없는 학생 분들이나
직장인 분들도 편하게 방문하셔서
광주 교정전문 진료를 받으실 수 있습니다.









