개방교합 (Open bite)
개방교합은 말 그대로,
윗니와 아랫니가 입을 다물어도
맞물리지 않는 상태입니다.
정상교합은 윗니가 아랫니를
살짝 덮으며 맞물려야 하지만,
개방교합의 경우 어금니가 맞닿아도
위/ 아래 앞니가 닿지 않습니다.

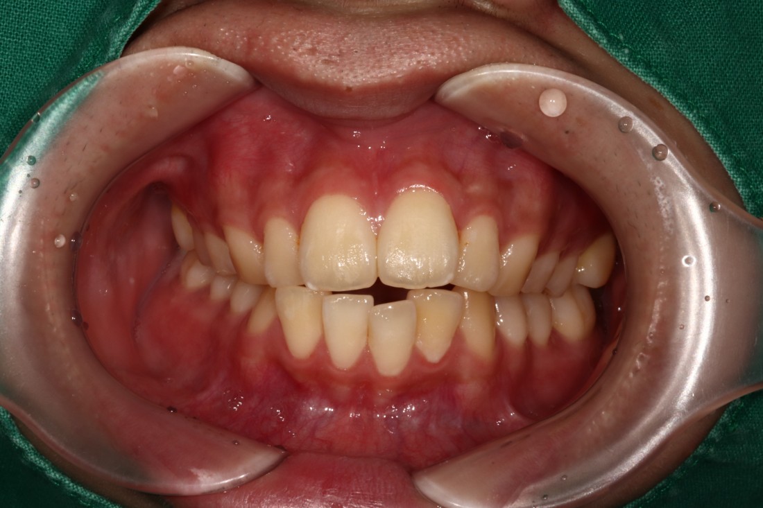
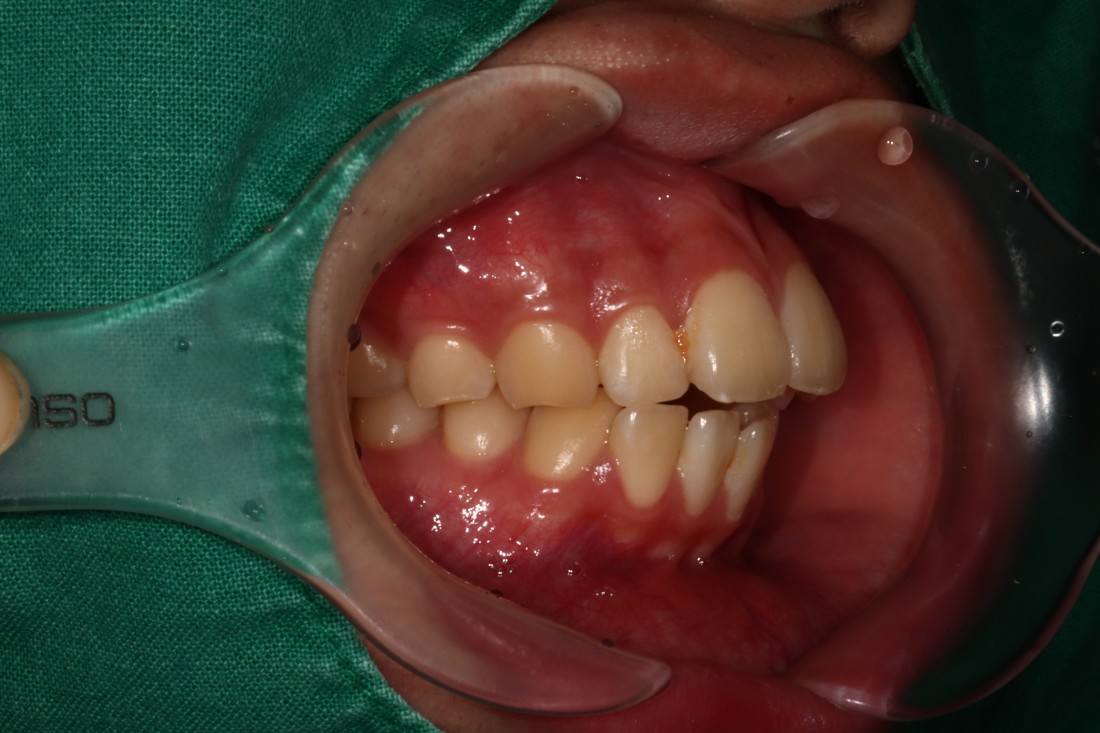
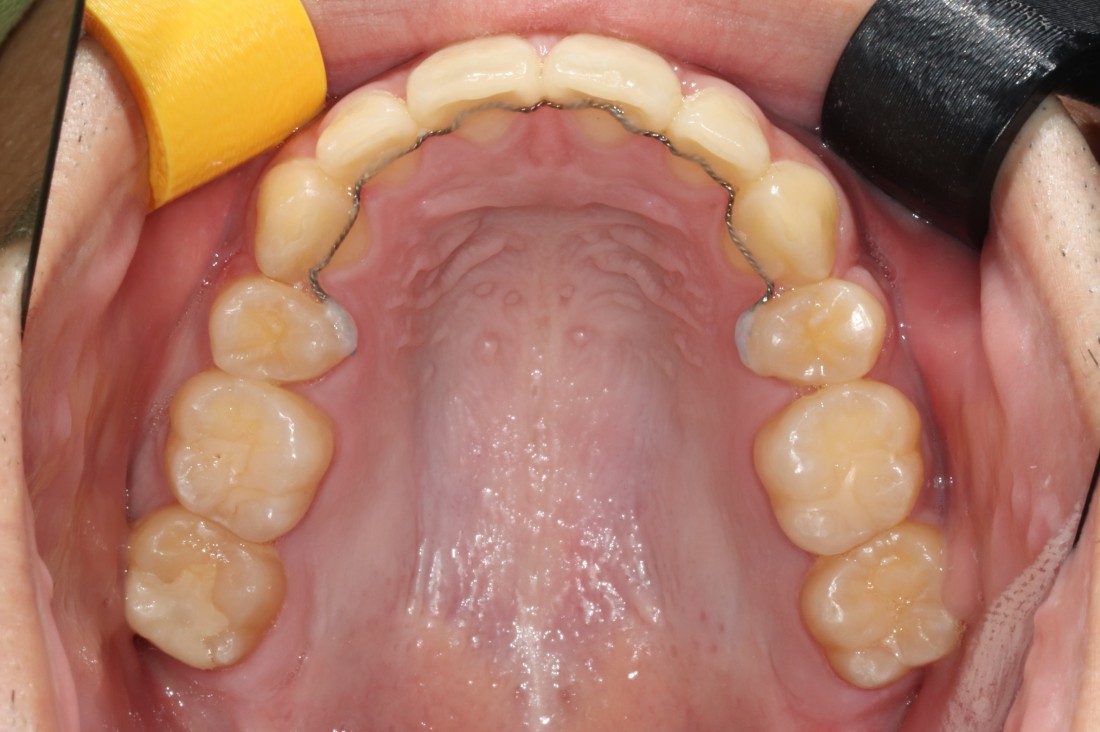
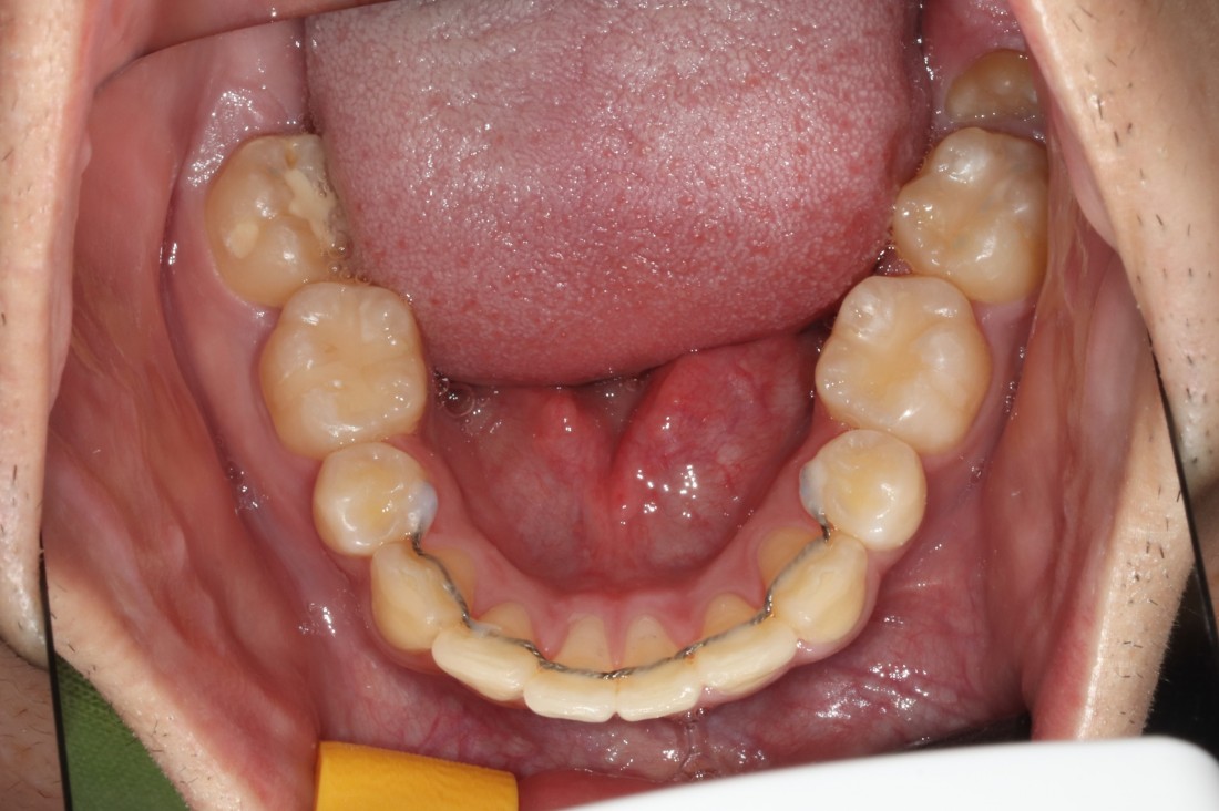
광주 개방교합 교정을 위해
방문해주신 30대 남성 환자분의
교정 전 사진입니다.
어금니를 맞닿게 하여서 입을 다물어도
윗니와 아랫니가 만나지 않는데요.
정상적인 교합은 윗니가 아래치아를
살짝 덮으면서 앞니로도 음식을
잘 씹어먹을 수 있게 되어있지만,
이렇게 개방교합의 경우에는
윗니와 아랫니가 만나지 않기 때문에
앞니로 부드러운 면발을 씹는 것 조차
불가능한 경우가 많습니다.
![]() | ![]() |
20년 넘게 교정진료만을 담당해온
교정전문의 진료로
광주 개방교합을 개선합니다.
광주 개방교합 치과의
교정전문의 대표원장님은
조선대학교 교정과 임상교수 출신으로
이미 전공의 시절부터 다수의 우수논문상 수상 등
실력면에서 입증을 받으신 분입니다.
20년 넘게 치아교정 진료만을 담당해오신
실력있는 교정전문의 대표원장님께서
1:1 맞춤 책임진료로
성공적인 광주 개방교합 교정을 약속드립니다.
![]() | ![]() |
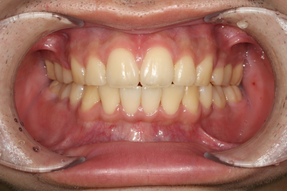
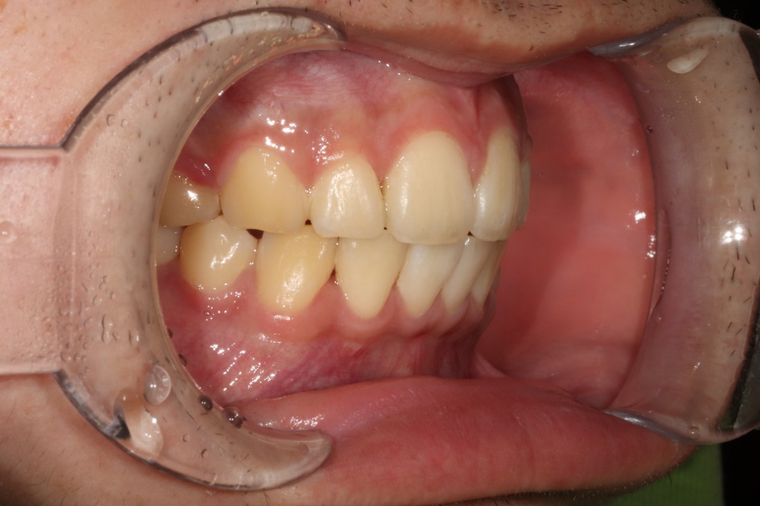
수많은 개방교합 교정케이스를
보유하고 있는
광주 개방교합 교정치과를 믿으세요.
무엇보다도 개방교합은 교정전문의의
섬세한 교정 전 진단과
꼼꼼한 치료계획 세우는 단계가
정말 중요합니다.
광주 개방교합 교정치과에서는
대학병원급 최첨단 정밀검사 장비를 이용해
3차원 105항목 정밀검사를 진행하고,
20년 경력의 교정전문의 대표원장님의
섬세한 상담을 통하여
치료목표를 설정하고 있습니다.
수많은 개방교합 교정 케이스를 보유하고 있으며,
교정 전/후 사진을 다양하게
홈페이지에 공유해드리고 있으니
광주 개방교합 치과의 실력을 믿으셔도 좋습니다.
![]() | ![]() |
- 1인 룸 교정진료실 운영
- 모든 비용을 포함하여
추가결제 없는 교정치과
- 교정 전담 의료진 상주
- 무료 발렛 주차 지원
광주 개방교합 교정치과는
4층 VIP 교정진료실을 운영합니다.
오직 단 한 분만을 위해 준비된
1인 룸 진료실에서
교정진료만을 담당하는
교정전담 의료진의 섬세한 진료로
전문적인 교정진료를 제공합니다.
![]() | ![]() |
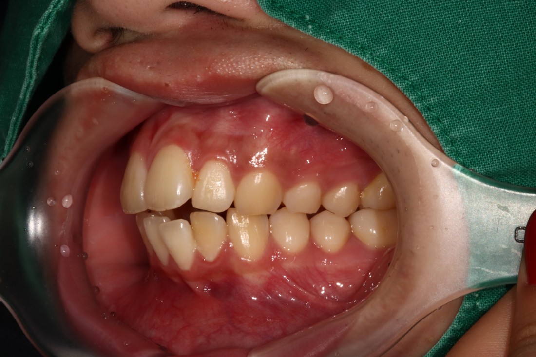
광주 개방교합 교정진료를 하다보면
개인별로 치아이동 속도가 매우 다른데요.
치아교정 기간은 일반적으로
1년 6개월 ~ 2년으로 안내해드리지만,
치아이동 속도나 턱 관절 영향 등으로
치료기간이 예상보다 늦어질 수 있습니다.
그럴때마다 월 3만원 ~ 5만원 사이의
월 진료비가 발생하게 된다면
수십만원의 비용부담으로 이어질 수 있습니다.
광주 개방교합 교정치과는
교정진료에 필요한 모든 비용을 포함하여
교정 전 정밀검사 비용
월 진료비용
교정장치 비용
유지장치 비용
등 추가금액 결제 없이
동일한 금액으로 치아교정 진료를 진행합니다.
![]() | ![]() |
치아교정 과정은
담당 교정전문의 원장님과
오랜기간 호흡을 맞춰나가야 하는
긴 여정입니다.
부담없이 정기검진에 오실 수 있도록,
부담없이 교정진료를 성공적으로 완성하고
재교정을 방지하기 위하여
광주 개방교합 교정치과는
교정전담 의료진의 1:1 맞춤 케어를 진행합니다.
![]() | ![]() |
광주 교정치과,
교정전문의만 있으면 될까요?
교정과, 구강외과, 구강내과 등
구강건강 관리에 필요한
분과별 전문의가 있는 곳에서
토탈 구강케어를 받으셔야합니다.
광주 개방교합 교정치과를 선택할 때
교정전문의 진료만 필요한 것은 아닙니다.
교정진료와 함께 충치치료가 필요하신 분도 있고,
임플란트를 동시에 식립하시면
치아교정 기간이 훨씬 단축되는 분들도 계시며,
라미네이트 진료를 함께 진행하면
훨씬 치료효과가 좋은 분들도 계십니다.
광주 개방교합 치과는
교정과 전문의를 비롯하여
구강외과, 구강내과 전문의 등
구강케어 전문가들로 구성되어 있으며
분과별 전문의 협진 시스템을 통하여
원하는 치료목표에 효율적으로
도달할 수 있습니다.

광주 개방교합 치과에서는
개방교합 치료 후기 뿐만 아니라,
다양한 성인부정교합 교정 케이스를
투명하게 공개하고 있습니다.
수 백가지가 넘는 교정케이스를
다양하게 공유해드리고 있기 때문에
실력 면에서는 믿고 맡겨주셔도 좋습니다.











