toggle navigation
새로네이트
임플란트
치료전-후
치아교정
홈페이지 바로가기
로그인
회원가입
홈
새로네이트
2026-01-21 10:56:14
|
서울우리아이치과
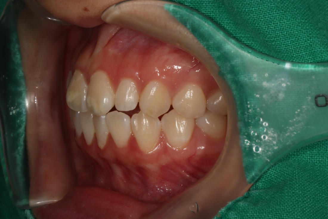
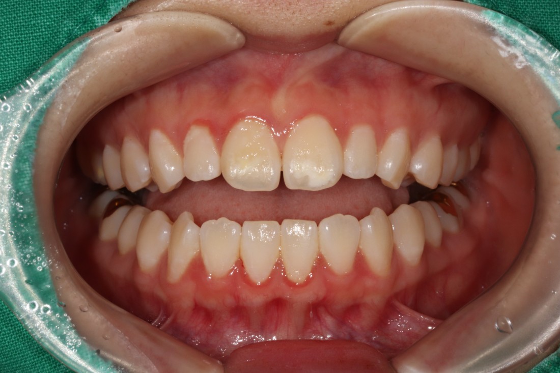
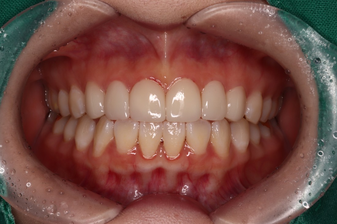
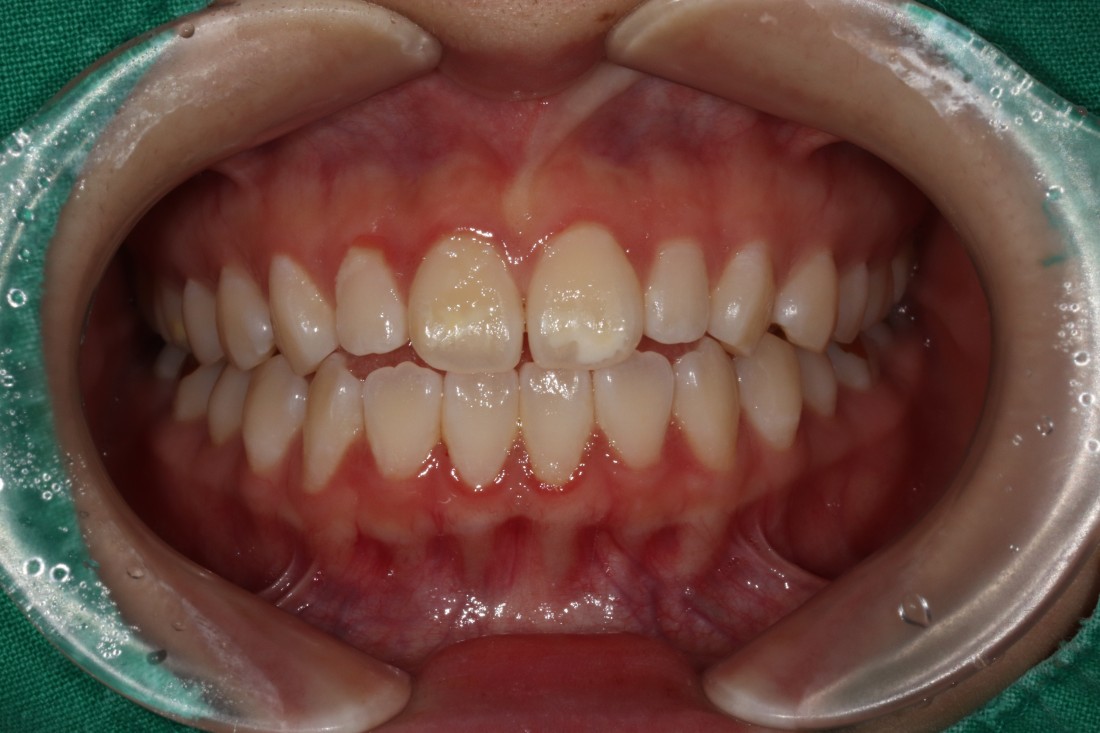
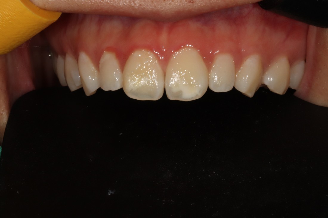
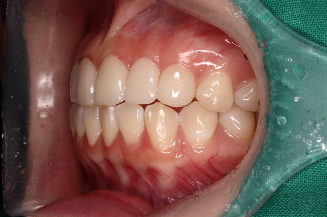
광주앞니라미네이트 얼룩덜룩한 앞니가 고민이라면
이전글
광주무삭제라미네이트 삭제량을 최소화한 완전히 새로운 새로네이트가 궁금하다면
2026-01-19
다음글
광주라미네이트치과에서 왜소치를 개선한 사례가 궁금하디면
2026-01-23
목록보기
빠른상담 문의
빠른 상담신청
카카오톡 채널 추가
카톡 상담
네이버 예약
전화예약
062-710-2870
광주광역시 광산구
임방울대로 321, 5층
채팅
예약