광주 무삭제라미네이트 치과에서는
서울 강남에서 라미네이트 진료만을
10년 넘게 해오고 계신
전문의 고석호 원장님의
1:1 맞춤 라미네이트 진료로 진행합니다.
치과의사를 가르치는 치과의사로
이미 실력면에서 입증을 받으시고
수많은 연예인, 인플루언서 라미네이트 시술자로
유명하신 분이기 때문에
서울까지 가지 않고도
광주 무삭제 라미네이트 진료를
받으실 수 있습니다.

과거에는 기술이 발달하지 못해서
치아 삭제량을 많이 하는
라미네이트 진료가 많았는데요.
현재는 라미네이트 기술력의 발달로
미세가공법을 이용하여
광주 무삭제 라미네이트 진료가 가능합니다.
서울우리아이치과의 새로네이트는
서울의 유명 치아기공소에서 직접
모든 과정을 100% 수작업으로
제작하고 있기 때문에
얇으면서도 자연스러운 보철물을 제작합니다.
![]() | ![]() |
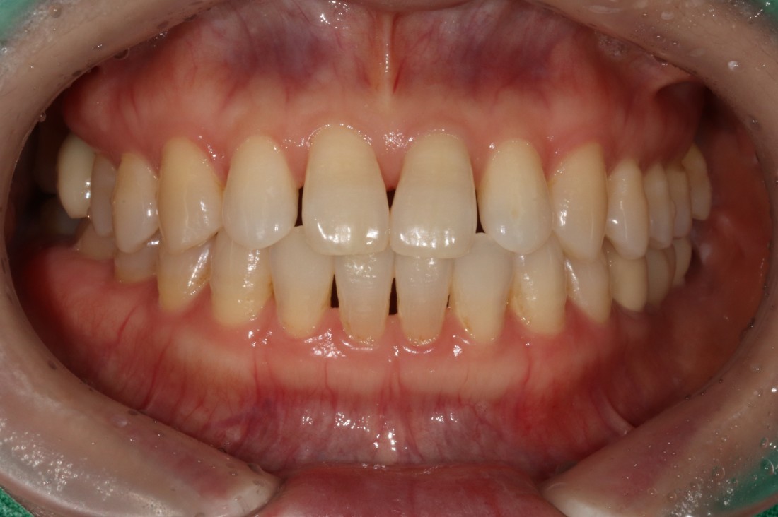
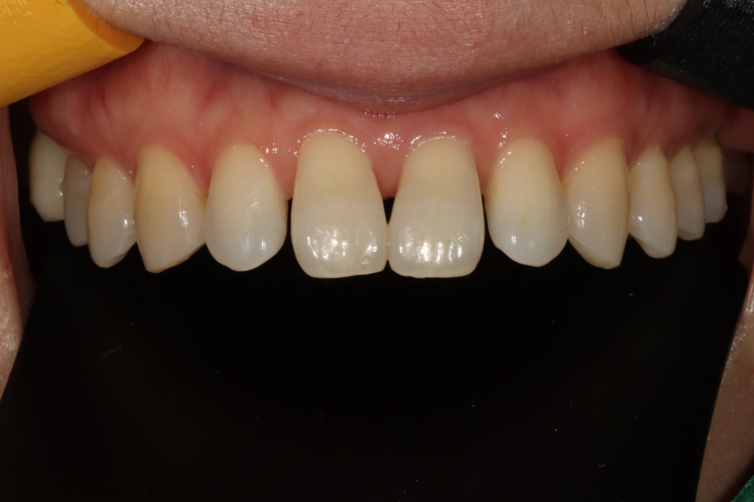
가장 환하게 웃을 때 보이는 치아가
윗니 6개 (육전치) 이기 때문에
라미네이트 상담 시
가장 많이 추천해드리고 있는데요.
전체 치아교정을 하기에는
시간, 비용이 부담되시는 분들에게
벌어진 치아의 경우
무삭제(최소삭제) 라미네이트 진료를 통해
일주일만에 빠르게 급속치아교정 효과를
얻을 수 있는 광주 라미네이트 진료를
추천드립니다.
![]() | ![]() |
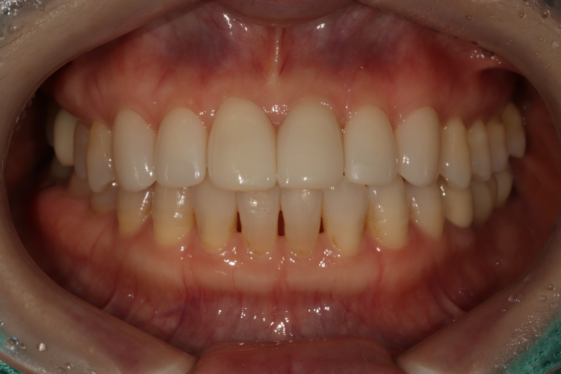
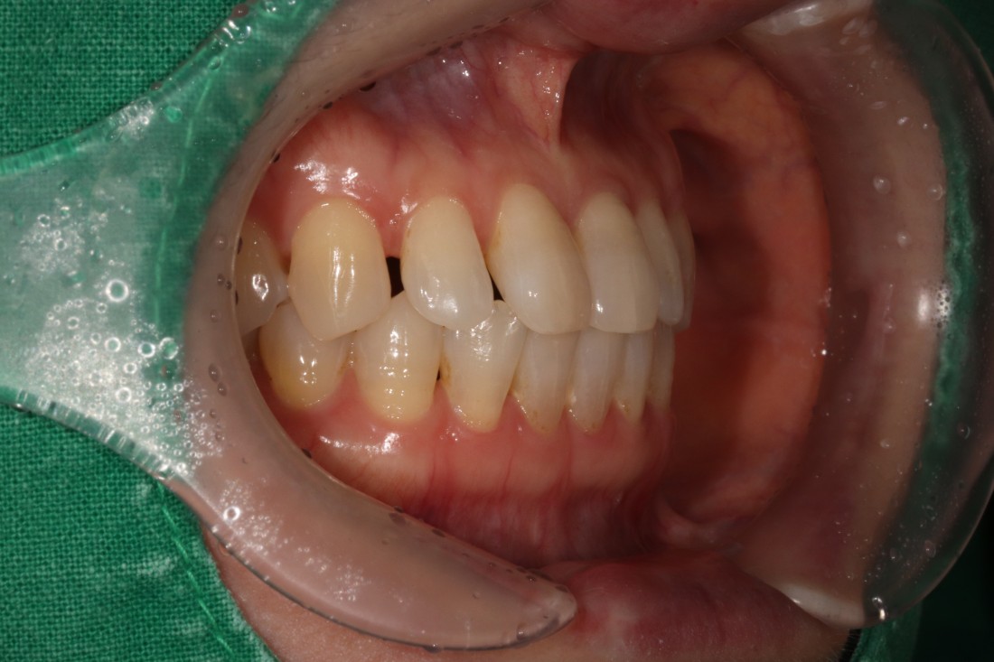
광주 무삭제 라미네이트 치과를 검색하면
정말 많은 치과가 나오는데요.
광고성 글이 아닌
진짜 라미네이트 진료 전/후 사진을
투명하게 공개하는 치과가
가장 신뢰할 수 있으실 겁니다.
광주 무삭제 라미네이트 진료는
경험이 풍부한 라미네이트 의료진이 있는
새로네이트 치과를 선택하세요!
![]() | ![]() |
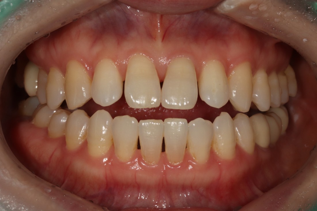
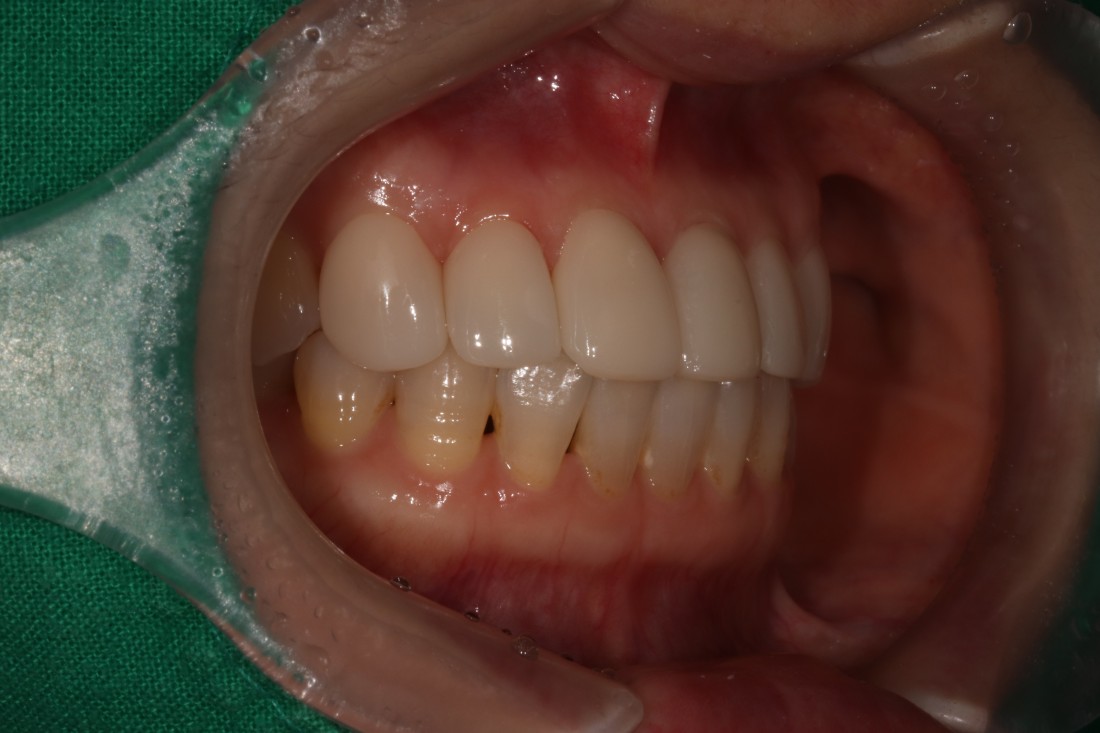
광주 무삭제 라미네이트 치과는
모든 분들에게 똑같은 진료를 권하는 것이 아닌,
개인별로 최적의 치료계획을 세워서
분과별 전문의 협진으로
최상의 치료결과를 만들어냅니다.
전문의 라미네이트 진료 뿐만 아니라
구강외과 전문의 임플란트,
구강내과 전문의 턱관절진료,
치아교정과 전문의 교정진료 등
다양한 치료방법을 조합하여
개인별로 최적의 치료계획을 통해
내 구강 구조에 제일 잘 맞는
치료법을 제시하고 있습니다.
![]() | ![]() |
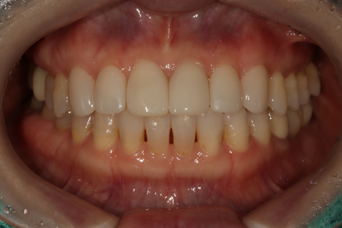
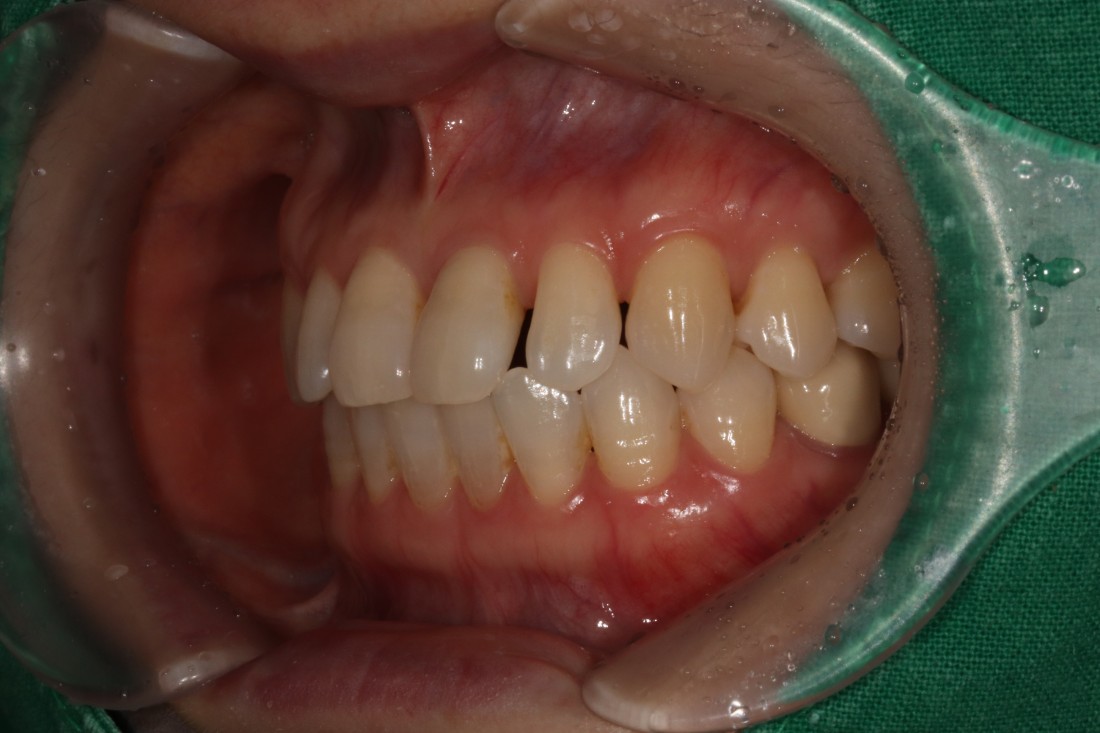
누가봐도 라미네이트 한 것 같은
뭉툭하고 새하얀 치아가 아니라,
광주 무삭제 라미네이트 치과는
'자연스러운 아름다움'을 추구합니다.
그렇기 때문에 20대부터 60대까지
정말 다양한 연령대의 고객님들이
지인 추천으로 방문해주시고 계신데요.
단순히 예뻐지기 위함이 아니라,
앞니 컴플렉스를 해결하고
치아의 기능적 요소까지 생각하여
불편함 없는 라미네이트 진료를 위해
노력하고 있습니다.
![]() | ![]() |
광주 무삭제 라미네이트 치과의
새로네이트 진료는
100% 수입산 원자재를 사용하여
치아에 얇은 막을 덧씌운다고
생각하시면 되는데요.
우리가 울퉁불퉁하고 거친 표면에
스티커를 붙이게 되면
들떠서 잘 떨어지게 되듯이,
치아 표면을 매끄럽게 정돈하고 나서
새로네이트를 부착하게 됩니다.
머리카락보다 얇은 두께의
0.2mm 새로네이트 제작을 위해
모든 과정을 100% 수작업으로 진행하며,
치아에 얇은 막을 덧씌우기 때문에
자연치아를 보호하는 효과까지
얻을 수 있습니다.









