안녕하세요~
광주 라미네이트 치과
서울우리아이치과
조원빈 대표원장입니다.
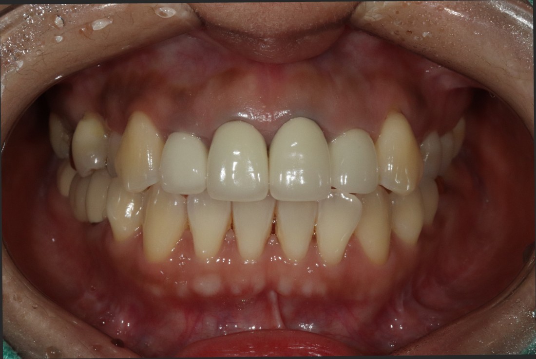
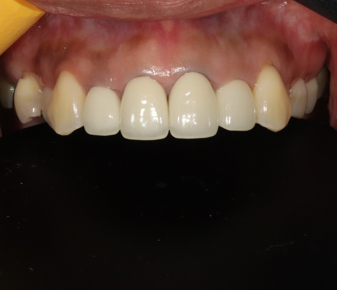
잇몸이 검게 변색되어서
웃을 때 너무 신경쓰여요.
잇몸은 선홍빛을 띄는 것이 일반적이지만,
신경손상이나 치아손상 등의 이유로
검게 변색 될 때가 있는데요.
주변 치아의 잇몸과 비교되면서
검게 변색된 잇몸 때문에
활짝 웃지 못하는 컴플렉스로
작용할 수 있습니다.

광주 라미네이트 치과는
서울 강남에서 라미네이트 진료만을
10년 넘게 해오고 계신
전문의 고석호 대표원장님이
1:1 맞춤 책임진료 하고 있습니다.
라미네이트 진료는 시술자의 능숙한 스킬이
그 무엇보다도 중요하기 때문에
라미네이트 경험이 풍부한 전문 의료진에게
광주 라미네이트 진료를 맡기는 것을
추천드립니다.
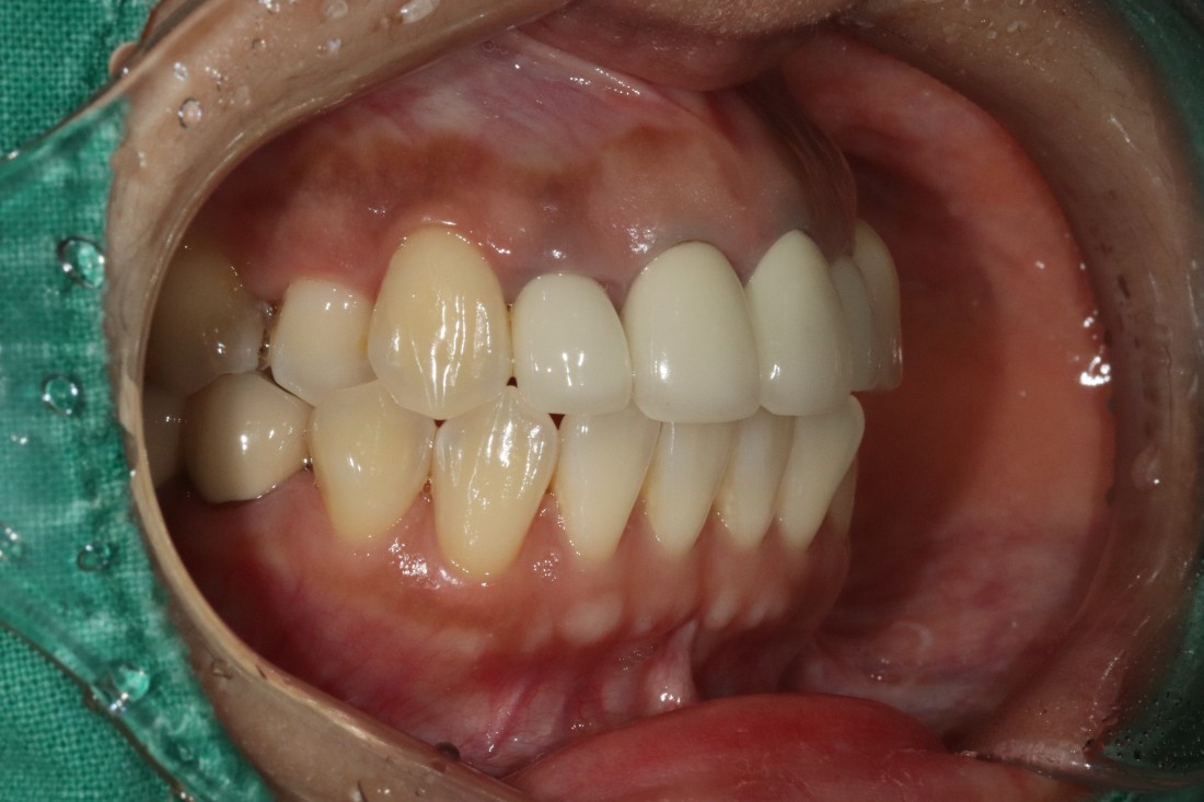
![]() | ![]() |
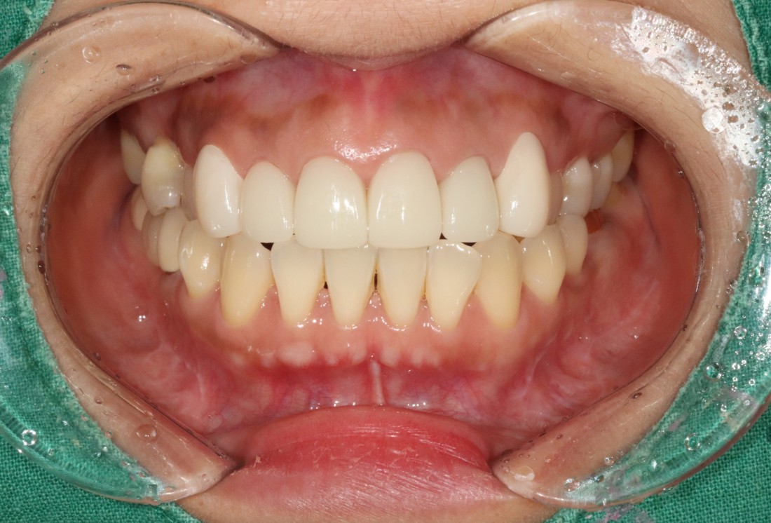
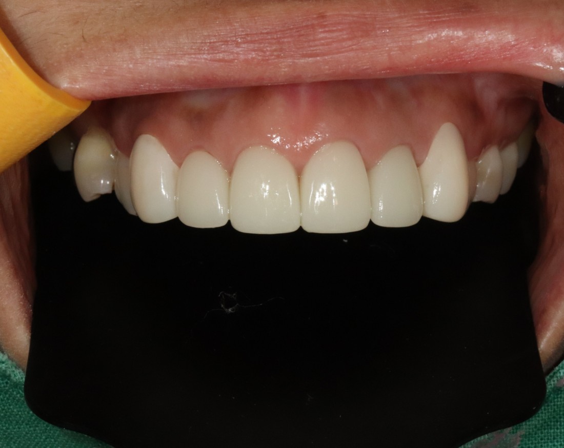
광주 라미네이트 치과의 새로네이트는
진료하는 의사가 직접
새로네이트 시술을 받아보고
대표원장의 가족 및
직원 선생님들까지 새로네이트 진료 후에
안전성과 효과를 검증하여
오랜 연구 끝에 진료를 시작했습니다.
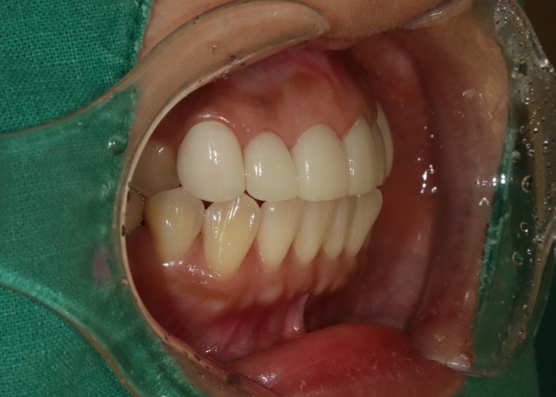
치아삭제량을 최소화하기 위하여
미세가공법으로 머리카락 두께의
0.2mm 얇은 새로네이트를
서울의 유명 치아기공소에서
수작업으로 제작하고 있으며
치아시림 부작용을 최소화하였습니다.
![]() | ![]() |
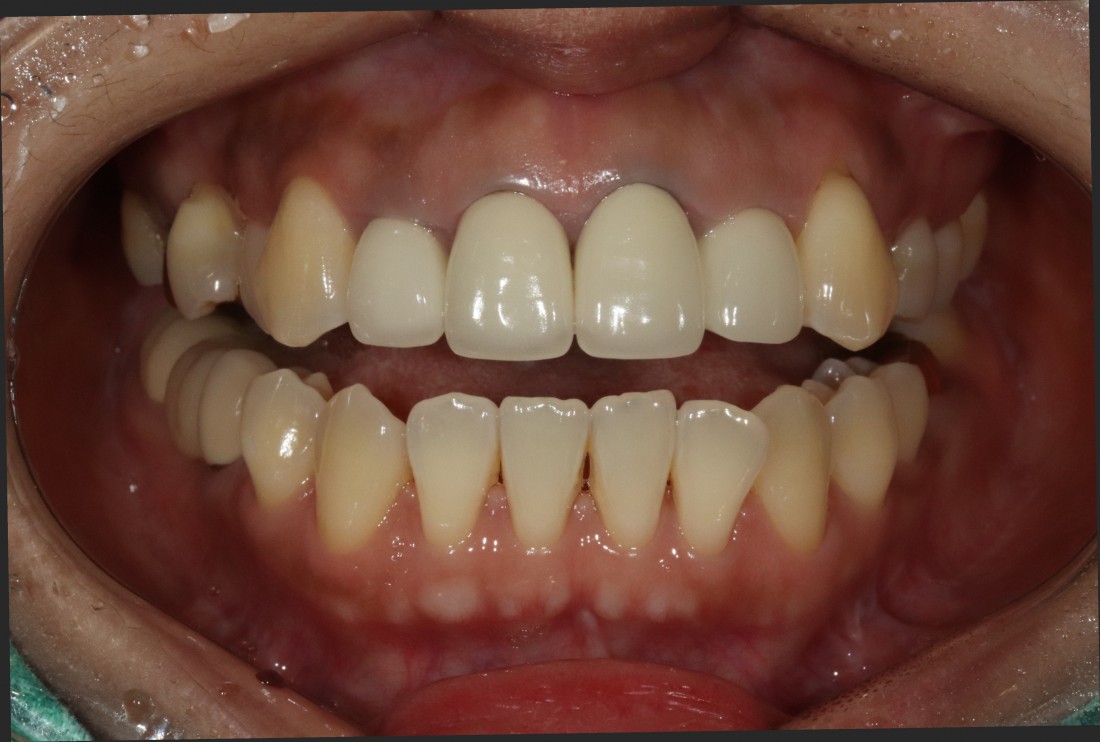
앞니가 사람의 첫인상에
영향을 미치는 정도는
생각보다 정말 많은 비중인데요.
검게 변색된 잇몸은
세련된 이미지를 주기 힘들고,
얼굴색을 밝아보이게 하지 않아서
좋은 첫인상을 만들기에 힘듭니다.
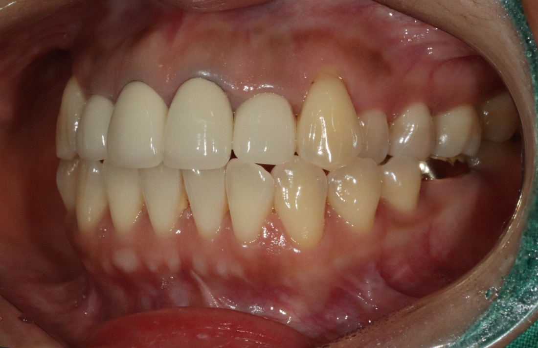
무엇보다도, 까맣게 변색된 잇몸이
활짝 웃지 못하게 하는 방해요인이 된다면
광주 라미네이트 치과에서
무삭제(최소삭제) 라미네이트를 통해
개선하는 것을 추천드립니다.
![]() | ![]() |
오직 단 한 분만을 위해 준비된
1인 룸 진료실에서
프라이빗한 라미네이트 진료가 가능한
광주 라미네이트 치과에서
서울 의료진의 실력을 경험해보세요.
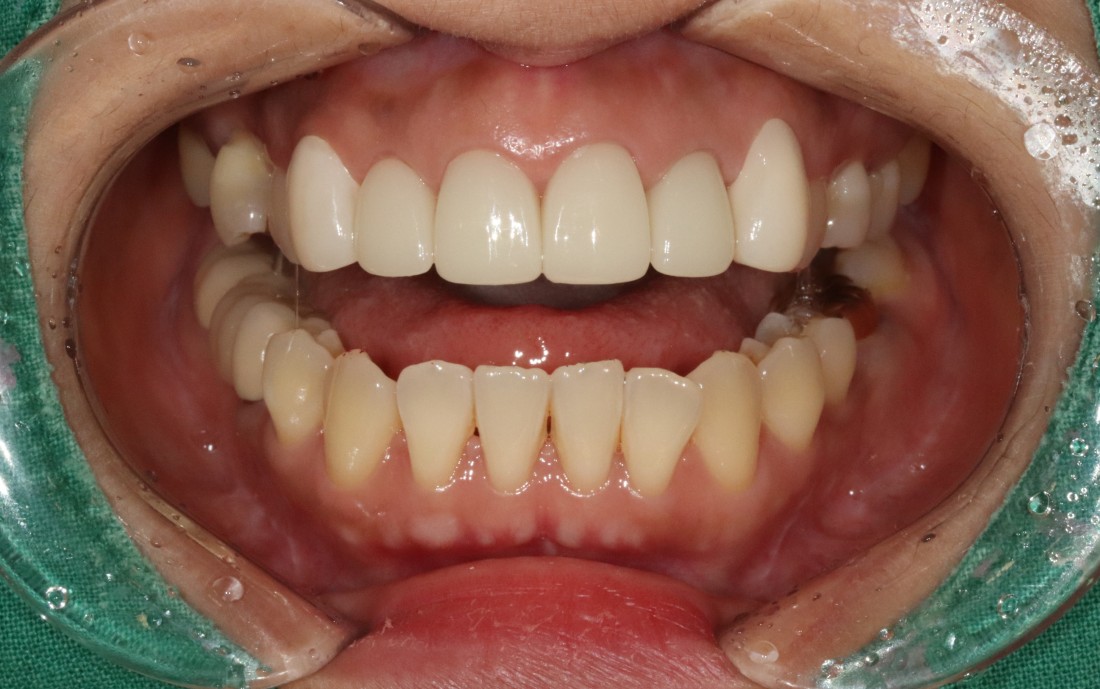
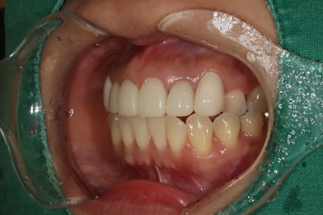
광주 라미네이트 치과의 새로네이트는
100% 수입산 원재료를 사용하고 있으며,
자연치아를 손상시키지 않으면서
위에 한 겹 덧씌우고 있기 때문에
자연치아를 보호하는 효과까지
얻을 수 있습니다.
![]() | ![]() |
미니쉬, 제로네이트, 블랙필름 등
앞니 컴플렉스 해소를 위한
많은 치료방법이 존재하는데요.
대부분 시술하는 의사의 직급에 따라
같은 치과에서도 가격이 다릅니다.
그러나 광주 라미네이트 치과는
오직 전문의 고석호 대표원장님이
모든 과정을 1:1 책임진료 하고 있으며
합리적인 가격의 광주 라미네이트 진료를
제공하고 있습니다.
![]() | ![]() |
가장 활짝 웃을 때 보이는 치아는
윗니 6개 정도이기 때문에
광주 라미네이트 시술 범위는
윗니 6개 정도를 추천드리는데요.
개인별로 원하는 시술부위가
다양하기 때문에
전문의 고석호 원장님과 세심한 상담 후에
라미네이트 시술 개수를 정하고 있습니다.
적게는 1개~2개 정도만
라미네이트 진료를 진행하여도
개선이 가능한 케이스에는
과한 라미네이트 진료를
추천드리지 않을 때도 있습니다.









