toggle navigation
새로네이트
임플란트
치료전-후
치아교정
홈페이지 바로가기
로그인
회원가입
홈
새로네이트
2026-01-28 09:13:52
|
서울우리아이치과
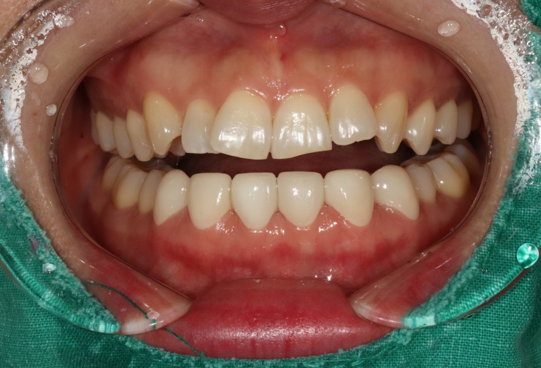
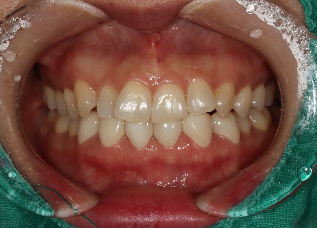
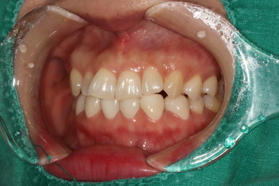
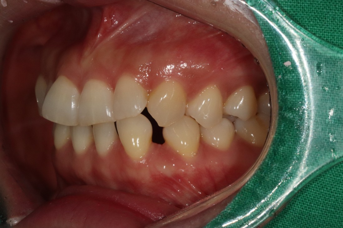
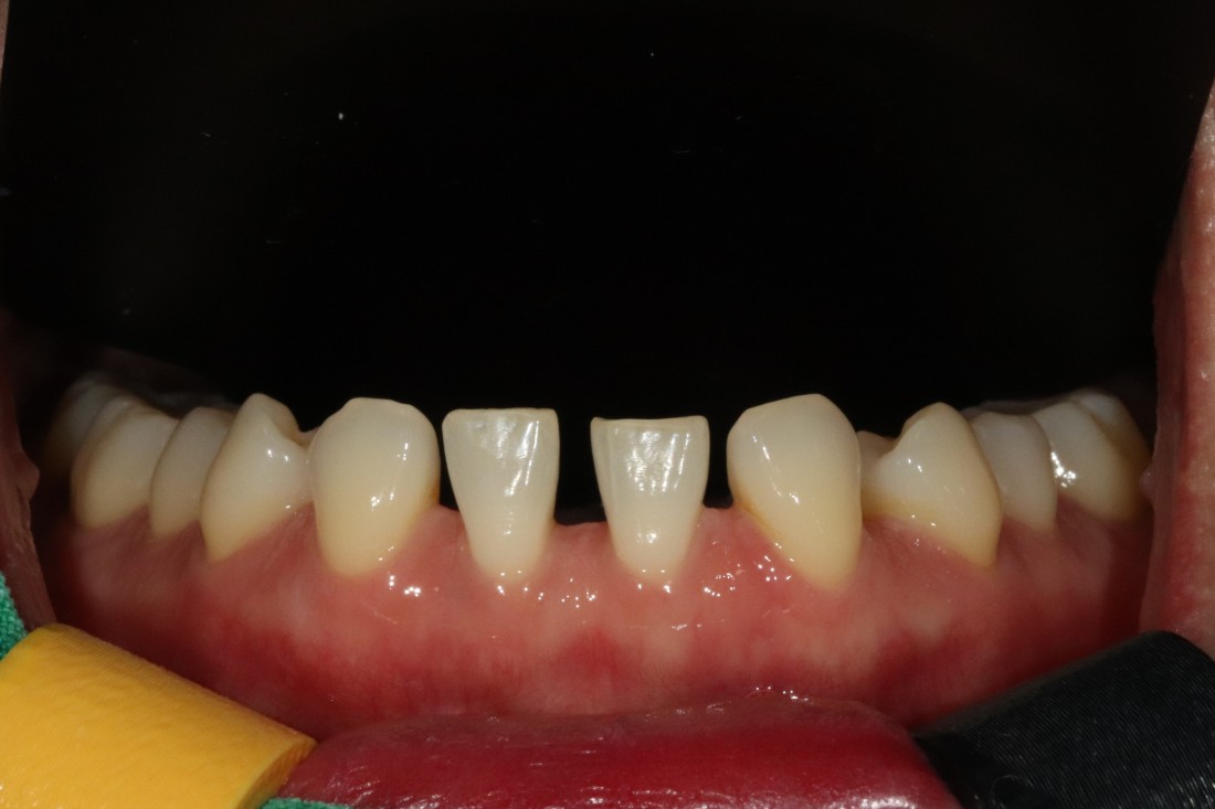
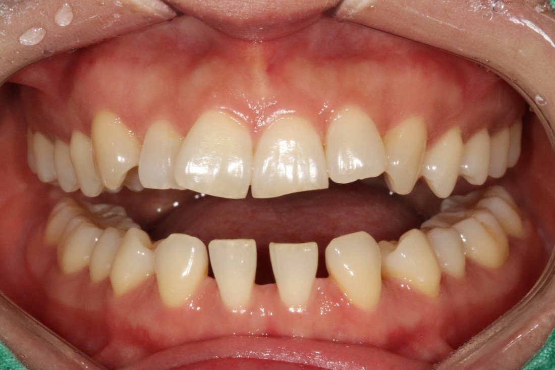
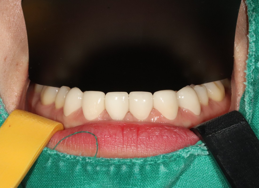
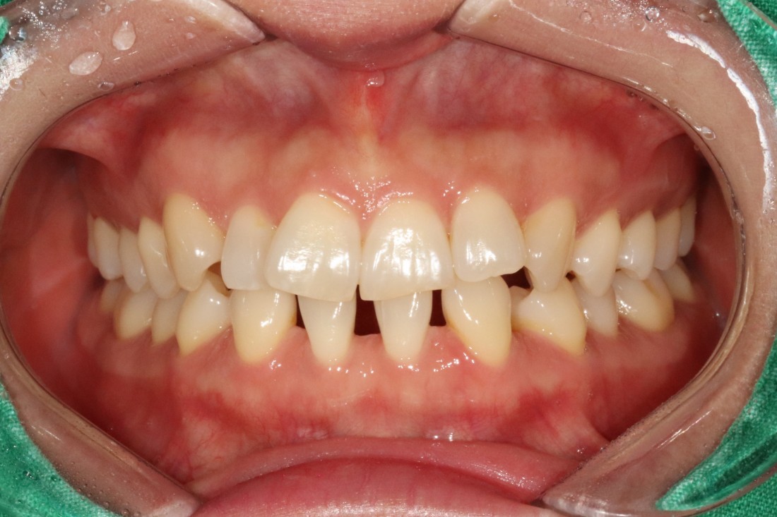
광주라미네이트 아래치아 벌어져 있을 때 급속교정으로 추천하는 이유는
이전글
광주라미네이트치과에서 왜소치를 개선한 사례가 궁금하디면
2026-01-23
다음글
광주라미네이트 치과에서 검게 변한 잇몸색을 개선하는 새로네이트 진료는 무엇일까요
2026-01-30
목록보기
빠른상담 문의
빠른 상담신청
카카오톡 채널 추가
카톡 상담
네이버 예약
전화예약
062-710-2870
광주광역시 광산구
임방울대로 321, 5층
채팅
예약