광산구 교정치과 선택의 핵심
1. 경험많은 교정전문의 인지
2. 추가비용 부담이 없는지
3. 충치치료, 임플란트 등
전문의 동시 협진이 가능한지

광산구 교정치과는
교정 진료만을 20년 넘게 해오고 계신
경험많은 교정전문의 대표원장님이
상담부터 진료 및 사후관리까지
1:1 맞춤 책임진료로 진료합니다.
교정 진료는 1년 이상의 기간이
소요될 정도로 오랜 시간을 두고
천천히 변화하는 과정을 관찰하며
교정전문의와 고객간의 의견조율로
최상의 치료결과를 얻을 수 있는데요.
교정진료 중간에 담당 교정전문의가
바뀔 염려 없는 광산구교정치과를
선택하는 것이 그렇기 때문에
무엇보다 중요합니다.
![]() | ![]() |
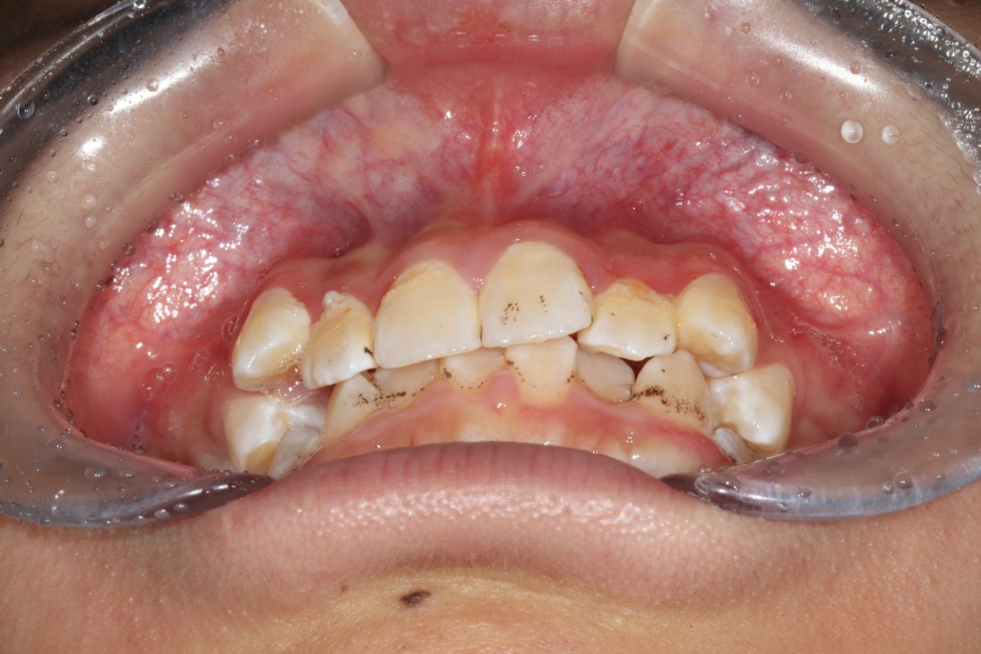
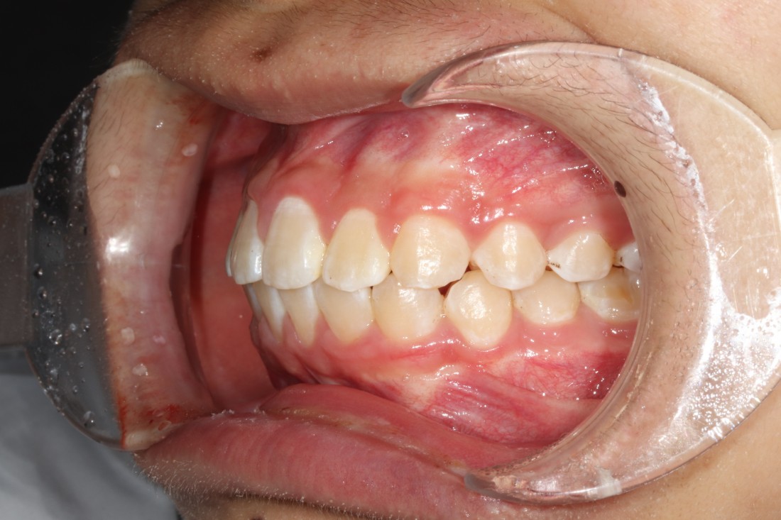
10대 청소년 학생들을 만나다보면
다른 사람들과 마주치거나 대화하는 것도
불편해하는 경우들이 보이는데요.
교정진료 역시 조용한 공간에서
프라이빗하게 받고 싶어하는
경우들이 더 많은 것 같습니다.
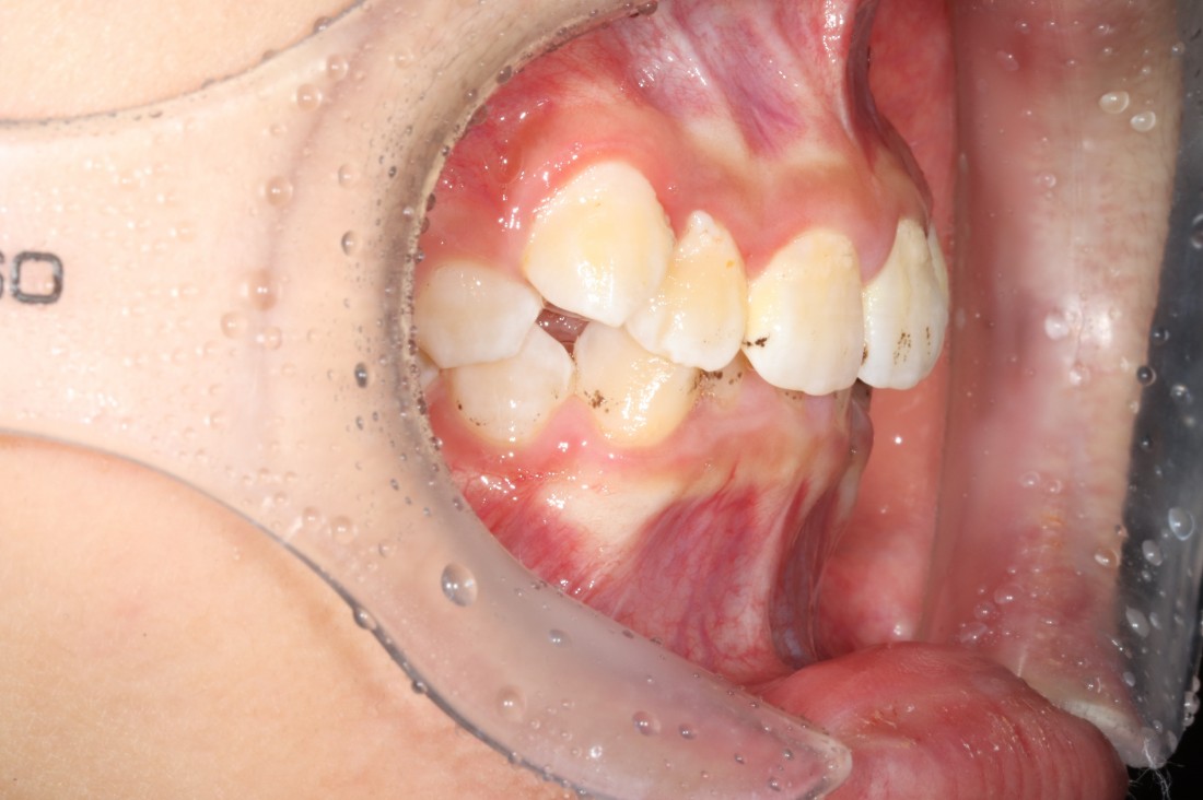
광산구 교정치과는
교정진료만을 담당하는
교정전담 의료진이 상주하고 있어서
전문적인 교정진료를 제공하며,
VIP 1인 룸 교정진료실을 운영하여
오직 단 한 분만을 위해 준비된
프라이빗 교정진료 공간을
준비해놓았습니다.
![]() | ![]() |
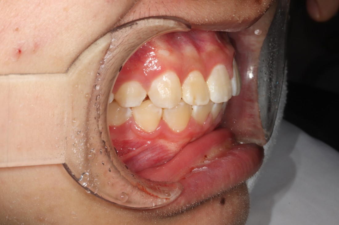
발치, 충치치료,
필요한 경우 임플란트 까지
모두 분과별 담당 전문의가 합니다.
전문의 대표원장
동시 협진 시스템으로
최상의 치료계획을
세우고 있습니다.
![]() | ![]() |
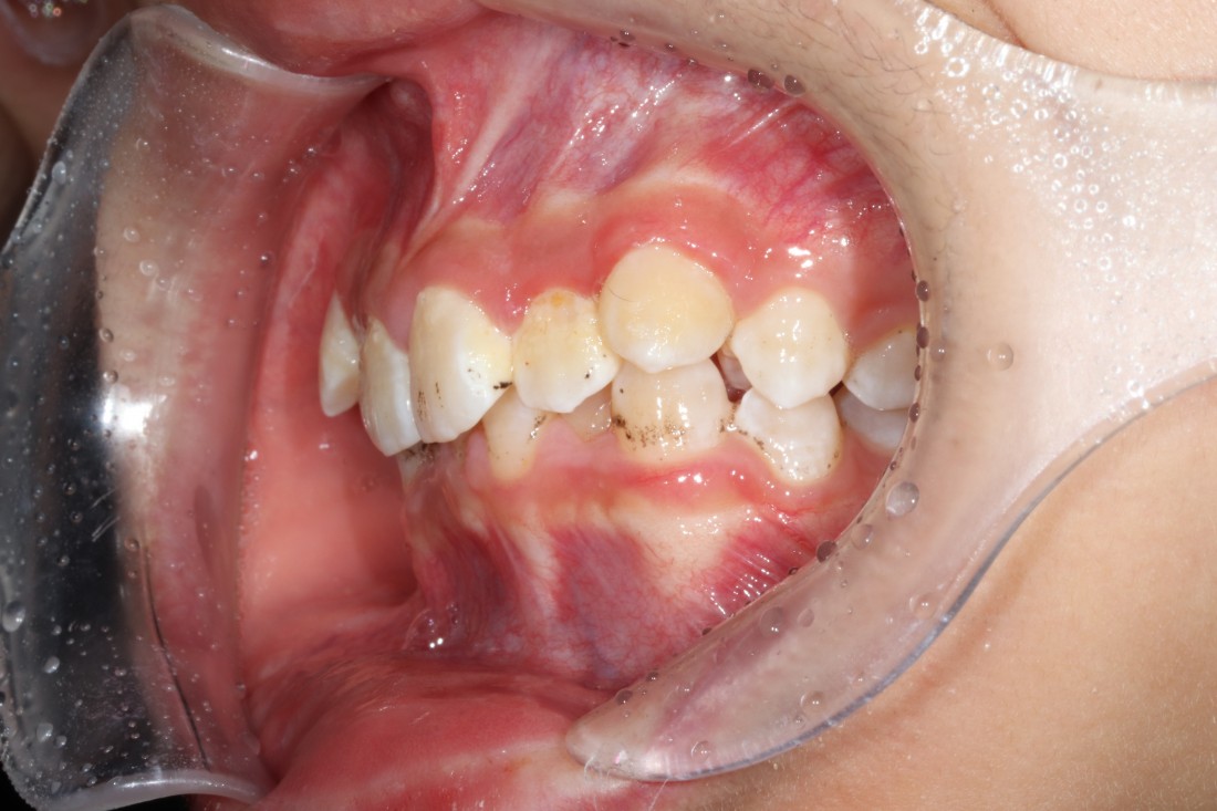
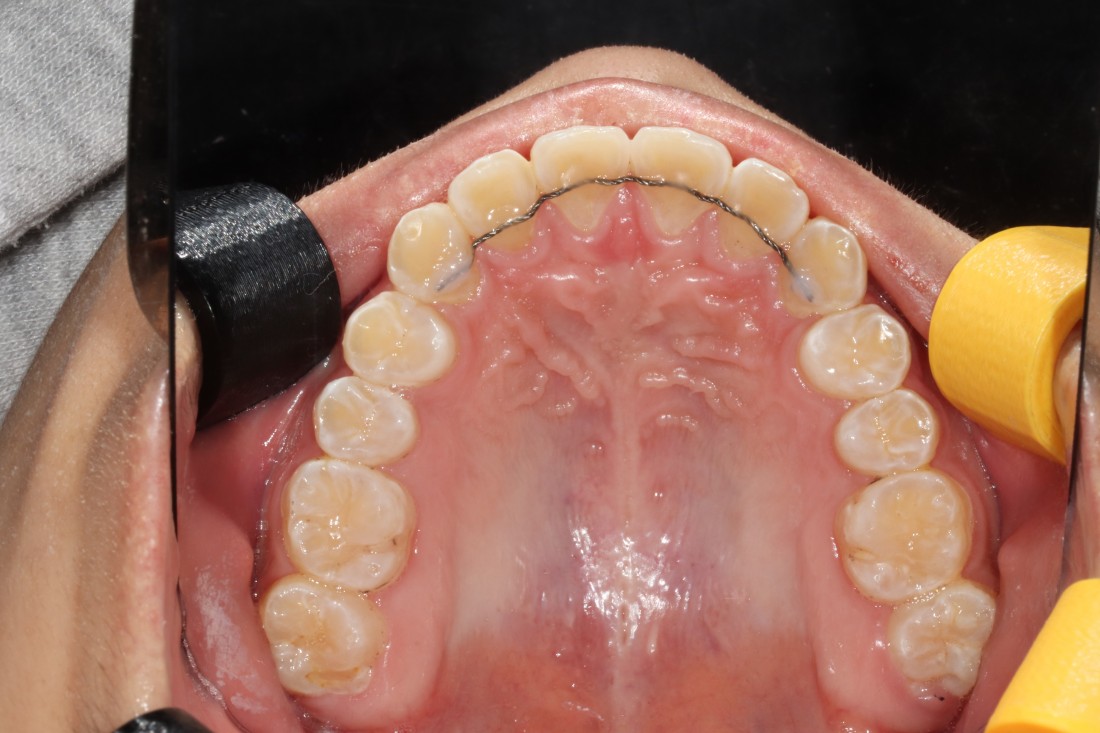
광산구 교정치과는
대표원장 5인 협진 시스템으로
운영하고 있습니다.
발치교정이 필요할 때 발치부터
충치치료, 필요한 경우 임플란트 진료까지
각 분과별 전문의 대표원장이
각각 본인의 파트를 맡아서
최상의 치료계획을 세우고 있습니다.
![]() | ![]() |
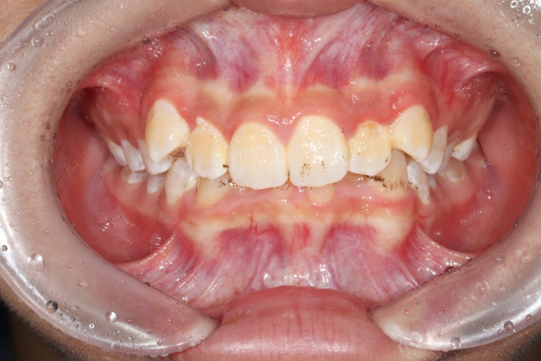
특히 충치진료와 임플란트의 경우
교정진료의 속도에 맞추어서
함께 진행하는 경우
훨씬 치료 효율이 좋기 때문에
다른 치과에 가지 않아도
교정전문의 진료와 전문의 충치치료가
함께 가능한 광산구 교정치과를
선택하는 것이 좋습니다.
![]() | ![]() |
교정 전 정밀검사 비용,
발치비용,
교정장치 (클리피씨) 비용,
월 진료비용,
유지장치 비용 등
교정진료에 필요한
모든 비용을 포함한 금액으로
추가비용 결제 없는 치과









